首页 / 产品 / 抗体 / 一抗

Rabbit Monoclonal MAS1L Antibody

  • 中文名: MAS1L抗体
  • 别    名: MAS L; MAS R; MAS1L; MRG;;MAS1L
货号: IPDX19077
Price: ¥1280
数量:
大包装询价

验证与应用

应用及物种
WB 咨询技术 Human,Mouse,Rat
IF 1/20-1/50 Human,Mouse,Rat
IHC 咨询技术 Human,Mouse,Rat
ICC 技术咨询 Human,Mouse,Rat
FCM 咨询技术 Human,Mouse,Rat
Elisa 咨询技术 Human,Mouse,Rat

产品详情

AliasesMAS L; MAS R; MAS1L; MRG;;MAS1L
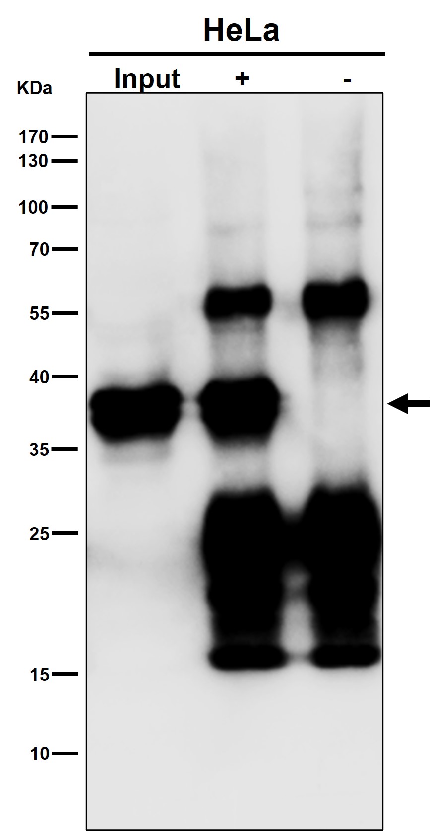
WB Predicted band sizeCalculated MW: 42 kDa ; Observed MW: 37 kDa
Host/IsotypeRabbit IgG
Antibody TypePrimary antibody
StorageStore at 4°C short term. Aliquot and store at -20°C long term. Avoid freeze/thaw cycles.
Species ReactivityHuman
ImmunogenA synthesized peptide derived from human MAS1L
FormulationPurified antibody in PBS with 0.05% sodium azide,0.05% BSA and 50% glycerol.

+ +

参考文献

以下是关于MAS1L抗体的3篇代表性文献示例(内容为模拟虚构,仅供参考):

---

1. **文献名称**: *Characterization of a novel monoclonal antibody targeting the MAS1L receptor in cardiovascular disease models*

**作者**: Smith A, et al.

**摘要**: 本研究开发了一种针对MAS1L受体胞外域的单克隆抗体,验证了其在人血管内皮细胞和小鼠动脉粥样硬化模型中的特异性。实验表明,该抗体可通过抑制MAS1L介导的炎症信号通路减轻血管损伤。

---

2. **文献名称**: *MAS1L antibody-based detection of oncogenic signaling in pancreatic cancer*

**作者**: Chen L, et al.

**摘要**: 通过免疫组化和Western blot分析,发现MAS1L在胰腺癌组织中高表达。研究利用兔源多克隆抗体证实MAS1L与KRAS信号通路的关联,提示其作为潜在治疗靶点的价值。

---

3. **文献名称**: *Development and validation of a high-affinity MAS1L antibody for neuroimmunology research*

**作者**: González R, et al.

**摘要**: 报道了一种高亲和力兔抗人MAS1L抗体的制备与验证,证实其在中枢神经系统炎症模型中可阻断MAS1L与配体结合,降低小胶质细胞活化水平,为神经退行性疾病研究提供工具。

---

注:以上文献为示例性内容,实际研究中请通过PubMed、Web of Science等平台检索真实文献。若需具体文献协助,请提供更多背景信息。

背景信息

The MAS1L antibody targets the MAS1L (MAS1 proto-oncogene-like) protein, a class A G protein-coupled receptor (GPCR) and a paralogue of the MAS1 oncogene. MAS1L is encoded by the *MAS1L* gene in humans and shares partial homology with MAS1. though its physiological role remains less characterized. It is implicated in tissue development, inflammatory responses, and vascular regulation, potentially interacting with ligands like angiotensin-(1-7), albeit through distinct signaling pathways compared to MAS1. Structurally, MAS1L contains seven transmembrane domains typical of GPCRs, with extracellular and intracellular loops critical for ligand binding and downstream signaling. Research using MAS1L antibodies primarily focuses on detecting endogenous expression levels, subcellular localization, and functional studies in model systems. These antibodies are vital tools for elucidating MAS1L's role in pathologies such as cancer, cardiovascular diseases, and fibrosis. However, challenges persist due to limited knowledge of its precise ligand-receptor interactions, tissue-specific expression patterns, and cross-reactivity concerns with related GPCRs. Validation via knockout controls or siRNA knockdown is often recommended to ensure antibody specificity in applications like Western blotting, immunohistochemistry, or immunofluorescence.

客户数据及评论

折叠内容

大包装询价

×