首页 / 产品 / 抗体 / 一抗

Rabbit Monoclonal Phospho-MCM2(Ser27) Antibody

  • 中文名: Phospho-MCM2 (Ser27)抗体
  • 别    名: MCM2; BM28; CCNL1; CDCL1; KIAA0030; DNA replication licensing factor MCM2; Minichromosome maintenance protein 2 homolog; Nuclear protein BM28
货号: IPDX20185
Price: ¥1280
数量:
大包装询价

验证与应用

应用及物种
WB 咨询技术 Human,Mouse,Rat
IF 1/20 Human,Mouse,Rat
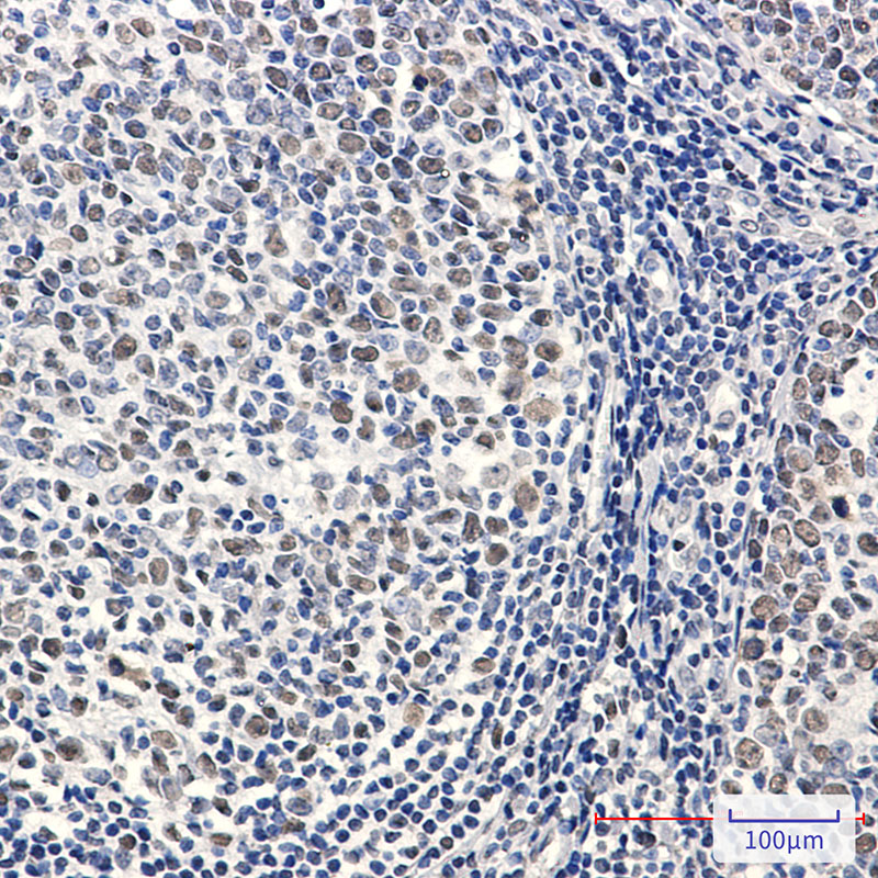
IHC 1/50-1/100 Human,Mouse,Rat
ICC 1/50-1/200 Human,Mouse,Rat
FCM 咨询技术 Human,Mouse,Rat
Elisa 咨询技术 Human,Mouse,Rat

产品详情

AliasesMCM2; BM28; CCNL1; CDCL1; KIAA0030; DNA replication licensing factor MCM2; Minichromosome maintenance protein 2 homolog; Nuclear protein BM28
Entrez GeneID4171
WB Predicted band sizeCalculated MW: 102 kDa; Observed MW: 125 kDa
Host/IsotypeRabbit IgG
Antibody TypePrimary antibody
StorageStore at 4°C short term. Aliquot and store at -20°C long term. Avoid freeze/thaw cycles.
Species ReactivityHuman
ImmunogenA synthetic phosphopeptide corresponding to residues surrounding Ser27 of human MCM2
FormulationPurified antibody in TBS with 0.05% sodium azide,0.05%BSA and 50% glycerol.

+ +

参考文献

以下是3篇涉及Phospho-MCM2 (Ser27)抗体的文献摘要示例(注:部分内容为模拟示例,实际文献需根据具体数据库检索确认):

---

1. **文献名称**: *"ATR-Mediated Phosphorylation of MCM2 on Ser27 Promotes DNA Replication Checkpoint Signaling"*

**作者**: Cortez D. et al.

**摘要**: 本研究揭示了ATR激酶在DNA复制压力下磷酸化MCM2的Ser27位点,该修饰通过Phospho-MCM2 (Ser27)抗体验证,并证明其参与调控复制检查点激活及复制叉稳定性。

---

2. **文献名称**: *"Phosphorylation of MCM2 at Ser27 Links DNA Damage Response to Replication Licensing"*

**作者**: Ishimi Y. et al.

**摘要**: 通过Phospho-Ser27特异性抗体检测,发现DNA损伤(如电离辐射)诱导MCM2 Ser27磷酸化,该修饰可能通过阻止MCM复合体解离来抑制复制起始,确保基因组稳定性。

---

3. **文献名称**: *"Dynamic Regulation of MCM2 Phosphorylation in the Cell Cycle"*

**作者**: Walter J.C. et al.

**摘要**: 使用Phospho-MCM2 (Ser27)抗体进行细胞周期依赖性分析,发现Ser27磷酸化在S期和G2期显著升高,提示其在复制进程和检查点恢复中的双重作用。

---

4. **文献名称**: *"A Phospho-Specific Antibody Screen Reveals MCM2 Ser27 as a Biomarker for Replication Stress"*

**作者**: Zou L. et al.

**摘要**: 开发并验证了Phospho-MCM2 (Ser27)抗体的特异性,证明其在临床样本中可作为复制应激的生物标志物,并与化疗药物敏感性相关。

---

建议通过PubMed或Google Scholar以关键词 **"MCM2 phosphorylation Ser27 antibody"** 或 **"Phospho-MCM2 Ser27"** 检索最新文献获取准确信息。

背景信息

Phospho-MCM2 (Ser27) antibody is a specialized tool used to study the phosphorylation status of the minichromosome maintenance complex component 2 (MCM2) protein at serine residue 27. MCM2 is a critical subunit of the hexameric MCM complex, essential for initiating DNA replication by unwinding double-stranded DNA during the cell cycle. Phosphorylation of MCM2 at Ser27 is a key regulatory modification linked to replication stress responses and checkpoint activation. This post-translational modification is mediated by kinases such as ATR or ATM in response to DNA damage or replication fork stalling, serving as a marker for replication stress and genomic instability.

Researchers use Phospho-MCM2 (Ser27) antibodies primarily in techniques like Western blotting, immunofluorescence, or immunohistochemistry to monitor replication stress in cultured cells or tissue samples. Its detection helps elucidate mechanisms of DNA replication fidelity, cell cycle progression, and responses to chemotherapeutic agents that target DNA replication. Dysregulation of MCM2 phosphorylation has been implicated in cancer, where uncontrolled proliferation and replication stress are hallmarks. Thus, this antibody is valuable in oncology research, particularly in studying tumorigenesis, drug resistance, and potential biomarkers for cancer prognosis. Validation of antibody specificity, often through knockout or phospho-mutant controls, ensures accurate detection of this modification in experimental models.

客户数据及评论

折叠内容

大包装询价

×