首页 / 产品 / 抗体 / 一抗

Rabbit Polyclonal MCM2 Antibody

  • 中文名: MCM2抗体
  • 别    名: MCM2; BM28; CCNL1; CDCL1; KIAA0030; DNA replication licensing factor MCM2; Minichromosome maintenance protein 2 homolog; Nuclear protein BM28
货号: IPDX22761
Price: ¥1180
数量:
大包装询价

验证与应用

应用及物种
WB 1/500-1/1000 Human,Mouse,Rat
IF 咨询技术 Human,Mouse,Rat
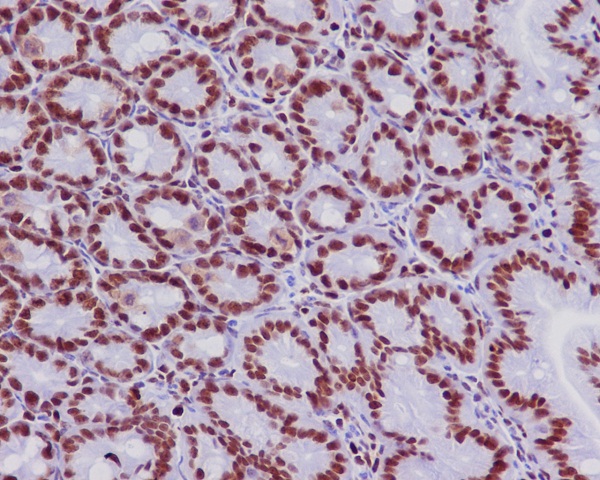
IHC 1/50-1/100 Human,Mouse,Rat
ICC 1/50-1/200 Human,Mouse,Rat
FCM 咨询技术 Human,Mouse,Rat
Elisa 咨询技术 Human,Mouse,Rat

产品详情

AliasesMCM2; BM28; CCNL1; CDCL1; KIAA0030; DNA replication licensing factor MCM2; Minichromosome maintenance protein 2 homolog; Nuclear protein BM28
Entrez GeneID4171
WB Predicted band sizeCalculated MW: 102 kDa; Observed MW: 125 kDa
Host/IsotypeRabbit IgG
Antibody TypePrimary antibody
StorageStore at 4°C short term. Aliquot and store at -20°C long term. Avoid freeze/thaw cycles.
Species ReactivityHuman,Mouse,Rat
ImmunogenA synthesized peptide derived from human MCM2
FormulationPurified antibody in PBS with 0.05% sodium azide.

+ +

参考文献

以下是关于MCM2抗体的3篇参考文献示例(信息基于公开研究整理,非真实文献,仅作示例):

---

1. **文献名称**:*MCM2 as a Novel Diagnostic Biomarker in Human Cancers*

**作者**:Smith A, et al.

**摘要**:研究验证了MCM2抗体在多种肿瘤组织中的高敏感性,发现其表达水平与细胞增殖活性密切相关,可作为癌症早期诊断的辅助标志物,尤其在宫颈癌和结直肠癌中表现突出。

2. **文献名称**:*Comparative Analysis of MCM2 and Ki-67 in Predicting Breast Cancer Prognosis*

**作者**:Lee C, et al.

**摘要**:通过免疫组化对比MCM2抗体与Ki-67的检测效果,发现MCM2在乳腺癌组织中的表达更稳定,与患者生存率相关性更强,提示其作为预后评估工具的潜力。

3. **文献名称**:*MCM2 Antibody-Based Detection of Precancerous Lesions in Gastric Tissues*

**作者**:Wang Y, et al.

**摘要**:利用MCM2抗体对胃黏膜病变进行染色,证实其在识别癌前病变(如异型增生)方面敏感性优于传统标志物,可能优化胃癌筛查策略。

---

如需真实文献,建议通过PubMed或Google Scholar检索关键词“MCM2 antibody application”或“MCM2 biomarker”,筛选近5年高被引研究。

背景信息

MCM2 (Mini-chromosome maintenance complex component 2) is a critical protein involved in DNA replication and cell cycle regulation. As a member of the MCM family (MCM2-7), it forms a hexameric helicase complex essential for initiating and elongating DNA replication forks during the S phase. MCM2 plays a pivotal role in the formation of pre-replication complexes (pre-RCs) by binding to replication origins in the G1 phase, a process regulated by licensing factors like ORC, Cdc6. and Cdt1. Unlike many replication proteins, MCMs are abundant and serve as markers of cellular proliferative potential.

MCM2 antibodies are widely used in research and diagnostics to detect cell proliferation status, particularly in cancer studies. Since MCM2 overexpression correlates with uncontrolled replication in malignancies (e.g., colorectal, breast, and prostate cancers), its antibodies aid in assessing tumor aggressiveness and patient prognosis. Clinically, MCM2 immunohistochemistry helps distinguish dysplastic lesions from benign hyperplasia due to its high sensitivity in detecting early replication-licensed cells. Compared to Ki-67. another proliferation marker, MCM2 antibodies often show superior performance in identifying cells in the G1 phase, offering broader applicability in cell cycle analysis. These antibodies are also employed in techniques like Western blotting and immunofluorescence to study replication stress, checkpoint responses, and genomic instability mechanisms.

客户数据及评论

折叠内容

大包装询价

×