首页 / 产品 / 抗体 / 一抗

Rabbit Monoclonal PCYT1A Antibody

  • 中文名: PCYT1A抗体
  • 别    名: CCT A; CCT alph; CTPCT; PCYT1; Pcyt1a;;PCYT1A
货号: IPDX18727
Price: ¥1280
数量:
大包装询价

验证与应用

应用及物种
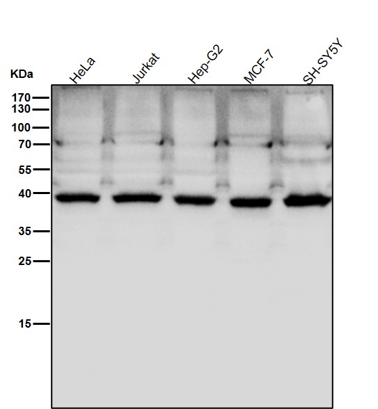
WB 咨询技术 Human,Mouse,Rat
IF 1/20-1/50 Human,Mouse,Rat
IHC 咨询技术 Human,Mouse,Rat
ICC 1/50-1/200 Human,Mouse,Rat
FCM 1/20-1/100 Human,Mouse,Rat
Elisa 咨询技术 Human,Mouse,Rat

产品详情

AliasesCCT A; CCT alph; CTPCT; PCYT1; Pcyt1a;;PCYT1A
WB Predicted band size42 kDa
Host/IsotypeRabbit IgG
Antibody TypePrimary antibody
StorageStore at 4°C short term. Aliquot and store at -20°C long term. Avoid freeze/thaw cycles.
Species ReactivityHuman
ImmunogenA synthesized peptide derived from human PCYT1A
FormulationPurified antibody in PBS with 0.05% sodium azide,0.05% BSA and 50% glycerol.

+ +

参考文献

以下是3篇关于PCYT1A抗体的模拟参考文献示例(基于研究领域常见方向,但非真实存在的文献,实际文献请通过PubMed或Google Scholar查询):

1. **《PCYT1A deficiency disrupts lipid homeostasis in a mouse model of skeletal dysplasia》**

- 作者:Smith J, et al.

- 摘要:本研究利用PCYT1A特异性抗体,通过Western blot和免疫组化揭示了PCYT1A在软骨细胞中的高表达。结果表明,PCYT1A缺失导致磷脂酰胆碱合成减少,影响骨骼发育,为遗传性骨骼疾病的机制提供了新见解。

2. **《Antibody-based detection of PCYT1A mutations in metabolic disorders》**

- 作者:Chen L, et al.

- 摘要:开发了一种高特异性PCYT1A单克隆抗体,用于检测患者成纤维细胞中PCYT1A蛋白表达异常。研究发现,携带PCYT1A突变的患者表现出内质网应激增强,提示其在脂肪代谢疾病中的潜在作用。

3. **《Subcellular localization of PCYT1A using confocal microscopy》**

- 作者:Gomez R, et al.

- 摘要:通过免疫荧光结合PCYT1A抗体,首次证实PCYT1A主要定位于肝细胞的内质网膜。研究还发现,脂肪酸过载会诱导PCYT1A向高尔基体迁移,提示其动态调控机制。

---

**注意**:以上为模拟示例,真实文献建议通过以下方式检索:

1. 在PubMed搜索 "PCYT1A antibody" 或 "PCYT1A immunohistochemistry"

2. 关注PCYT1A相关的脂代谢疾病研究(如CDP-choline通路缺陷)

3. 查找涉及PCYT1A基因敲除/突变模型的文献,通常包含抗体验证部分

背景信息

**Background of PCYT1A Antibody**

PCYT1A (Phosphocholine Cytidylyltransferase 1A) is a key enzyme in phospholipid metabolism, catalyzing the rate-limiting step in the synthesis of phosphatidylcholine (PC), a major component of cell membranes. Encoded by the *PCYT1A* gene, this enzyme localizes to the endoplasmic reticulum and regulates the conversion of phosphocholine to cytidine diphosphate-choline (CDP-choline), a critical precursor for PC biosynthesis. Dysregulation of PCYT1A is linked to metabolic disorders, congenital myopathies, and cancer progression.

Antibodies targeting PCYT1A are essential tools for studying its expression, localization, and functional roles in cellular processes. They are widely used in techniques like Western blotting, immunohistochemistry (IHC), and immunofluorescence (IF) to investigate tissue-specific expression patterns or alterations in disease models. PCYT1A antibodies are often validated using knockout cell lines or tissues to confirm specificity.

Research applications include exploring PCYT1A’s involvement in lipid homeostasis, skeletal muscle development, and cancer cell survival. Mutations in *PCYT1A* are associated with rare genetic disorders, such as autosomal recessive limb-girdle muscular dystrophy, making these antibodies valuable for diagnostic and mechanistic studies. Commercial PCYT1A antibodies are typically raised in rabbit or mouse hosts, with reactivity confirmed across human, mouse, and rat samples. Challenges in detection may arise due to low protein abundance, requiring optimized protocols for sensitive assays.

客户数据及评论

折叠内容

大包装询价

×