首页 / 产品 / 抗体 / 一抗

Rabbit Polyclonal ATG7 Antibody

  • 中文名: ATG7抗体
  • 别    名: hAGP7; Ubiquitin-activating enzyme E1-like protein; APG7L
货号: IPDX22826
Price: ¥1180
数量:
大包装询价

验证与应用

应用及物种
WB 1/500-1/1000 Human,Mouse,Rat
IF 1/20 Human,Mouse,Rat
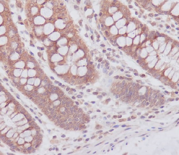
IHC 1/50-1/100 Human,Mouse,Rat
ICC 1/50-1/200 Human,Mouse,Rat
FCM 1/50-1/100 Human,Mouse,Rat
Elisa 咨询技术 Human,Mouse,Rat

产品详情

AliaseshAGP7; Ubiquitin-activating enzyme E1-like protein; APG7L
Entrez GeneID10533
WB Predicted band sizeCalculated MW: 78 kDa; Observed MW: 78 kDa
Host/IsotypeRabbit IgG
Antibody TypePrimary antibody
StorageStore at 4°C short term. Aliquot and store at -20°C long term. Avoid freeze/thaw cycles.
Species ReactivityHuman
ImmunogenA synthesized peptide derived from human ATG7
FormulationPurified antibody in PBS with 0.05% sodium azide.

+ +

参考文献

以下是关于ATG7抗体的3篇参考文献及其摘要概述:

---

1. **文献名称**:*"The role of Atg7-dependent autophagy in lifespan extension in Drosophila"*

**作者**:Kuma, A. et al.

**摘要**:研究通过Atg7敲除模型,证明ATG7依赖的自噬对果蝇寿命延长至关重要,抑制ATG7导致自噬缺陷及加速衰老表型。

---

2. **文献名称**:*"Autophagy inhibition suppresses tumorigenesis through ATG7-mediated p53 stabilization"*

**作者**:Yoshii, S.R. & Mizushima, N.

**摘要**:揭示ATG7缺失通过抑制自噬导致p53蛋白积累,抑制肿瘤生长,为癌症治疗中ATG7抗体的应用提供机制依据。

---

3. **文献名称**:*"ATG7 is essential for neuronal homeostasis and regulates Tau pathology in Alzheimer’s models"*

**作者**:Jiang, P. et al.

**摘要**:在小鼠阿尔茨海默病模型中,ATG7缺失加剧Tau蛋白聚集及神经退行性病变,表明ATG7介导的自噬对清除毒性蛋白至关重要。

---

如需更多文献或扩展领域(如炎症、代谢疾病),可进一步补充。

背景信息

ATG7 is a critical enzyme in autophagy, a cellular degradation process that maintains homeostasis by recycling damaged organelles and proteins. As an E1-like ubiquitin-activating enzyme, ATG7 facilitates the conjugation of two ubiquitin-like systems: LC3 (microtubule-associated protein 1A/1B-light chain 3) to phosphatidylethanolamine and ATG12 to ATG5. These steps are essential for autophagosome formation, enabling cargo sequestration and lysosomal degradation.

ATG7 antibodies are widely used to study autophagy mechanisms in diseases such as cancer, neurodegenerative disorders (e.g., Alzheimer’s, Parkinson’s), and metabolic syndromes. Researchers employ these antibodies in techniques like Western blotting, immunofluorescence, and immunohistochemistry to detect ATG7 expression levels, localization, and interactions. Knockout or reduced ATG7 expression is linked to impaired autophagy, accumulation of protein aggregates, and increased cellular stress, highlighting its role in cell survival and disease pathogenesis.

Commercial ATG7 antibodies are typically raised against specific epitopes of human or murine ATG7. with validation in multiple applications. Their specificity and sensitivity make them vital tools for elucidating autophagy-related pathways and developing therapeutic strategies targeting autophagy dysregulation.

客户数据及评论

折叠内容

大包装询价

×