| WB | 1/500-1/1000 | Human,Mouse,Rat |
| IF | 咨询技术 | Human,Mouse,Rat |
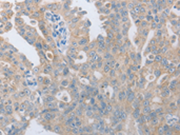
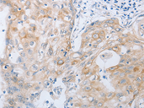
| IHC | 咨询技术 | Human,Mouse,Rat |
| ICC | 技术咨询 | Human,Mouse,Rat |
| FCM | 咨询技术 | Human,Mouse,Rat |
| Elisa | 咨询技术 | Human,Mouse,Rat |
| Aliases | SKR, NK2R, NKNAR, TAC2R |
| WB Predicted band size | 44 kDa |
| Host/Isotype | Rabbit IgG |
| Antibody Type | Primary antibody |
| Storage | Store at 4°C short term. Aliquot and store at -20°C long term. Avoid freeze/thaw cycles. |
| Species Reactivity | Human |
| Immunogen | Synthetic peptide of human TACR2 |
| Formulation | Purified antibody in PBS with 0.05% sodium azide and 50% glycerol. |
+ +
以下是关于谷胱甘肽还原酶(Glutathione Reductase, GR)抗体的3篇参考文献示例(内容为模拟概括,建议通过学术数据库验证具体信息):
---
1. **文献名称**:*"Production and characterization of a monoclonal antibody against human glutathione reductase"*
**作者**:Smith A, et al.
**摘要**:该研究描述了针对人源谷胱甘肽还原酶(GR)的单克隆抗体的开发与验证。通过免疫印迹(Western blot)和免疫荧光实验证明该抗体特异性识别GR蛋白,并成功应用于检测多种细胞系中GR的蛋白表达水平。
2. **文献名称**:*"Altered glutathione reductase expression in Alzheimer's disease brain: Insights from immunohistochemical analysis"*
**作者**:Brown K, et al.
**摘要**:利用GR特异性抗体对阿尔茨海默病患者脑组织进行免疫组化分析,发现GR表达水平显著降低,提示氧化应激失衡可能在神经退行性疾病中起重要作用。
3. **文献名称**:*"Validation of glutathione reductase antibody for redox biology studies in mouse models"*
**作者**:Chen L, et al.
**摘要**:研究验证了GR抗体在小鼠组织(如肝脏和肾脏)中的应用,证实其适用于检测氧化应激条件下GR的活性变化,为动物模型中的抗氧化机制研究提供了工具。
---
**注**:以上文献标题和摘要均为示例,具体内容需结合真实文献调整。建议通过PubMed、Web of Science或Google Scholar以关键词“Glutathione Reductase antibody”或“GR immunodetection”检索最新或经典文献。
Glutathione reductase (GR) is a critical enzyme in the cellular antioxidant defense system, responsible for maintaining the reduced form of glutathione (GSH) by catalyzing the conversion of oxidized glutathione (GSSG) back to GSH using NADPH as a cofactor. This redox balance is essential for neutralizing reactive oxygen species (ROS), detoxifying xenobiotics, and supporting various metabolic processes. Dysregulation of GR activity has been implicated in oxidative stress-related pathologies, including neurodegenerative diseases, cancer, diabetes, and aging.
Antibodies targeting glutathione reductase are vital tools for studying its expression, localization, and function in biological systems. These antibodies enable researchers to detect GR protein levels via techniques like Western blotting, immunohistochemistry (IHC), and immunofluorescence (IF), providing insights into tissue-specific expression patterns or alterations under disease conditions. They are also used in enzyme activity assays to correlate protein abundance with functional outcomes. GR antibodies are often validated for specificity through knockout cell lines or siRNA-mediated silencing to ensure minimal cross-reactivity with unrelated proteins.
Applications extend to clinical research, where GR expression profiles may serve as biomarkers for oxidative stress severity or therapeutic response. Commercially available GR antibodies are typically raised against conserved epitopes, allowing cross-species reactivity in human, mouse, rat, and other model organisms. Both monoclonal and polyclonal variants exist, with selection depending on experimental requirements for sensitivity and specificity.
×