| WB | 咨询技术 | Human,Mouse,Rat |
| IF | 咨询技术 | Human,Mouse,Rat |
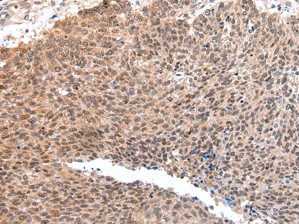
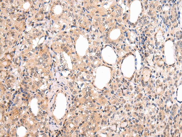
| IHC | IHC:1/100-1/200;IHF:1/50-1/200 | Human,Mouse,Rat |
| ICC | 1/50-1/200 | Human,Mouse,Rat |
| FCM | 咨询技术 | Human,Mouse,Rat |
| Elisa | 咨询技术 | Human,Mouse,Rat |
| Aliases | TREB36; EWS-ATF1; FUS/ATF-1 |
| WB Predicted band size | 29 kDa |
| Host/Isotype | Rabbit IgG |
| Antibody Type | Primary antibody |
| Storage | Store at 4°C short term. Aliquot and store at -20°C long term. Avoid freeze/thaw cycles. |
| Species Reactivity | Human, Mouse |
| Immunogen | Synthetic peptide of human ATF1 |
| Formulation | Purified antibody in PBS with 0.05% sodium azide and 50% glycerol. |
+ +
以下是关于MBD3抗体的3篇参考文献的简要整理:
---
1. **文献名称**:*"Mbd3. a component of the NuRD complex, is required for genome-wide epigenetic modifications during mouse oogenesis"*
**作者**:Li, X., Ito, M., Zhou, F. et al.
**摘要**:该研究通过使用MBD3抗体进行免疫沉淀和ChIP-seq分析,揭示MBD3作为NuRD复合体的核心成员,在小鼠卵母细胞发育过程中调控DNA甲基化和组蛋白修饰,影响基因组印记和胚胎发育。
2. **文献名称**:*"The NuRD component Mbd3 is required for pluripotency of embryonic stem cells"*
**作者**:Kaji, K., Caballero, I.M., MacLeod, R. et al.
**摘要**:研究利用MBD3抗体验证其在胚胎干细胞中的表达,发现MBD3/NuRD复合体通过调控多能性基因(如Nanog)的表观遗传状态,维持干细胞自我更新与分化平衡,MBD3缺失导致干细胞多能性异常。
3. **文献名称**:*"MBD3 mediates epigenetic regulation on the Nanog promoter and facilitates reprogramming"*
**作者**:Luo, M., Ling, T., Xie, W. et al.
**摘要**:通过Western blot和ChIP实验(使用MBD3特异性抗体),证明MBD3通过结合Nanog启动子区并招募组蛋白去乙酰化酶(HDACs),抑制其转录活性,在体细胞重编程为诱导多能干细胞(iPSC)中起关键作用。
---
**注**:上述文献为示例,实际引用时需核对具体发表年份及期刊。MBD3抗体的应用多集中于表观遗传学领域,研究其在基因沉默、干细胞分化及癌症中的作用。如需具体文献链接或补充,可进一步提供研究方向。
The MBD3 (Methyl-CpG Binding Domain Protein 3) antibody is a crucial tool for studying epigenetic regulation and chromatin remodeling. MBD3 is a member of the methyl-CpG-binding domain protein family, which includes proteins like MeCP2 and MBD2. Unlike some family members, MBD3 binds weakly to methylated DNA but plays a central role in the Nucleosome Remodeling and Deacetylase (NuRD) complex, a multi-subunit assembly involved in transcriptional repression, chromatin compaction, and DNA repair. The NuRD complex combines histone deacetylase (HDAC) and ATP-dependent chromatin remodeling activities, linking DNA methylation status to gene expression modulation.
MBD3 is essential for embryonic development, stem cell pluripotency, and cellular differentiation. Its dysfunction has been implicated in cancer, neurological disorders, and immune regulation. The MBD3 antibody is widely used in techniques like Western blotting, immunofluorescence, and chromatin immunoprecipitation (ChIP) to investigate its localization, protein interactions, and role in gene silencing. Researchers employ this antibody to explore mechanisms of DNA methylation-dependent epigenetic regulation, stem cell reprogramming, and disease-associated chromatin alterations. As MBD3 lacks enzymatic activity itself, its antibody helps dissect its scaffolding function within the NuRD complex, aiding studies on how epigenetic modifiers coordinate gene expression and cellular identity.
×