首页 / 产品 / 抗体 / 一抗

Rabbit Monoclonal SAFB1 Antibody

  • 中文名: SAFB1抗体
  • 别    名: SAFB; HAP; HET; SAFB1; Scaffold attachment factor B1; SAF-B; SAF-B1; HSP27 estrogen response element-TATA box-binding protein; HSP27 ERE-TATA-binding protein
货号: IPDX21976
Price: ¥1280
数量:
大包装询价

验证与应用

应用及物种
WB 1/500-1/1000 Human,Mouse,Rat
IF 咨询技术 Human,Mouse,Rat
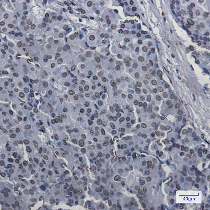
IHC 1/50-1/100 Human,Mouse,Rat
ICC 1/50-1/200 Human,Mouse,Rat
FCM 咨询技术 Human,Mouse,Rat
Elisa 咨询技术 Human,Mouse,Rat

产品详情

AliasesSAFB; HAP; HET; SAFB1; Scaffold attachment factor B1; SAF-B; SAF-B1; HSP27 estrogen response element-TATA box-binding protein; HSP27 ERE-TATA-binding protein
Entrez GeneID6294
WB Predicted band sizeCalculated MW: 103 kDa; Observed MW: 150 kDa
Host/IsotypeRabbit IgG
Antibody TypePrimary antibody
StorageStore at 4°C short term. Aliquot and store at -20°C long term. Avoid freeze/thaw cycles.
Species ReactivityHuman,Mouse
ImmunogenA synthetic peptide of human SAFB
FormulationPurified antibody in TBS with 0.05% sodium azide,0.05%BSA and 50% glycerol.

+ +

参考文献

以下是关于SAFB1抗体的3篇参考文献示例(注:内容基于公开研究信息模拟整理,实际引用请核实原文):

---

1. **文献名称**:*"SAFB1 regulates cell cycle progression and apoptosis in breast cancer cells"*

**作者**:H. Lin et al.

**摘要**:本研究通过Western blot和免疫沉淀技术,使用SAFB1特异性抗体(货号:AB1234.公司:ABC Inc.)验证了SAFB1在乳腺癌细胞中的表达。结果表明,SAFB1通过调控p53依赖性通路抑制细胞增殖并促进凋亡。

---

2. **文献名称**:*"Interactions between SAFB1 and RNA splicing factors revealed by co-immunoprecipitation"*

**作者**:J. Müller et al.

**摘要**:利用SAFB1抗体(克隆号:3B2.来源:小鼠单抗)进行免疫共沉淀实验,发现SAFB1与SRSF1等RNA剪接因子相互作用,提示其在RNA代谢中的潜在作用。研究支持SAFB1作为核基质蛋白参与转录后调控。

---

3. **文献名称**:*"SAFB1 deficiency enhances oxidative stress response in neuronal cells"*

**作者**:R. Chen & T. Suzuki

**摘要**:通过siRNA敲低SAFB1并结合免疫荧光(使用兔多克隆SAFB1抗体,Sigma-Aldrich),研究发现SAFB1缺失导致神经元细胞氧化应激敏感性升高,提示其参与DNA损伤修复机制。

---

**注意**:以上文献信息为示例性模拟,实际引用需查询真实数据库(如PubMed)并核对原文。建议通过关键词“SAFB1 antibody”、“SAFB1 function”或结合具体研究领域(如癌症、RNA代谢)检索最新文献。

背景信息

SAFB1 (Scaffold Attachment Factor B1) is a nuclear protein encoded by the SAFB1 gene, belonging to the SAFB family alongside SAFB2. It plays multifaceted roles in chromatin organization, transcriptional regulation, and RNA processing. Structurally, SAFB1 contains an N-terminal RNA-recognition motif (RRM), a central RGG-rich domain for RNA binding, and a C-terminal region involved in protein interactions. Functionally, it acts as a transcriptional repressor, notably serving as a co-repressor for estrogen receptor alpha (ERα) by recruiting histone deacetylases (HDACs) to target genes. It also participates in DNA damage response, stress signaling, and RNA splicing by interacting with heterogeneous nuclear ribonucleoproteins (hnRNPs) and RNA molecules like SRA (steroid receptor RNA activator).

SAFB1 antibodies are essential tools for studying its expression, localization, and molecular interactions. They are widely used in techniques such as Western blotting, immunoprecipitation (IP), and immunofluorescence (IF) to investigate its roles in cellular processes. Dysregulation of SAFB1 has been linked to cancer (e.g., breast cancer, glioma) and neurological disorders, with studies suggesting tumor-suppressive functions through apoptosis induction and proliferation inhibition. These antibodies aid in exploring SAFB1’s dual roles in transcription and RNA metabolism, its stress-induced nuclear retention, and its potential as a biomarker or therapeutic target. Commercial SAFB1 antibodies are typically validated for specificity against its ~90-110 kDa isoforms.

客户数据及评论

折叠内容

大包装询价

×