首页 / 产品 / 抗体 / 一抗

Rabbit Polyclonal Phospho-GSK3(Tyr279/Tyr216) Antibody

  • 中文名: Phospho-GSK3 (Tyr279/Tyr216)抗体
  • 别    名: Serine/threonine-protein kinase GSK3A
货号: IPDX20345
Price: ¥1280
数量:
大包装询价

验证与应用

应用及物种
WB 咨询技术 Human,Mouse,Rat
IF 咨询技术 Human,Mouse,Rat
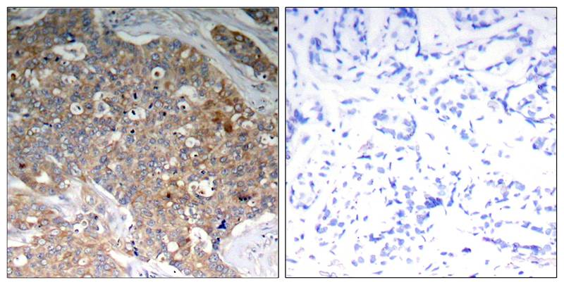
IHC 1/50-1/100 Human,Mouse,Rat
ICC 1/100-1/200 Human,Mouse,Rat
FCM 咨询技术 Human,Mouse,Rat
Elisa 咨询技术 Human,Mouse,Rat

产品详情

AliasesSerine/threonine-protein kinase GSK3A
Entrez GeneID2931
WB Predicted band sizeCalculated MW: 51 kDa; Observed MW: 46,51 kDa
Host/IsotypeRabbit IgG
Antibody TypePrimary antibody
StorageStore at 4°C short term. Aliquot and store at -20°C long term. Avoid freeze/thaw cycles.
Species ReactivityHuman,Mouse,Rat
ImmunogenSynthetic peptide of human GSK3A
FormulationPurified antibody in PBS with 0.05% sodium azide,0.5%BSA and 50% glycerol.

+ +

参考文献

以下是关于Phospho-GSK3 (Tyr279/Tyr216)抗体的参考文献及其摘要:

1. **"Glycogen synthase kinase-3β is tyrosine-phosphorylated in response to amyloid-β peptide in human neuroblastoma cells"**

- **作者**: Hartigan, J. A., & Johnson, G. V.

- **摘要**: 该研究使用Phospho-GSK3β (Tyr216)特异性抗体,揭示了阿尔茨海默病模型中β-淀粉样蛋白诱导的GSK3β酪氨酸磷酸化增强,并探讨了其对tau蛋白异常磷酸化的调控作用。

2. **"Activation-loop phosphorylation modulates GSK-3β cellular localization and function in neuronal cells"**

- **作者**: Lochhead, P. A., et al.

- **摘要**: 通过Phospho-GSK3 (Tyr279/Tyr216)抗体,研究发现胰岛素信号通路通过促进GSK3的酪氨酸磷酸化增强其激酶活性,并影响其在神经元中的亚细胞定位。

3. **"Regulation and localization of tyrosine phosphorylation of glycogen synthase kinase-3β in cellular stress responses"**

- **作者**: Bhat, R. V., et al.

- **摘要**: 该文献利用特异性抗体检测Tyr216磷酸化水平,发现氧化应激条件下GSK3β的酪氨酸磷酸化水平升高,提示其在细胞应激反应中的激活机制。

4. **"GSK3 takes centre stage more than 20 years after its discovery"**

- **作者**: Frame, S., & Cohen, P.

- **摘要**: 综述了GSK3的调控机制,强调Tyr279/216磷酸化对其酶活性的关键作用,并引用相关抗体实验证明该位点与疾病模型的关联。

这些文献涵盖了抗体在疾病模型、信号通路和应激反应中的应用,突出了酪氨酸磷酸化对GSK3功能的影响。

背景信息

The Phospho-GSK3 (Tyr279/Tyr216) antibody is a critical tool for studying the regulation and activity of Glycogen Synthase Kinase 3 (GSK3), a serine/threonine kinase with two isoforms, GSK3α and GSK3β. GSK3 plays a central role in cellular processes, including metabolism, proliferation, and apoptosis, by modulating key signaling pathways such as Wnt, insulin, and growth factor signaling. Its activity is tightly regulated by phosphorylation at specific residues.

In its inactive state, GSK3 is phosphorylated at an N-terminal serine residue (Ser21 in GSK3α, Ser9 in GSK3β), which suppresses its kinase activity. Conversely, phosphorylation at tyrosine residues Tyr279 (GSK3α) and Tyr216 (GSK3β) enhances catalytic activity. These phosphorylation events are mediated by autophosphorylation or upstream kinases, promoting substrate recognition and kinase activation. The Phospho-GSK3 (Tyr279/Tyr216) antibody specifically detects these phosphorylated tyrosine residues, enabling researchers to assess GSK3 activation status in various contexts.

This antibody is widely used in techniques like Western blotting, immunohistochemistry, and immunofluorescence to investigate GSK3 dynamics in diseases such as neurodegenerative disorders, cancer, and diabetes. Dysregulated GSK3 activity has been linked to pathologies like Alzheimer’s disease (via tau hyperphosphorylation) and tumor progression, making this antibody a valuable tool for mechanistic and therapeutic studies. Its specificity for active GSK3 helps clarify phosphorylation-dependent signaling crosstalk and drug targeting strategies.

客户数据及评论

折叠内容

大包装询价

×