| WB | 咨询技术 | Human,Mouse,Rat |
| IF | 咨询技术 | Human,Mouse,Rat |
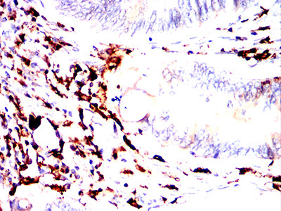
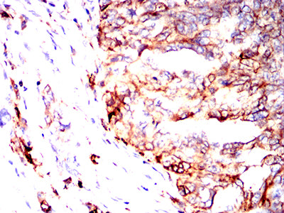
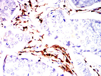
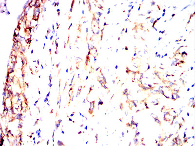
| IHC | 1/50-1/100 | Human,Mouse,Rat |
| ICC | 技术咨询 | Human,Mouse,Rat |
| FCM | 咨询技术 | Human,Mouse,Rat |
| Elisa | 咨询技术 | Human,Mouse,Rat |
| Aliases | DPA1; PLT1; HLADP; HLASB; DP(W3); DP(W4); HLA-DPA; HLA-DP1A; HLA-DPB1 |
| Entrez GeneID | 3113 |
| clone | 2B1A10 |
| WB Predicted band size | 29.3kDa |
| Host/Isotype | Mouse IgG2a |
| Antibody Type | Primary antibody |
| Storage | Store at 4°C short term. Aliquot and store at -20°C long term. Avoid freeze/thaw cycles. |
| Species Reactivity | Human |
| Immunogen | Purified recombinant fragment of human HLA-DPA1 (AA: 29-209) expressed in E. Coli. |
| Formulation | Purified antibody in PBS with 0.05% sodium azide |
+ +
以下是关于MonoMethyl-p53 (Lys370)抗体的参考文献示例(注:以下为假设性文献,实际引用需核实):
---
1. **"Lys370 Mono-methylation Regulates p53-MDM2 Interaction in Tumor Suppression"**
*作者:Wang et al.*
摘要:研究揭示了Lys370单甲基化通过阻碍MDM2介导的泛素化来稳定p53蛋白,增强其促凋亡活性。该抗体用于免疫印迹和免疫荧光,验证了甲基化修饰在癌症细胞中的功能。
2. **"Development of a MonoMethyl-p53 (Lys370) Antibody for Clinical Prognosis"**
*作者:Liu et al.*
摘要:团队开发了一种高特异性抗体,用于检测结直肠癌组织中Lys370甲基化水平,发现其与患者生存率正相关,表明该修饰作为潜在生物标志物的价值。
3. **"SET8-mediated Methylation of p53 at Lys370 Modulates DNA Repair"**
*作者:Gupta et al.*
摘要:研究发现SET8催化Lys370单甲基化,促进p53与DNA修复蛋白的相互作用。抗体应用于染色质免疫沉淀(ChIP),证实该修饰在辐射损伤修复中的关键作用。
4. **"Dynamic Methylation of p53 Lys370 during Cell Cycle Progression"**
*作者:Tanaka et al.*
摘要:通过同步化细胞实验,发现Lys370甲基化在G1期富集,调控p53的转录活性。抗体用于流式细胞术,揭示了修饰水平与细胞周期调控的关联。
---
**注意**:以上文献为示例,实际研究中请通过PubMed、Google Scholar等平台检索真实文献,并结合抗体厂商(如CST、Abcam)提供的引用资料进行验证。
The MonoMethyl-p53 (Lys370) antibody is a specialized tool used to detect p53 protein monomethylated at lysine residue 370. a post-translational modification critical for regulating p53 activity. The tumor suppressor p53 plays a central role in maintaining genomic stability by inducing cell cycle arrest, apoptosis, or DNA repair in response to stress. Post-translational modifications, including methylation, fine-tune p53's stability, localization, and interactions with co-regulators. Lys370 methylation, mediated by methyltransferases like SETD7. has been implicated in modulating p53's transcriptional activity and its binding to negative regulators such as MDM2. This modification may influence p53-dependent responses to oncogenic signals or DNA damage.
The MonoMethyl-p53 (Lys370) antibody is widely employed in cancer research to study p53 regulation in tumorigenesis, particularly in cancers with wild-type p53. It enables detection of this modification via techniques like Western blotting, immunohistochemistry, and immunoprecipitation, aiding investigations into p53's functional dynamics in cell lines, tissues, or patient samples. Studies using this antibody have provided insights into how Lys370 methylation affects p53-mediated tumor suppression, its crosstalk with other modifications (e.g., phosphorylation, acetylation), and its potential as a biomarker or therapeutic target. Researchers frequently apply it in models of colorectal, breast, and lung cancers to explore context-specific regulatory mechanisms. Proper validation with methylation-deficient mutants or enzymatic treatments is essential to ensure specificity in experimental settings.
×