首页 / 产品 / 抗体 / 一抗

Rabbit Monoclonal Caldesmon Antibody

  • 中文名: Caldesmon抗体
  • 别    名: CDM; HCAD; LCAD; H-CAD; L-CAD; NAG22
货号: IPDX21149
Price: ¥1280
数量:
大包装询价

验证与应用

应用及物种
WB 咨询技术 Human,Mouse,Rat
IF 1/20 Human,Mouse,Rat
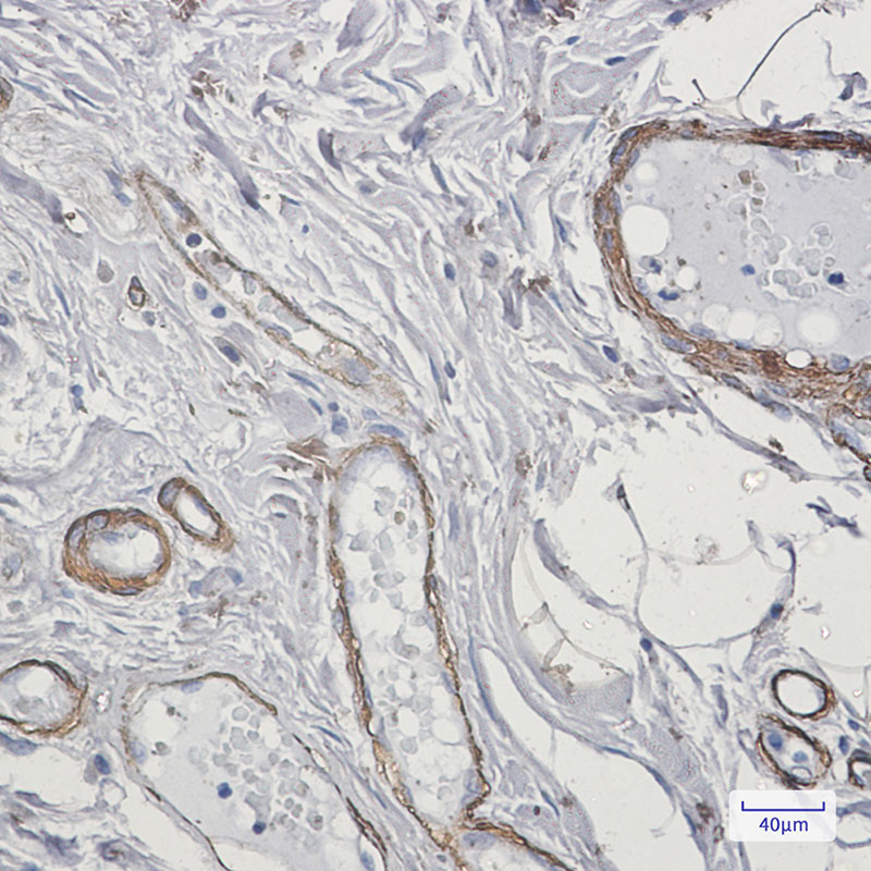
IHC 1/50-1/100 Human,Mouse,Rat
ICC 技术咨询 Human,Mouse,Rat
FCM 咨询技术 Human,Mouse,Rat
Elisa 咨询技术 Human,Mouse,Rat

产品详情

AliasesCDM; HCAD; LCAD; H-CAD; L-CAD; NAG22
Entrez GeneID800
WB Predicted band sizeCalculated MW: 93 kDa; Observed MW: 70-80 kDa
Host/IsotypeRabbit IgG
Antibody TypePrimary antibody
StorageStore at 4°C short term. Aliquot and store at -20°C long term. Avoid freeze/thaw cycles.
Species ReactivityHuman,Mouse,Rat
ImmunogenA synthetic peptide of human Caldesmon
FormulationPurified antibody in TBS with 0.05% sodium azide,0.05%BSA and 50% glycerol.

+ +

客户数据及评论

折叠内容

大包装询价

×