首页 / 产品 / 抗体 / 一抗

Mouse Monoclonal Bcl2 Antibody

  • 中文名: Bcl2抗体
  • 别    名: BCL2; Apoptosis regulator Bcl-2
货号: IPDX20790
Price: ¥1280
数量:
大包装询价

验证与应用

应用及物种
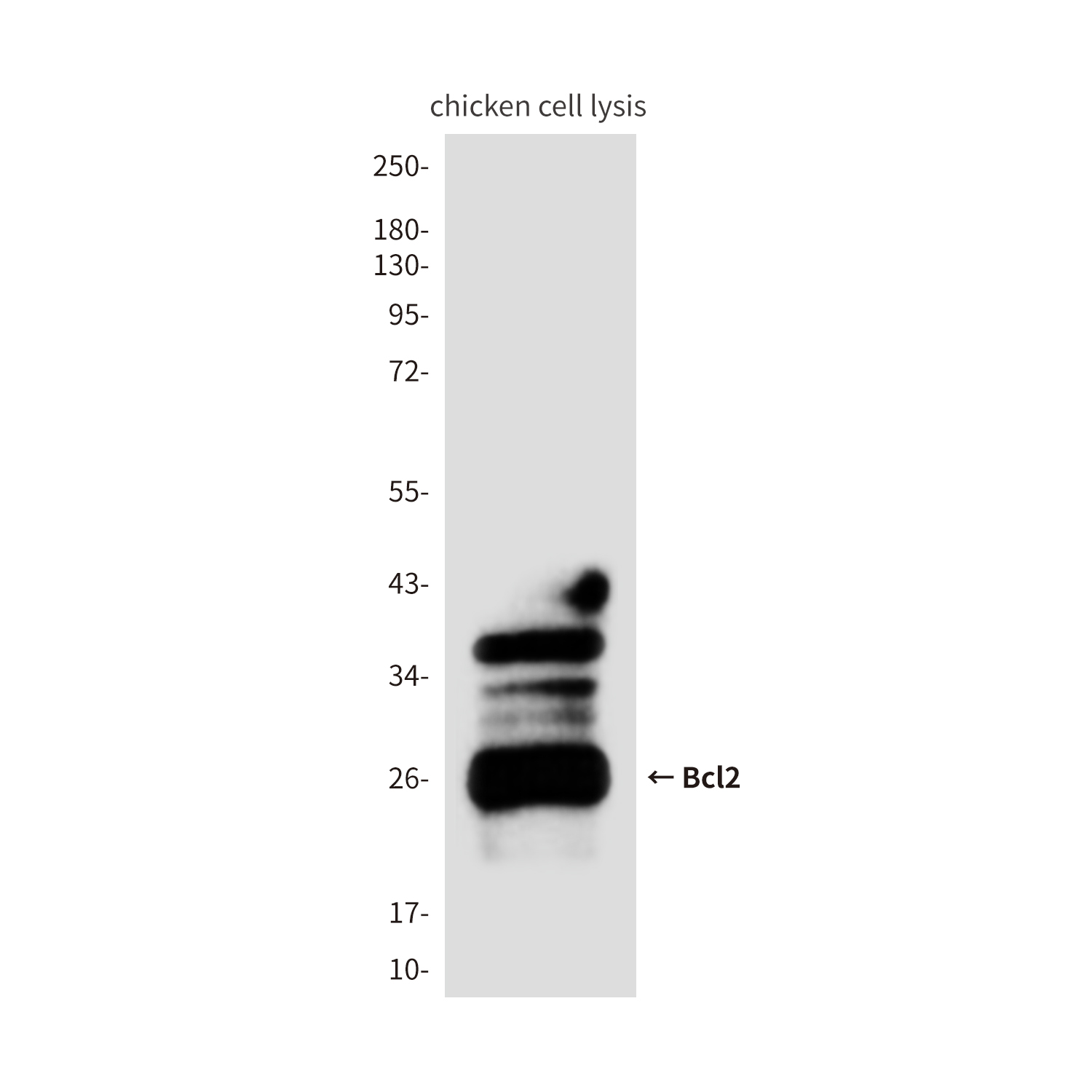
WB 咨询技术 Human,Chicken
IF 咨询技术 Human,Chicken
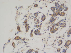
IHC 1/50-1/100 Human,Chicken
ICC 1/50-1/200 Human,Chicken
FCM 咨询技术 Human,Chicken
Elisa 咨询技术 Human,Chicken

