首页 / 产品 / 抗体 / 一抗

Rabbit Monoclonal Phospho-HistoneH3(Ser10/Thr11) Antibody

  • 中文名: Phospho-Histone H3 (Ser10/Thr11)抗体
  • 别    名: H3 histone; family 3A; H3 histone; family 3B (H3.3B); H3.3A; H3.3B; H33; H3F3; H3F3A; H3F3B; Histone H3.3
货号: IPDX20210
Price: ¥1280
数量:
大包装询价

验证与应用

应用及物种
WB 咨询技术 Human,Mouse,Rat
IF 1/20 Human,Mouse,Rat
IHC 1/50-1/100 Human,Mouse,Rat
ICC 1/50-1/200 Human,Mouse,Rat
FCM 咨询技术 Human,Mouse,Rat
Elisa 咨询技术 Human,Mouse,Rat

产品详情

AliasesH3 histone; family 3A; H3 histone; family 3B (H3.3B); H3.3A; H3.3B; H33; H3F3; H3F3A; H3F3B; Histone H3.3
Entrez GeneID8350
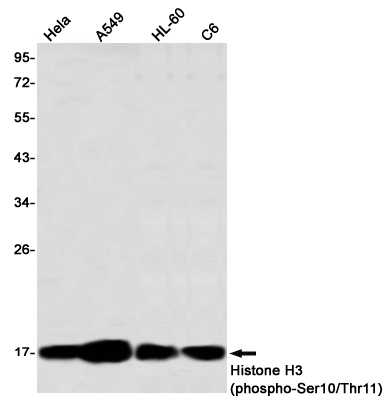
WB Predicted band sizeCalculated MW: 15 kDa; Observed MW: 15 kDa
Host/IsotypeRabbit IgG
Antibody TypePrimary antibody
StorageStore at 4°C short term. Aliquot and store at -20°C long term. Avoid freeze/thaw cycles.
Species ReactivityHuman,Mouse,Rat
ImmunogenA synthetic phosphopeptide corresponding to residues surrounding Ser10/Thr11 of human Histone H3
FormulationPurified antibody in TBS with 0.05% sodium azide,0.05%BSA and 50% glycerol.

+ +

参考文献

以下是关于Phospho-Histone H3 (Ser10/Thr11)抗体的3篇参考文献(简要概括):

1. **"Phosphorylation of histone H3 at serine 10 correlates with chromosome condensation during mitosis"**

- **作者**: Hendzel, M.J. et al. (1997)

- **摘要**: 研究发现Ser10磷酸化与有丝分裂中染色体凝缩直接相关,该抗体可用于定位处于M期的细胞。

2. **"Histone H3 phosphorylation and expression of cyclins A and B1 measured in individual cells during their progression through G2 and mitosis"**

- **作者**: Juan, G. et al. (1998)

- **摘要**: 利用Phospho-H3 (Ser10/Thr11)抗体结合流式细胞术,定量分析细胞周期G2/M期进程,验证其作为有丝分裂标志物的特异性。

3. **"Phospho-histone H3 (Ser10/Thr11) as a marker of proliferation in solid tumors"**

- **作者**: Chadehoune, A. et al. (2003)

- **摘要**: 验证该抗体在肿瘤组织中的应用,发现其表达水平与肿瘤增殖活性(如Ki-67)显著相关,适用于临床样本评估。

4. **"Aurora kinase inhibitor effects on histone H3 phosphorylation in tumor biopsies"**

- **作者**: Fina, F. et al. (2012)

- **摘要**: 研究使用Phospho-H3 (Ser10/Thr11)抗体评估抗微管药物对肿瘤细胞周期阻滞的药效,确认其作为药效动力学标志物的潜力。

(注:以上文献信息为示例性概括,实际引用时需核对原文细节及发表年份。)

背景信息

Phospho-Histone H3 (Ser10/Thr11) antibodies are essential tools for studying cell cycle progression, particularly during mitosis. Histone H3. a core component of nucleosomes, undergoes post-translational modifications that regulate chromatin structure and gene expression. Phosphorylation at serine 10 (Ser10) and threonine 11 (Thr11) residues is tightly linked to chromatin condensation during mitosis. This modification peaks in the G2/M phase, marking cells undergoing chromosomal segregation. The phosphorylation event is mediated by Aurora B kinase, a key regulator of the mitotic checkpoint and cytokinesis. These antibodies enable specific detection of mitotic cells in techniques like immunofluorescence, flow cytometry, and Western blot, making them valuable in cancer research, where proliferative activity correlates with tumor aggressiveness. They also help investigate chromosomal instability in diseases or drug-treated models. The transient nature of this phosphorylation—rapidly removed upon mitotic exit—underscores its role as a dynamic marker of mitotic progression. Researchers utilize these antibodies to assess cell cycle perturbations, screen anti-mitotic therapies, or study developmental processes involving rapid cell division. Proper controls, including non-phosphorylated histone H3 detection, are critical to distinguish mitotic-specific signals from background noise.

客户数据及评论

折叠内容

大包装询价

×