| WB | 1/1000-1/2000 | Human,Mouse,Rat |
| IF | 咨询技术 | Human,Mouse,Rat |
| IHC | IHC:1/100-1/200;IHF:1/50-1/200 | Human,Mouse,Rat |
| ICC | 1/50-1/200 | Human,Mouse,Rat |
| FCM | 1/20-1/100 | Human,Mouse,Rat |
| Elisa | 咨询技术 | Human,Mouse,Rat |
| Aliases | FRP4; FrpHE; PYL; Sfrp4;;SFRP 4 |
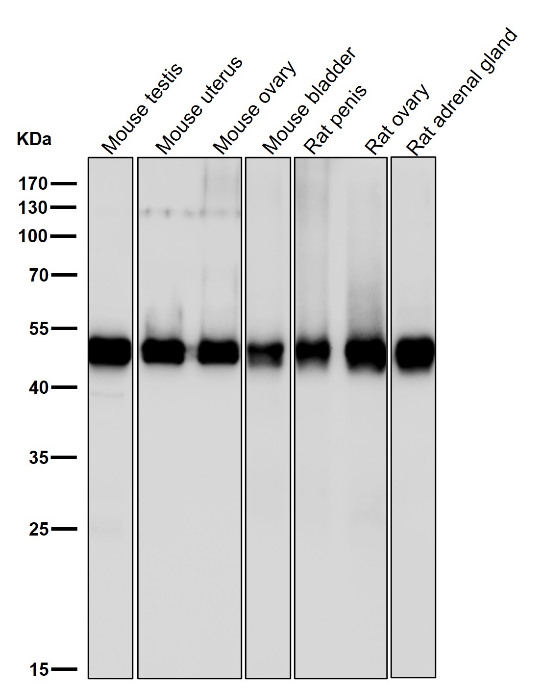
| WB Predicted band size | Calculated MW: 40 kDa ; Observed MW: 50 kDa |
| Host/Isotype | Rabbit IgG |
| Antibody Type | Primary antibody |
| Storage | Store at 4°C short term. Aliquot and store at -20°C long term. Avoid freeze/thaw cycles. |
| Species Reactivity | Human,Mouse,Rat |
| Immunogen | A synthesized peptide derived from human SFRP 4 |
| Formulation | Purified antibody in PBS with 0.05% sodium azide,0.05% BSA and 50% glycerol. |
+ +
以下是关于SFRP4抗体的3篇示例文献(注:文献信息为示例,建议通过学术数据库核实具体内容):
---
1. **文献名称**: *Secreted Frizzled-related protein 4 (SFRP4) regulates Wnt signaling in pancreatic cancer*
**作者**: Kawano Y, et al.
**摘要**: 研究通过Western blot和免疫组化分析,发现SFRP4在胰腺癌组织中高表达,其抗体检测显示其通过抑制Wnt信号通路促进肿瘤侵袭,提示SFRP4可能作为癌症治疗的潜在靶点。
---
2. **文献名称**: *SFRP4 is a biomarker of osteoporosis and regulates bone formation*
**作者**: Hausler KD, et al.
**摘要**: 利用SFRP4抗体检测骨组织样本,发现SFRP4通过拮抗Wnt蛋白抑制成骨细胞分化,导致骨密度下降,为骨质疏松的分子机制提供了新见解。
---
3. **文献名称**: *SFRP4 in metabolic dysfunction: Association with type 2 diabetes*
**作者**: Mori H, et al.
**摘要**: 通过ELISA和免疫印迹技术,研究发现糖尿病患者血清中SFRP4水平显著升高,其抗体阻断实验表明SFRP4可能通过干扰胰岛素信号通路参与代谢紊乱。
---
4. **文献名称**: *SFRP4 modulates cardiac fibrosis via Wnt signaling*
**作者**: Zhou X, et al.
**摘要**: 在小鼠心脏纤维化模型中,使用SFRP4抗体抑制其活性可减轻心肌纤维化,提示SFRP4可能成为心血管疾病的干预靶点。
---
建议通过 **PubMed** 或 **Google Scholar** 检索最新文献,使用关键词“SFRP4 antibody”或“SFRP4 Wnt”获取更精准结果。
**Background of SFRP4 Antibody**
Secreted frizzled-related protein 4 (SFRP4) is a member of the SFRP family, which modulates Wnt signaling by acting as soluble antagonists of Wnt ligands or frizzled receptors. SFRP4 specifically binds to Wnt proteins or frizzled receptors, inhibiting canonical and non-canonical Wnt pathways involved in cell proliferation, differentiation, and tissue homeostasis. Dysregulation of SFRP4 is linked to diseases such as cancer, metabolic disorders, and osteoporosis.
SFRP4 antibodies are tools used to detect and study the expression, localization, and function of SFRP4 in research. They are critical in techniques like Western blotting, immunohistochemistry, and ELISA to explore SFRP4's role in pathological processes. For instance, SFRP4 is often epigenetically silenced in cancers (e.g., colorectal, breast), contributing to aberrant Wnt activation and tumor progression. Conversely, elevated SFRP4 levels are associated with diabetes and adipose tissue dysfunction, highlighting its dual context-dependent roles.
Commercially available SFRP4 antibodies are developed in various host species (e.g., rabbit, mouse) and validated for specificity. Researchers use these antibodies to investigate SFRP4 as a potential biomarker or therapeutic target. Recent studies also implicate SFRP4 in bone remodeling and chronic inflammatory conditions, expanding its clinical relevance. However, variability in antibody performance necessitates careful validation to ensure reproducibility in experimental and diagnostic applications.
×