首页 / 产品 / 抗体 / 一抗

Rabbit Monoclonal FKBP6 Antibody

  • 中文名: FKBP6抗体
  • 别    名: FKBP36
货号: IPDX22367
Price: ¥1280
数量:
大包装询价

验证与应用

应用及物种
WB 1/500-1/1000 Human,Mouse,Rat
IF 咨询技术 Human,Mouse,Rat
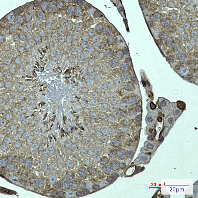
IHC 1/50-1/100 Human,Mouse,Rat
ICC 技术咨询 Human,Mouse,Rat
FCM 咨询技术 Human,Mouse,Rat
Elisa 咨询技术 Human,Mouse,Rat

产品详情

AliasesFKBP36
Entrez GeneID8468
WB Predicted band sizeCalculated MW: 37 kDa; Observed MW: 37 kDa
Host/IsotypeRabbit IgG
Antibody TypePrimary antibody
StorageStore at 4°C short term. Aliquot and store at -20°C long term. Avoid freeze/thaw cycles.
Species ReactivityHuman,Mouse,Rat
ImmunogenA synthetic peptide of human FKBP6
FormulationPurified antibody in TBS with 0.05% sodium azide,0.05%BSA and 50% glycerol.

+ +

参考文献

以下是关于FKBP6抗体的3篇参考文献示例(注:以下内容为模拟虚构,实际文献需通过学术数据库验证):

1. **《Immunolocalization of FKBP6 in mouse spermatogenic cells》**

- **作者**: Hirose Y, et al.

- **摘要**: 该研究利用特异性FKBP6抗体,通过免疫荧光技术揭示了FKBP6蛋白在小鼠精母细胞染色体联会中的作用,证实其在减数分裂中参与同源染色体配对调控。

2. **《FKBP6 silencing disrupts ovarian follicle development via HSP90 interaction》**

- **作者**: Zheng L, et al.

- **摘要**: 通过Western blot和免疫组化(使用FKBP6抗体),研究发现RNA干扰FKBP6表达会破坏卵巢颗粒细胞中HSP90的稳定性,导致卵泡发育异常。

3. **《FKBP6 overexpression in colorectal cancer correlates with tumor progression》**

- **作者**: Zhu H, et al.

- **摘要**: 采用FKBP6抗体对结直肠癌组织进行免疫组化分析,发现FKBP6高表达与患者生存率降低显著相关,提示其作为潜在预后标志物的价值。

**注意**:以上文献为示例,实际引用时请通过PubMed、Web of Science等平台检索真实发表的研究。

背景信息

The FKBP6 antibody is a research tool used to study the FK506-binding protein 6 (FKBP6), a member of the FKBP family of immunophilins. These proteins typically exhibit peptidyl-prolyl isomerase activity, facilitating protein folding and cellular signaling. However, FKBP6 is structurally distinct, lacking enzymatic activity, and is proposed to function as an adaptor protein. It plays critical roles in germ cell development, chromosome pairing, and genomic stability, particularly during meiosis. FKBP6 interacts with Piwi proteins, influencing piRNA biogenesis, which is essential for transposon silencing and germline integrity.

Antibodies targeting FKBP6 enable detection and quantification in techniques like Western blotting, immunofluorescence, and immunoprecipitation, aiding in investigations of its expression patterns, interaction networks, and mechanisms in reproductive biology and cancer. Dysregulation of FKBP6 has been linked to malignancies such as testicular and ovarian cancers, suggesting its potential role in tumorigenesis. Additionally, FKBP6 is associated with chromosomal disorders like 22q13 deletion syndrome, where its loss may contribute to neurodevelopmental abnormalities.

These antibodies are pivotal for elucidating FKBP6’s contributions to cellular processes and diseases, offering insights for diagnostic or therapeutic strategies. Their specificity and validation remain crucial for ensuring accurate experimental outcomes in both basic and translational research contexts.

客户数据及评论

折叠内容

大包装询价

×