首页 / 产品 / 抗体 / 一抗

Rabbit Polyclonal LEF1 Antibody

  • 中文名: LEF1抗体
  • 别    名: LEF1; Lymphoid enhancer-binding factor 1; LEF-1; T cell-specific transcription factor 1-alpha; TCF1-alpha
货号: IPDX22773
Price: ¥1180
数量:
大包装询价

验证与应用

应用及物种
WB 1/500-1/1000 Human,Mouse,Rat
IF 1/20 Human,Mouse,Rat
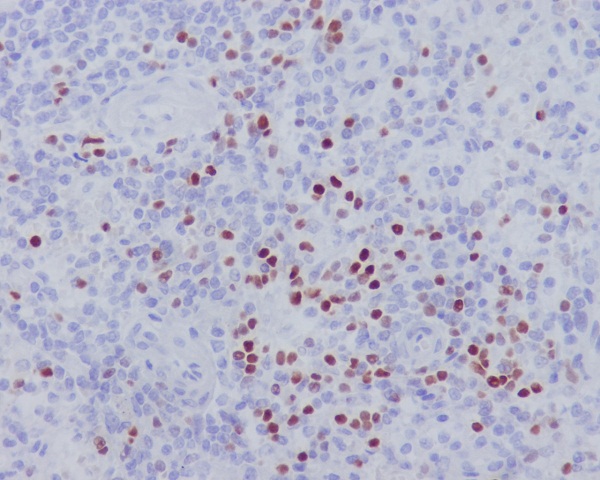
IHC 1/50-1/100 Human,Mouse,Rat
ICC 1/50-1/200 Human,Mouse,Rat
FCM 1/50-1/100 Human,Mouse,Rat
Elisa 咨询技术 Human,Mouse,Rat

产品详情

AliasesLEF1; Lymphoid enhancer-binding factor 1; LEF-1; T cell-specific transcription factor 1-alpha; TCF1-alpha
Entrez GeneID51176
WB Predicted band sizeCalculated MW: 44 kDa; Observed MW: 44 kDa
Host/IsotypeRabbit IgG
Antibody TypePrimary antibody
StorageStore at 4°C short term. Aliquot and store at -20°C long term. Avoid freeze/thaw cycles.
Species ReactivityHuman,Mouse,Rat
ImmunogenA synthesized peptide derived from human LEF1
FormulationPurified antibody in PBS with 0.05% sodium azide.

+ +

参考文献

以下是关于LEF1抗体的3篇参考文献示例(注:内容为示例性概括,实际文献请通过学术数据库核实):

1. **文献名称**:*LEF1-mediated regulation of Wnt signaling in colorectal cancer progression*

**作者**:Hovanes K, et al.

**摘要**:研究利用LEF1抗体通过免疫组化和Western blot分析结直肠癌组织中LEF1的表达水平,发现其高表达与Wnt/β-catenin通路激活及肿瘤转移相关,提示LEF1可作为预后标志物。

2. **文献名称**:*Role of LEF1 in T-cell acute lymphoblastic leukemia pathogenesis*

**作者**:Petropoulos K, et al.

**摘要**:通过流式细胞术和免疫荧光染色(使用LEF1特异性抗体),证实LEF1在T-ALL患者中的异常表达促进白血病细胞增殖,为靶向治疗提供依据。

3. **文献名称**:*LEF1 antibody-based profiling in epidermal development and disease*

**作者**:Jamora C, et al.

**摘要**:研究采用LEF1抗体进行小鼠皮肤组织染色,揭示LEF1在毛囊发育中的动态表达模式及其与Wnt信号协同调控上皮干细胞分化的机制。

如需具体文献,建议通过PubMed或Google Scholar检索关键词“LEF1 antibody”+应用场景(如“cancer”“development”)。

背景信息

The lymphoid enhancer-binding factor 1 (LEF1) antibody is a crucial tool for studying the LEF1 protein, a transcription factor belonging to the T-cell factor/lymphoid enhancer factor (TCF/LEF) family. LEF1 plays a pivotal role in the Wnt/β-catenin signaling pathway, which regulates gene expression involved in embryonic development, cell proliferation, differentiation, and cancer progression. It binds to DNA through its high-mobility group (HMG) domain and interacts with β-catenin to activate target genes, such as c-MYC and cyclin D1. Dysregulation of LEF1 is implicated in various cancers, including colorectal carcinoma, leukemia, and breast cancer, making it a biomarker of interest in oncology research.

LEF1 antibodies are widely used in techniques like Western blotting, immunohistochemistry (IHC), immunofluorescence (IF), and flow cytometry to detect LEF1 expression levels and subcellular localization. In diagnostics, these antibodies help identify LEF1 overexpression in malignancies like chronic lymphocytic leukemia (CLL) or assess Wnt pathway activity in tumor samples. Commercial LEF1 antibodies are typically raised against specific epitopes (e.g., N-terminal or C-terminal regions) and are available in monoclonal or polyclonal formats. Researchers must validate antibody specificity using controls like knockout cell lines or siRNA-mediated LEF1 knockdown. Variations in antibody performance across applications highlight the need for optimization based on experimental conditions.

客户数据及评论

折叠内容

大包装询价

×