首页 / 产品 / 抗体 / 一抗

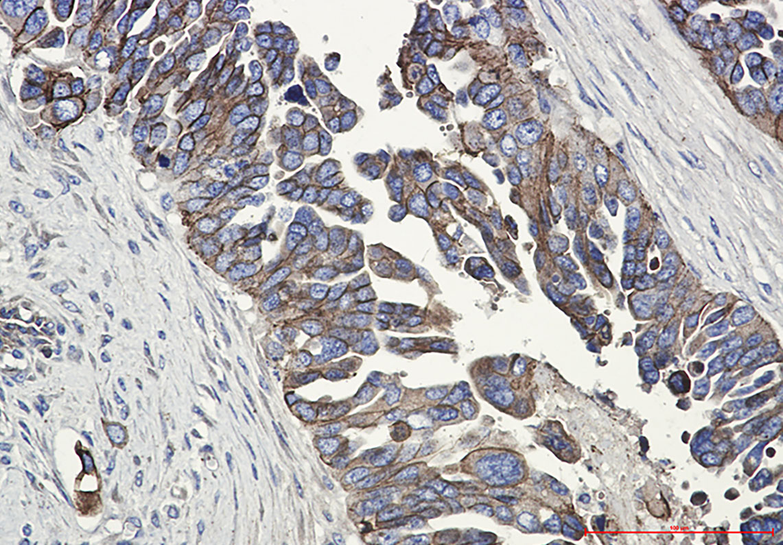
Rabbit Monoclonal ECadherin Antibody

  • 中文名: E Cadherin抗体
  • 别    名: CDH1; CDHE; UVO; Cadherin-1; CAM 120/80; Epithelial cadherin; E-cadherin; Uvomorulin; CD antigen CD324
货号: IPDX20822
Price: ¥1280
数量:
大包装询价

验证与应用

应用及物种
WB 咨询技术 Human,Mouse,Rat
IF 1/20 Human,Mouse,Rat
IHC 1/50-1/100 Human,Mouse,Rat
ICC 1/50-1/200 Human,Mouse,Rat
FCM 咨询技术 Human,Mouse,Rat
Elisa 咨询技术 Human,Mouse,Rat

产品详情

AliasesCDH1; CDHE; UVO; Cadherin-1; CAM 120/80; Epithelial cadherin; E-cadherin; Uvomorulin; CD antigen CD324
Entrez GeneID999
WB Predicted band sizeCalculated MW: 97 kDa; Observed MW: 80-120,135 kDa
Host/IsotypeRabbit IgG
Antibody TypePrimary antibody
StorageStore at 4°C short term. Aliquot and store at -20°C long term. Avoid freeze/thaw cycles.
Species ReactivityHuman
ImmunogenA synthetic peptide of human E Cadherin
FormulationPurified antibody in TBS with 0.05% sodium azide,0.05%BSA and 50% glycerol.

+ +

参考文献

以下是关于E-Cadherin抗体的3篇经典文献摘要概览:

1. **文献名称**:*The role of E-cadherin in tumour suppression*

**作者**:Berx, G., et al.

**摘要**:该综述总结了E-Cadherin作为上皮细胞间黏附关键分子的功能,及其在肿瘤抑制中的作用,强调其在维持细胞极性和抑制侵袭转移中的机制,并讨论了通过抗体检测E-Cadherin表达缺失与癌症进展的关系。

2. **文献名称**:*Epithelial-mesenchymal transitions in development and disease*

**作者**:Thiery, J.P.

**摘要**:文章系统探讨上皮-间质转化(EMT)在胚胎发育和癌症转移中的作用,指出E-Cadherin抗体在实验中被广泛用于检测EMT过程中上皮标志物的下调,并关联其表达减少与肿瘤细胞侵袭性增强。

3. **文献名称**:*The cell-cell adhesion molecule E-cadherin*

**作者**:Van Roy, F., & Berx, G.

**摘要**:该研究详细解析E-Cadherin的分子结构、功能及其在组织形态发生中的调控,提到使用特异性抗体(如HECD-1)通过免疫组化或免疫印迹评估E-Cadherin在正常组织与癌变组织中的表达差异。

4. **文献名称**:*EMT: 2016*

**作者**:Nieto, M.A., et al.

**摘要**:更新了EMT领域的研究进展,强调E-Cadherin作为核心调控因子,在肿瘤转移和耐药性中的作用,并提及通过抗体阻断或敲低实验揭示其功能机制。

这些文献均涉及E-Cadherin抗体的应用,包括检测表达水平、定位及其在疾病模型中的功能研究。

背景信息

E-cadherin, a member of the cadherin superfamily of calcium-dependent cell adhesion molecules, plays a pivotal role in maintaining epithelial tissue integrity by mediating homophilic cell-cell adhesion. It is a transmembrane glycoprotein composed of extracellular domains responsible for intercellular binding, a transmembrane segment, and a cytoplasmic domain that interacts with catenins (e.g., β-catenin) to link the actin cytoskeleton. Loss or reduced expression of E-cadherin is a hallmark of epithelial-mesenchymal transition (EMT), a process associated with cancer metastasis, invasiveness, and poor prognosis in carcinomas such as breast, gastric, and ovarian cancers.

E-cadherin antibodies are essential tools for studying cell adhesion dynamics, tissue morphology, and cancer progression. They are widely used in immunohistochemistry (IHC), Western blotting, and immunofluorescence to assess protein expression levels, localization, and post-translational modifications. Commercially available antibodies target specific epitopes, often within the extracellular or intracellular domains, with clones like HECD-1 and 36/E-Cadherin being frequently utilized. Validation across applications and species (human, mouse, etc.) is critical due to potential cross-reactivity or epitope masking. In diagnostics, E-cadherin staining aids in distinguishing epithelial tumors from mesenchymal malignancies and evaluating metastatic potential. However, antibody performance may vary with tissue fixation methods, emphasizing the need for optimized protocols. Ongoing research continues to refine antibody specificity and explore therapeutic strategies targeting E-cadherin dysregulation.

客户数据及评论

折叠内容

大包装询价

×