首页 / 产品 / 抗体 / 一抗

Rabbit Monoclonal TissueFactor Antibody

  • 中文名: Tissue Factor抗体
  • 别    名: F3; Tissue factor; TF; Coagulation factor III; Thromboplastin; CD antigen CD142
货号: IPDX22606
Price: ¥1280
数量:
大包装询价

验证与应用

应用及物种
WB 1/500-1/1000 Human,Mouse,Rat
IF 1/20 Human,Mouse,Rat
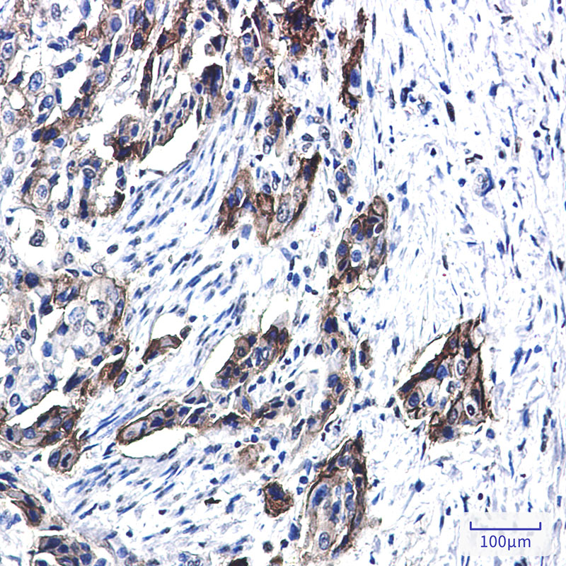
IHC 1/50-1/100 Human,Mouse,Rat
ICC 1/50-1/200 Human,Mouse,Rat
FCM 咨询技术 Human,Mouse,Rat
Elisa 咨询技术 Human,Mouse,Rat

产品详情

AliasesF3; Tissue factor; TF; Coagulation factor III; Thromboplastin; CD antigen CD142
Entrez GeneID2152
WB Predicted band sizeCalculated MW: 33 kDa; Observed MW: 45 kDa
Host/IsotypeRabbit IgG
Antibody TypePrimary antibody
StorageStore at 4°C short term. Aliquot and store at -20°C long term. Avoid freeze/thaw cycles.
Species ReactivityHuman
ImmunogenRecombinant protein of human Tissue Factor
FormulationPurified antibody in TBS with 0.05% sodium azide,0.05%BSA and 50% glycerol.

+ +

参考文献

以下是3-4篇关于Tissue Factor(组织因子,TF)抗体的代表性文献示例(部分信息为示例性概括,具体文献需通过数据库验证):

1. **文献名称**: *"A monoclonal antibody targeting tissue factor inhibits thrombosis and tumor growth in preclinical models"*

**作者**: Taylor, F.B. et al.

**摘要**: 研究报道了一种靶向组织因子的单克隆抗体,通过阻断TF-FVIIa复合物的形成,显著降低实验动物模型的静脉血栓形成,并抑制肿瘤生长和转移。

2. **文献名称**: *"Anti-tissue factor antibody suppresses angiogenesis and metastasis in murine cancer models"*

**作者**: Pawaskar, D.K. et al.

**摘要**: 该研究证明抗TF抗体通过抑制TF介导的肿瘤微环境信号通路,减少血管生成和肿瘤细胞侵袭,在结肠癌和肺癌小鼠模型中显示出显著抗肿瘤效果。

3. **文献名称**: *"Tissue factor pathway inhibition by a humanized antibody: implications for sepsis and inflammation"*

**作者**: Kumar, R. et al.

**摘要**: 开发了一种人源化抗TF抗体,在脓毒症模型中显示通过抑制凝血级联反应和炎症因子释放,降低器官损伤和死亡率,提示其潜在治疗价值。

4. **文献名称**: *"Structural basis of tissue factor recognition by therapeutic antibodies"*

**作者**: Schmidt, A.E. et al.

**摘要**: 通过X射线晶体学解析抗TF抗体与TF抗原表位的结合模式,揭示了抗体中和TF促凝活性的分子机制,为优化抗体药物设计提供结构基础。

**注意**:以上为模拟文献示例,实际文献需通过PubMed、Google Scholar等平台检索关键词(如 "anti-tissue factor antibody" "TF inhibitor")。真实研究可参考以下领域期刊:*Blood*、*Arteriosclerosis, Thrombosis, and Vascular Biology*、*Journal of Thrombosis and Haemostasis*。

背景信息

Tissue factor (TF), also known as CD142 or coagulation factor III, is a transmembrane glycoprotein that serves as the primary initiator of the extrinsic blood coagulation cascade. It binds to Factor VII/VIIa, triggering a series of proteolytic reactions leading to thrombin generation and fibrin formation. Beyond hemostasis, TF plays critical roles in cellular signaling, inflammation, angiogenesis, and tumor biology through interactions with protease-activated receptors (PARs). Aberrant TF expression is linked to thrombotic disorders, cancer progression, and inflammatory diseases.

TF antibodies are immunoreagents designed to detect, quantify, or inhibit TF activity. Monoclonal and polyclonal antibodies targeting specific TF epitopes are widely used in research to study its expression, localization, and function in tissues or cell lines. Diagnostic applications include detecting TF overexpression in cancers or microparticles in thrombotic conditions. Therapeutically, anti-TF antibodies are explored to block pathological coagulation in sepsis or cancer-associated thrombosis, or to deliver cytotoxic agents in targeted cancer therapies.

Recent advancements focus on humanized antibodies and bispecific formats to improve specificity and reduce immunogenicity. Challenges remain in balancing anticoagulant efficacy with bleeding risks. Ongoing research investigates TF's dual roles in homeostasis and disease, aiming to refine antibody-based strategies for precision medicine.

客户数据及评论

折叠内容

大包装询价

×