首页 / 产品 / 抗体 / 一抗

Rabbit Polyclonal NOX2 Antibody

  • 中文名: NOX2抗体
  • 别    名: CYBB; NOX2; Cytochrome b-245 heavy chain; CGD91-phox; Cytochrome b(558) subunit beta; Cytochrome b558 subunit beta; Heme-binding membrane glycoprotein gp91phox; NADPH oxidase 2Neutrophil cytochrome b 91 kDa polypeptide; Superoxide-generating NADPH oxidase
货号: IPDX23222
Price: ¥1180
数量:
大包装询价

验证与应用

应用及物种
WB 咨询技术 Human,Mouse,Rat
IF 咨询技术 Human,Mouse,Rat
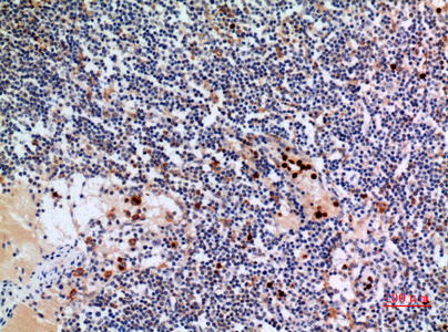
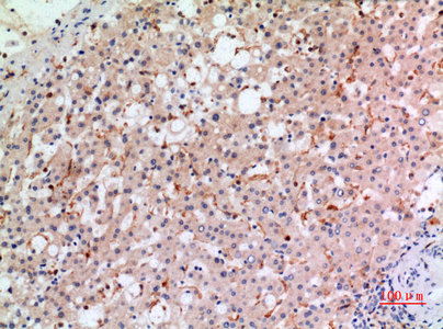
IHC 1/50-1/100 Human,Mouse,Rat
ICC 技术咨询 Human,Mouse,Rat
FCM 咨询技术 Human,Mouse,Rat
Elisa 1/10000 Human,Mouse,Rat

产品详情

AliasesCYBB; NOX2; Cytochrome b-245 heavy chain; CGD91-phox; Cytochrome b(558) subunit beta; Cytochrome b558 subunit beta; Heme-binding membrane glycoprotein gp91phox; NADPH oxidase 2Neutrophil cytochrome b 91 kDa polypeptide; Superoxide-generating NADPH oxidase heavy chain subunit; gp91-1; gp91-phox; p22 phagocyte B-cytochrome
Entrez GeneID1536
WB Predicted band sizeCalculated MW: 65 kDa; Observed MW: 70 kDa
Host/IsotypeRabbit IgG
Antibody TypePrimary antibody
StorageStore at 4°C short term. Aliquot and store at -20°C long term. Avoid freeze/thaw cycles.
Species ReactivityHuman
ImmunogenThe antiserum was produced against synthesized peptide derived from the Internal region of human CYBB. AA range:111-160
FormulationPurified antibody in PBS with 0.05% sodium azide,0.5%BSA and 50% glycerol.

+ +

参考文献

以下是3篇关于NOX2抗体的参考文献,涵盖其在不同疾病模型中的作用机制研究:

---

1. **文献名称**: *"NADPH oxidase 2 (NOX2) mediates antibody-dependent cellular phagocytosis via generation of reactive oxygen species"*

**作者**: El-Benna J. et al.

**摘要**: 研究证明NOX2抗体通过识别吞噬细胞膜上的NOX2复合物,揭示了其在抗体依赖性细胞吞噬(ADCP)中的作用。实验发现NOX2生成的活性氧(ROS)是吞噬功能的关键介质,为免疫治疗机制提供了新见解。

---

2. **文献名称**: *"Role of NOX2-derived reactive oxygen species in chronic inflammation and atherosclerosis"*

**作者**: Drummond G.R. & Sobey C.G.

**摘要**: 通过NOX2特异性抗体检测发现,NOX2在小鼠动脉粥样硬化模型中高表达,其产生的ROS促进血管炎症和斑块形成。研究支持NOX2作为心血管疾病的潜在治疗靶点。

---

3. **文献名称**: *"NOX2 antibody inhibits microglial activation and neuroinflammation in Alzheimer's disease models"*

**作者**: Wilkinson B.L. et al.

**摘要**: 使用NOX2抗体阻断小胶质细胞中的NOX2活性后,阿尔茨海默病模型中的神经炎症和氧化应激显著降低,表明NOX2抗体在神经退行性疾病中的治疗潜力。

---

这些研究展示了NOX2抗体在免疫反应、心血管及神经系统疾病中的关键作用,聚焦ROS生成与病理机制的关联。如需具体期刊信息或年份,可进一步补充。

背景信息

**Background of NOX2 Antibody**

NADPH oxidase 2 (NOX2), also known as cytochrome b-245 heavy chain, is a critical enzyme in the NADPH oxidase family responsible for generating reactive oxygen species (ROS). It is primarily expressed in phagocytes (e.g., neutrophils, macrophages) and plays a pivotal role in host defense by producing superoxide radicals to kill pathogens. Structurally, NOX2 forms a membrane-bound heterodimer with p22phox, requiring assembly with cytosolic regulators (p47phox, p67phox, p40phox, and Rac GTPase) for activation. Dysregulation of NOX2 is linked to chronic granulomatous disease (CGD), a genetic disorder characterized by impaired microbial killing, as well as inflammatory and autoimmune conditions.

NOX2 antibodies are essential tools for studying the enzyme’s expression, localization, and activation mechanisms. They are widely used in techniques like Western blotting, immunofluorescence, and flow cytometry to investigate NOX2’s role in physiological and pathological processes, including inflammation, neurodegeneration, cardiovascular diseases, and cancer. These antibodies often target specific epitopes, such as the extracellular domain of gp91phox (the catalytic subunit of NOX2) or regulatory subunits. Researchers also utilize NOX2 inhibitors and knockout models alongside antibodies to dissect ROS-mediated signaling pathways. Given the dual role of ROS as both signaling molecules and drivers of oxidative damage, NOX2 antibodies are vital for exploring its therapeutic potential as a drug target. Validation of antibody specificity remains crucial to ensure accurate detection in complex biological systems.

客户数据及评论

折叠内容

大包装询价

×