首页 / 产品 / 抗体 / 一抗

Rabbit Monoclonal TOMM20 Antibody

  • 中文名: TOMM20抗体
  • 别    名: TOMM20; KIAA0016; Mitochondrial import receptor subunit TOM20 homolog; Mitochondrial 20 kDa outer membrane protein; Outer mitochondrial membrane receptor Tom20
货号: IPDX22730
Price: ¥1280
数量:
大包装询价

验证与应用

应用及物种
WB 1/500-1/1000 Human,Hamster
IF 咨询技术 Human,Hamster
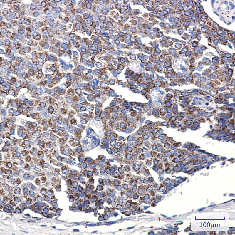
IHC 1/50-1/100 Human,Hamster
ICC 1/50-1/200 Human,Hamster
FCM 咨询技术 Human,Hamster
Elisa 咨询技术 Human,Hamster

产品详情

AliasesTOMM20; KIAA0016; Mitochondrial import receptor subunit TOM20 homolog; Mitochondrial 20 kDa outer membrane protein; Outer mitochondrial membrane receptor Tom20
Entrez GeneID9804
WB Predicted band sizeCalculated MW: 16 kDa; Observed MW: 16 kDa
Host/IsotypeRabbit IgG
Antibody TypePrimary antibody
StorageStore at 4°C short term. Aliquot and store at -20°C long term. Avoid freeze/thaw cycles.
Species ReactivityHuman,Hamster
ImmunogenRecombinant protein of human TOMM20
FormulationPurified antibody in TBS with 0.05% sodium azide,0.05%BSA and 50% glycerol.

+ +

参考文献

以下是关于TOMM20抗体的3篇参考文献,按文献名称、作者和摘要内容概括列出:

1. **文献名称**:*TOMM20 as a marker for mitochondrial content in human skeletal muscle*

**作者**:Larsen S et al.

**摘要**:该研究验证了TOMM20抗体在人类骨骼肌组织中线粒体标记的可靠性,通过Western blot和免疫荧光证明TOMM20蛋白水平与线粒体DNA含量正相关,适用于评估线粒体生物发生及功能。

2. **文献名称**:*Mitochondrial dysfunction in Parkinson's disease: Focus on mitochondrial translocase protein TOMM20*

**作者**:Hsieh CH et al.

**摘要**:探讨帕金森病患者中TOMM20表达下调与线粒体功能障碍的关系,使用TOMM20抗体检测脑组织样本,发现其表达减少可能导致神经元线粒体蛋白导入异常。

3. **文献名称**:*TOMM20 immunoexpression in breast cancer: Association with metabolism and prognosis*

**作者**:Cruz ALS et al.

**摘要**:通过免疫组化分析乳腺癌组织中TOMM20的表达水平,发现高表达TOMM20的肿瘤细胞线粒体代谢活性增强,且与患者不良预后显著相关,提示其作为潜在生物标志物的价值。

背景信息

TOMM20 (Translocase of Outer Mitochondrial Membrane 20) is a key component of the mitochondrial protein import machinery. Located in the outer mitochondrial membrane, it is part of the translocase complex (TOM complex) responsible for recognizing and importing nuclear-encoded mitochondrial precursor proteins. TOMM20 acts as a receptor, binding to incoming precursor proteins via their targeting signals and facilitating their translocation through the TOM channel formed by TOMM40 and other subunits. This process is critical for maintaining mitochondrial function, as most mitochondrial proteins are synthesized in the cytosol and require active import.

Antibodies targeting TOMM20 are widely used as mitochondrial markers in research. They help visualize mitochondrial morphology, assess mitochondrial mass, and study mitochondrial dynamics in various cellular contexts, including stress responses, metabolic diseases, and cancer. In cancer biology, TOMM20 expression is often evaluated to monitor mitochondrial content alterations linked to metabolic reprogramming (e.g., Warburg effect). Additionally, TOMM20 antibodies are employed in co-localization studies to investigate interactions between mitochondria and other organelles or pathogens.

Its stability and high abundance make TOMM20 a reliable indicator of mitochondrial integrity, useful in neurodegenerative disease models (e.g., Alzheimer’s, Parkinson’s) where mitochondrial dysfunction is implicated. Commercial antibodies are typically validated via knockout controls or siRNA silencing to ensure specificity.

客户数据及评论

折叠内容

大包装询价

×