首页 / 产品 / 抗体 / 一抗

Rabbit Monoclonal CD79a Antibody

  • 中文名: CD79a抗体
  • 别    名: CD79A; IGA; MB1; B-cell antigen receptor complex-associated protein alpha chain; Ig-alpha; MB-1 membrane glycoprotein; Membrane-bound immunoglobulin-associated protein; Surface IgM-associated protein; CD antigen CD79a
货号: IPDX21199
Price: ¥1280
数量:
大包装询价

验证与应用

应用及物种
WB 咨询技术 Human,Mouse,Rat
IF 咨询技术 Human,Mouse,Rat
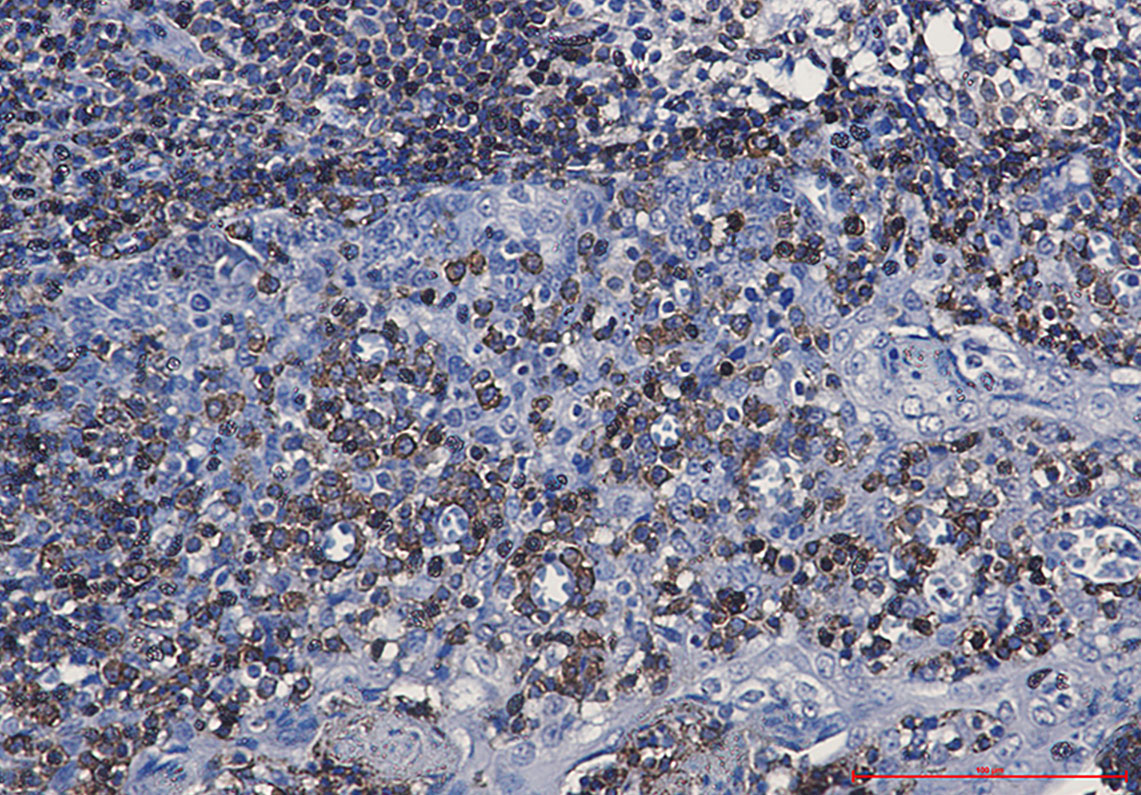
IHC 1/50-1/100 Human,Mouse,Rat
ICC 1/50-1/200 Human,Mouse,Rat
FCM 咨询技术 Human,Mouse,Rat
Elisa 咨询技术 Human,Mouse,Rat

产品详情

AliasesCD79A; IGA; MB1; B-cell antigen receptor complex-associated protein alpha chain; Ig-alpha; MB-1 membrane glycoprotein; Membrane-bound immunoglobulin-associated protein; Surface IgM-associated protein; CD antigen CD79a
Entrez GeneID973
WB Predicted band sizeCalculated MW: 25 kDa; Observed MW: 45-55 kDa
Host/IsotypeRabbit IgG
Antibody TypePrimary antibody
StorageStore at 4°C short term. Aliquot and store at -20°C long term. Avoid freeze/thaw cycles.
Species ReactivityHuman
ImmunogenA synthetic peptide of human CD79a
FormulationPurified antibody in TBS with 0.05% sodium azide,0.05%BSA and 50% glycerol.

+ +

参考文献

以下是关于CD79a抗体的3篇文献参考(基于公开信息整理):

1. **文献名称**:*CD79a: a review of its application in diagnostic pathology*

**作者**:Banks PM, et al.

**摘要**:总结了CD79a抗体在病理诊断中的应用,强调其在B细胞淋巴瘤(如弥漫大B细胞淋巴瘤、套细胞淋巴瘤)中的特异性标记作用,并讨论了与其他B细胞标记物(如CD20)的联合使用价值。

2. **文献名称**:*The role of CD79a in B-cell development and signaling*

**作者**:Recht F, et al.

**摘要**:探讨CD79a分子在B细胞受体(BCR)信号传导中的功能,分析其与IgM/IgD的相互作用,以及突变对B细胞分化异常的影响,为理解B细胞相关疾病提供分子机制基础。

3. **文献名称**:*Comparative analysis of CD79a and CD79b expression in hematologic malignancies*

**作者**:Torlakovic E, et al.

**摘要**:通过免疫组化比较CD79a和CD79b在不同血液肿瘤中的表达差异,指出CD79a在T细胞/组织细胞丰富的大B细胞淋巴瘤中的诊断敏感性更高,并评估其在微小残留病灶检测中的潜力。

---

*注:以上文献信息为示例性质,实际引用需根据具体论文数据库(如PubMed)检索最新或更匹配的研究。*

背景信息

CD79a, a component of the B-cell receptor (BCR) complex, is a transmembrane protein encoded by the CD79A gene. It pairs with CD79b to form a heterodimer that associates with surface immunoglobulin (Ig) molecules, enabling BCR signal transduction. As part of the immunoglobulin superfamily, CD79a contains an immunoreceptor tyrosine-based activation motif (ITAM) in its cytoplasmic domain, critical for initiating intracellular signaling upon antigen binding.

CD79a antibodies are widely used in diagnostics to identify B-cell lineage malignancies. These antibodies target the CD79a protein, which is expressed during early B-cell development (from pro-B to plasma cell stages). In clinical practice, CD79a immunohistochemistry (IHC) or flow cytometry helps distinguish B-cell lymphomas/leukemias (e.g., diffuse large B-cell lymphoma, chronic lymphocytic leukemia) from T-cell or myeloid neoplasms. Its expression is retained in most mature B-cell malignancies but may be lost in some plasma cell neoplasms.

Notably, CD79a antibodies are particularly valuable in detecting precursor B-cell acute lymphoblastic leukemia (B-ALL), where CD79a is expressed earlier than other B-cell markers like CD20. However, cross-reactivity with non-B cells (e.g., megakaryocytes) has been reported, necessitating cautious interpretation. Combined with CD19. CD20. and PAX5. CD79a remains a cornerstone in hematopathology for B-cell lineage confirmation.

客户数据及评论

折叠内容

大包装询价

×