首页 / 产品 / 抗体 / 一抗

Rabbit Polyclonal HistoneH3.3 Antibody

  • 中文名: Histone H3.3抗体
  • 别    名: H3F3; H3.3A
货号: IPDX22804
Price: ¥1180
数量:
大包装询价

验证与应用

应用及物种
WB 1/500-1/1000 Human,Mouse,Rat
IF 咨询技术 Human,Mouse,Rat
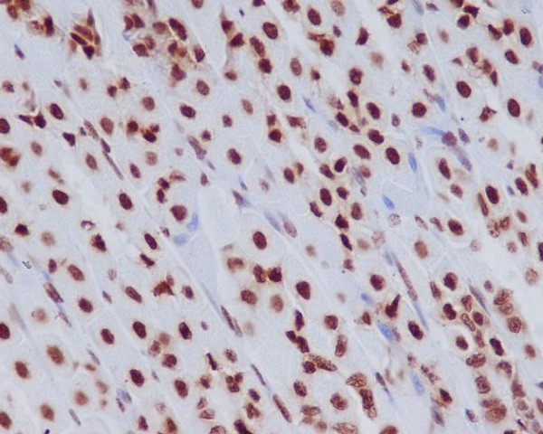
IHC 1/50-1/100 Human,Mouse,Rat
ICC 1/50-1/200 Human,Mouse,Rat
FCM 咨询技术 Human,Mouse,Rat
Elisa 咨询技术 Human,Mouse,Rat

产品详情

AliasesH3F3; H3.3A
Entrez GeneID3020
WB Predicted band sizeCalculated MW: 15 kDa; Observed MW: 15 kDa
Host/IsotypeRabbit IgG
Antibody TypePrimary antibody
StorageStore at 4°C short term. Aliquot and store at -20°C long term. Avoid freeze/thaw cycles.
Species ReactivityHuman,Mouse,Rat
ImmunogenA synthesized peptide derived from human Histone H3.3
FormulationPurified antibody in PBS with 0.05% sodium azide.

+ +

参考文献

以下是关于Histone H3.3抗体的3篇代表性文献,按发表时间排序:

---

1. **文献名称**:*Histone H3.3 maintains genome integrity during mammalian development*

**作者**:Lewis PW et al.

**摘要**:该研究通过H3.3特异性抗体结合ChIP-seq技术,揭示了H3.3在哺乳动物发育过程中动态分布于基因体和调控区域(如启动子和增强子),其缺失会导致染色质不稳定和胚胎致死,表明H3.3在表观遗传调控和基因组稳定性中的关键作用。

2. **文献名称**:*H3.3K27M cooperates with Trp53 loss and PDGFRA gain to drive pediatric gliomagenesis*

**作者**:Jang CW et al.

**摘要**:研究利用H3.3突变特异性抗体(如H3.3 K27M),发现儿童高级别胶质瘤中H3.3的致癌突变会破坏染色质修饰平衡,抑制PRC2复合体活性,导致异常基因表达和肿瘤发生。

3. **文献名称**:*Histone H3.3 beyond cancer: Germ cell development and genomic imprinting*

**作者**:Goldberg AD et al.

**摘要**:综述总结了H3.3在生殖细胞发育和印记基因调控中的功能,强调通过特异性抗体定位发现H3.3在精子发生和卵母细胞中富集,参与染色质重塑和表观遗传记忆传递。

4. **文献名称**:*H3.3 regulates mitotic progression and chromatin segregation in a DNA repair-independent manner*

**作者**:Udugama M et al.

**摘要**:通过H3.3抗体结合活细胞成像技术,证明H3.3在有丝分裂期被快速整合到着丝粒区域,其缺失导致染色体分离错误和微核形成,揭示了H3.3在细胞分裂中的独立于DNA修复的新功能。

---

以上文献可通过PubMed或期刊官网检索原文。如需具体DOI或补充信息,可进一步说明。

背景信息

Histone H3.3 is a replication-independent variant of the histone H3 family, encoded by the H3F3A and H3F3B genes. Unlike canonical H3.1 and H3.2. which are incorporated into chromatin during DNA replication, H3.3 is deposited throughout the cell cycle, particularly at transcriptionally active regions, regulatory elements (e.g., promoters, enhancers), and heterochromatic sites like pericentromeres and telomeres. This dynamic incorporation is mediated by chaperones such as HIRA and DAXX/ATRX, enabling H3.3 to play critical roles in epigenetic regulation, genome stability, and cellular differentiation.

Antibodies targeting Histone H3.3 are essential tools for studying its spatial and temporal distribution, post-translational modifications (e.g., acetylation, methylation), and functional roles in chromatin remodeling. These antibodies enable techniques like chromatin immunoprecipitation (ChIP-seq), immunofluorescence, and Western blotting to investigate H3.3's association with active transcription, DNA repair, and cellular reprogramming. Specificity is crucial, as H3.3 differs from other H3 variants by only a few amino acids (e.g., residues 31. 87. 89–90).

Mutations in H3.3. particularly at lysine 27 (K27M) and glycine 34 (G34R/V), are linked to pediatric gliomas and other cancers, driving aberrant epigenetic states. H3.3 antibodies also aid in studying these oncogenic variants, their impact on chromatin structure, and therapeutic targeting. Research using these antibodies has advanced understanding of developmental processes, aging, and diseases tied to epigenetic dysregulation.

客户数据及评论

折叠内容

大包装询价

×