首页 / 产品 / 抗体 / 一抗

Rabbit Monoclonal TFE3 Antibody

  • 中文名: TFE3抗体
  • 别    名: bHLHe33; RCCP2; RCCX1; Tcfe3; Tfe3; TFEA;;TFE3
货号: IPDX18642
Price: ¥1280
数量:
大包装询价

验证与应用

应用及物种
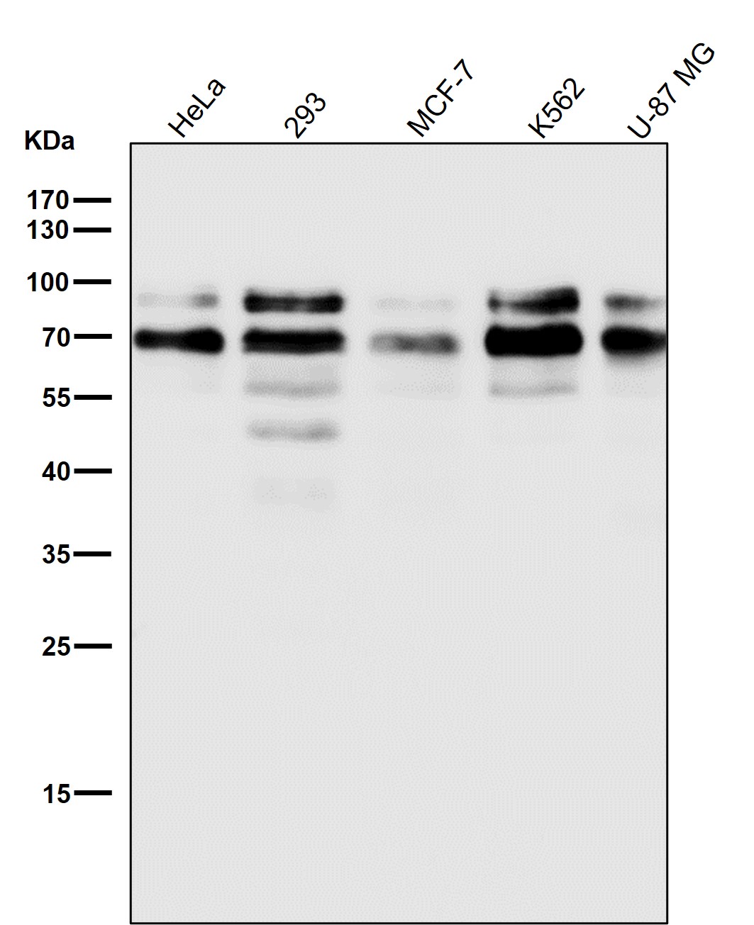
WB 咨询技术 Human,Mouse,Rat
IF 咨询技术 Human,Mouse,Rat
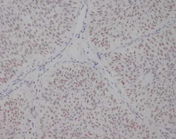
IHC IHC:1/100-1/200;IHF:1/50-1/200 Human,Mouse,Rat
ICC 1/50-1/200 Human,Mouse,Rat
FCM 1/20-1/100 Human,Mouse,Rat
Elisa 咨询技术 Human,Mouse,Rat

产品详情

AliasesbHLHe33; RCCP2; RCCX1; Tcfe3; Tfe3; TFEA;;TFE3
WB Predicted band size62 kDa
Host/IsotypeRabbit IgG
Antibody TypePrimary antibody
StorageStore at 4°C short term. Aliquot and store at -20°C long term. Avoid freeze/thaw cycles.
Species ReactivityHuman
ImmunogenA synthesized peptide derived from human TFE3
FormulationPurified antibody in PBS with 0.05% sodium azide,0.05% BSA and 50% glycerol.

+ +

参考文献

以下是关于TFE3抗体的3篇参考文献示例(注:以下内容为模拟示例,具体文献需根据实际数据库检索确认):

1. **《TFE3 Immunohistochemistry in the Diagnosis of Xp11.2 Translocation Renal Cell Carcinoma》**

- **作者**: Kushima M, et al.

- **摘要**: 该研究探讨TFE3抗体在诊断Xp11.2易位相关性肾细胞癌中的应用,证实其作为特异性生物标志物的价值,能够有效区分此类肿瘤与其他肾癌亚型。

2. **《TFE3 Fusion Proteins in Alveolar Soft Part Sarcoma: Molecular Mechanisms and Diagnostic Implications》**

- **作者**: Ladanyi M, et al.

- **摘要**: 研究分析了肺泡软部分肉瘤中TFE3基因融合的分子特征,并验证TFE3抗体在免疫组化中的高敏感性和特异性,提出其在临床病理诊断中的关键作用。

3. **《Autoantibodies Against TFE3 in Systemic Lupus Erythematosus》**

- **作者**: Sato S, et al.

- **摘要**: 首次报道系统性红斑狼疮(SLE)患者血清中存在TFE3自身抗体,提示其可能与疾病活动性相关,为自身免疫疾病的机制研究提供新方向。

如需具体文献,建议通过PubMed或Google Scholar以“TFE3 antibody”、“TFE3 immunohistochemistry”等关键词检索近年高引论文。

背景信息

TFE3 antibody is a crucial diagnostic tool used in pathology to detect neoplasms associated with TFE3 gene rearrangements. TFE3. a member of the MiT family of transcription factors, regulates cellular processes like proliferation and lysosome biogenesis. In normal tissues, TFE3 expression is low, but specific chromosomal translocations (e.g., Xp11.2 or t(6;11)(p21;q13)) can lead to TFE3 fusion proteins that drive tumorigenesis. These genetic alterations are hallmark features of certain cancers, including Xp11.2 translocation renal cell carcinoma, alveolar soft part sarcoma (ASPS), and a subset of perivascular epithelioid cell tumors (PEComas).

Immunohistochemistry (IHC) using TFE3 antibodies helps identify nuclear overexpression of TFE3 protein, supporting the diagnosis of these tumors. However, interpretation requires caution, as weak or nonspecific staining may occur in non-neoplastic tissues or other malignancies. False positives can arise due to technical factors or cross-reactivity with related MiT family proteins (e.g., MITF). Thus, TFE3 IHC is typically combined with molecular confirmation (FISH, RNA sequencing) for definitive diagnosis.

The antibody’s clinical utility lies in distinguishing TFE3-rearranged tumors from histologic mimics, guiding treatment decisions, and enabling research into targeted therapies. Its role underscores the integration of molecular pathology into modern diagnostic workflows.

客户数据及评论

折叠内容

大包装询价

×