产品详情

AliasesBCL2; Apoptosis regulator Bcl-2
Entrez GeneID596
clone12C6
WB Predicted band sizeCalculated MW: 26 kDa; Observed MW: 26 kDa
Host/IsotypeMouse IgG1
Antibody TypePrimary antibody
StorageStore at 4°C short term. Aliquot and store at -20°C long term. Avoid freeze/thaw cycles.
Species ReactivityHuman,Chicken
ImmunogenSynthetic Peptide of Bcl-2
FormulationPurified antibody in PBS with 0.05% sodium azide,0.5%BSA and 50% glycerol.

+ +

参考文献

以下是3篇关于Bcl2抗体的经典文献及其摘要概括:

---

1. **文献名称**:*Bcl-2 gene promotes haemopoietic cell survival and cooperates with c-myc to immortalize pre-B cells*

**作者**:Vaux, D.L., Cory, S., Adams, J.M.

**摘要**:该研究首次通过实验证明Bcl2蛋白的过表达可抑制细胞凋亡,并通过与c-Myc协同作用促进B细胞永生化。研究使用Bcl2特异性抗体验证了其在淋巴细胞中的表达及功能,为后续癌症研究奠定基础。

---

2. **文献名称**:*Bcl-2 protein is topographically restricted in tissues characterized by apoptotic cell death*

**作者**:Hockenbery, D.M., et al.

**摘要**:通过免疫组织化学技术(使用Bcl2抗体),研究发现Bcl2蛋白在正常组织(如肠道隐窝、淋巴滤泡)中高表达于长期存活细胞,而在易发生凋亡的区域表达缺失,提示其生理性抗凋亡作用。

---

3. **文献名称**:*Immunohistochemical analysis of Bcl-2. Bax, and Bak expression in prostate cancers*

**作者**:Krajewska, M., et al.

**摘要**:该研究利用多种Bcl2家族抗体(如Bcl2、Bax、Bak)分析前列腺癌组织,发现Bcl2过表达与肿瘤侵袭性相关,而促凋亡蛋白Bax/Bak的缺失提示预后不良,为癌症治疗靶点提供依据。

---

4. **文献名称**:*Mechanisms of apoptosis regulation by mutant BCL-2 in lymphoma*

**作者**:Certo, M., et al.

**摘要**:通过结构生物学和抗体阻断实验,研究揭示了突变型Bcl2蛋白如何抵抗化疗药物诱导的凋亡,并开发了针对突变表位的特异性抗体,为耐药性淋巴瘤治疗提供新策略。

---

这些文献涵盖了Bcl2抗体的功能验证、组织分布分析、临床应用及结构机制研究。如需具体文章细节,建议通过PubMed或Web of Science检索标题获取全文。

背景信息

The Bcl2 (B-cell lymphoma 2) protein, encoded by the *BCL2* gene, is a critical regulator of apoptosis (programmed cell death) and a founding member of the Bcl2 family of proteins. Discovered in the context of chromosomal translocations in B-cell lymphomas, Bcl2 promotes cell survival by inhibiting mitochondrial outer membrane permeabilization, thereby blocking the release of pro-apoptotic factors like cytochrome c. Its anti-apoptotic function plays a key role in normal cellular homeostasis but is frequently dysregulated in cancer, contributing to tumorigenesis and resistance to therapy. Overexpression of Bcl2 is observed in various malignancies, including follicular lymphoma, chronic lymphocytic leukemia (CLL), and certain solid tumors.

Bcl2 antibodies are essential tools in research and diagnostics, enabling the detection of Bcl2 protein expression via techniques like immunohistochemistry (IHC), Western blotting, and flow cytometry. These antibodies help distinguish Bcl2-positive lymphomas from other subtypes and assess its prognostic significance. For example, high Bcl2 expression in some cancers correlates with poor prognosis or resistance to chemotherapy, while in others, it may indicate favorable outcomes. Additionally, Bcl2 antibodies are used to validate the efficacy of Bcl2-targeted therapies, such as the BH3-mimetic drug venetoclax, which inhibits Bcl2 to restore apoptosis in cancer cells. Ongoing research continues to explore Bcl2's role in cellular stress responses, immune regulation, and its potential as a therapeutic target across diseases.

客户数据及评论

折叠内容

大包装询价

×