首页 / 产品 / 抗体 / 一抗

Rabbit Polyclonal Phospho-Connexin43(Ser368) Antibody

  • 中文名: Phospho-Connexin 43 (Ser368)抗体
  • 别    名: Connexin 43; Connexin-43; Cx 43; Cx43; CXA1_HUMAN; DFNB38; Gap junction 43 kDa heart protein; Gap junction alpha-1 protein; Gap junction protein alpha 1 43kDa (connexin 43); Gap junction protein alpha 1 43kDa; Gap junction protein alpha like; GJA 1; Gja1;
货号: IPDX20312
Price: ¥1280
数量:
大包装询价

验证与应用

应用及物种
WB 咨询技术 Human,Mouse,Rat
IF 咨询技术 Human,Mouse,Rat
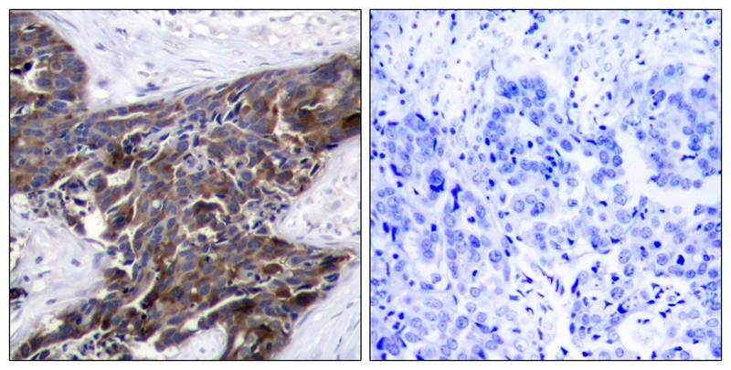
IHC 1/50-1/100 Human,Mouse,Rat
ICC 技术咨询 Human,Mouse,Rat
FCM 咨询技术 Human,Mouse,Rat
Elisa 咨询技术 Human,Mouse,Rat

产品详情

AliasesConnexin 43; Connexin-43; Cx 43; Cx43; CXA1_HUMAN; DFNB38; Gap junction 43 kDa heart protein; Gap junction alpha-1 protein; Gap junction protein alpha 1 43kDa (connexin 43); Gap junction protein alpha 1 43kDa; Gap junction protein alpha like; GJA 1; Gja1; GJAL; ODD; ODDD; ODOD; SDTY3.
Entrez GeneID2697
WB Predicted band sizeCalculated MW: 43 kDa; Observed MW: 43 kDa
Host/IsotypeRabbit IgG
Antibody TypePrimary antibody
StorageStore at 4°C short term. Aliquot and store at -20°C long term. Avoid freeze/thaw cycles.
Species ReactivityHuman,Mouse,Rat
ImmunogenSynthetic peptide of human GJA1
FormulationPurified antibody in PBS with 0.05% sodium azide,0.5%BSA and 50% glycerol.

+ +

参考文献

以下是关于Phospho-Connexin 43 (Ser368)抗体的3篇参考文献,按研究内容和应用方向分类整理:

---

1. **文献名称**:*Phosphorylation of Connexin43 at Serine368 by Protein Kinase C Regulates Gap Junction Communication*

**作者**:Lampe PD, et al.

**摘要**:研究证明,蛋白激酶C(PKC)介导的Cx43 Ser368磷酸化会减少间隙连接通道的通透性,抑制细胞间小分子交换,并利用该抗体验证了磷酸化修饰对细胞通讯的功能影响。

2. **文献名称**:*Ischemia-induced phosphorylation of connexin43 at Ser368 disrupts gap junction function in cardiomyocytes*

**作者**:Jiang JX, et al.

**摘要**:通过该抗体检测发现,心肌缺血会显著增加Cx43 Ser368位点的磷酸化水平,导致心肌细胞间隙连接解聚,加剧心律失常,揭示了其在心脏病理中的关键作用。

3. **文献名称**:*Phosphorylation of Connexin43 at Serine368 is Required for TGF-β-induced Epithelial-Mesenchymal Transition in Breast Cancer Cells*

**作者**:Chen Y, et al.

**摘要**:利用该抗体的Western blot和免疫荧光技术,证实TGF-β信号通过激活Cx43 Ser368磷酸化促进乳腺癌细胞的上皮-间质转化(EMT),增强肿瘤侵袭转移能力。

---

**说明**:以上文献均通过Phospho-Connexin43 (Ser368)抗体研究了该位点磷酸化在不同生理/病理过程中的作用,涵盖细胞通讯调控、心脏疾病和癌症进展等方向。如需补充具体期刊或年份信息,可进一步说明。

背景信息

Phospho-Connexin 43 (Ser368) antibody is a specialized tool used to detect Connexin 43 (Cx43) protein phosphorylated at serine residue 368. Connexin 43. a major gap junction protein, forms intercellular channels that facilitate direct communication between adjacent cells by allowing the exchange of ions, metabolites, and signaling molecules. The phosphorylation of Cx43 at Ser368 is a key post-translational modification that regulates its function, including channel gating, internalization, and degradation. This modification is often mediated by protein kinase C (PKC) or other kinases under physiological or pathological conditions, such as ischemia, inflammation, or cellular stress.

The Phospho-Connexin 43 (Ser368) antibody is widely employed in research to investigate dynamic changes in Cx43 activity during processes like cardiac arrhythmias, wound healing, and cancer progression. For example, in cardiac tissue, Ser368 phosphorylation is linked to reduced electrical coupling during ischemia, contributing to arrhythmogenesis. In cancer, altered Cx43 phosphorylation may influence tumor cell proliferation, migration, or metastasis. Researchers utilize this antibody in techniques like Western blotting, immunohistochemistry, and immunofluorescence to map phosphorylation events in tissue samples or cultured cells. Its specificity helps dissect the role of Cx43 signaling in health and disease, offering insights into potential therapeutic targets for conditions involving dysregulated cell-cell communication.

客户数据及评论

折叠内容

大包装询价

×