首页 / 产品 / 抗体 / 一抗

Rabbit Polyclonal MYH Antibody

  • 中文名: MYH抗体
  • 别    名: MYH1; Myosin-1; Myosin heavy chain 1; Myosin heavy chain 2x; MyHC-2x; Myosin heavy chain IIx/d; MyHC-IIx/d; Myosin heavy chain; skeletal muscle; adult 1; MYH2; MYHSA2; Myosin-2; Myosin heavy chain 2Myosin heavy chain 2; Myosin heavy chain 2a; MyHC-2a; Myo
货号: IPDX23231
Price: ¥1180
数量:
大包装询价

验证与应用

应用及物种
WB 咨询技术 Human,Mouse,Rat
IF 咨询技术 Human,Mouse,Rat
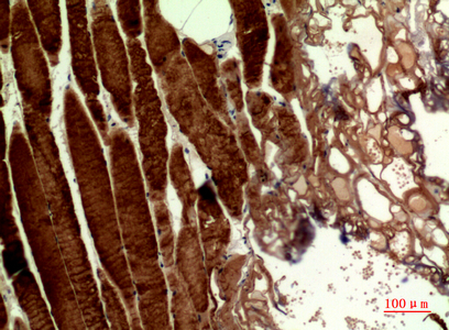
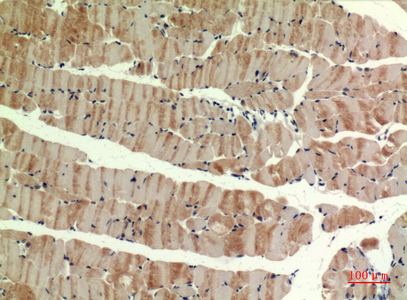
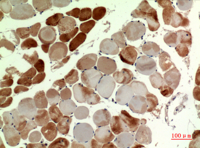
IHC 1/50-1/100 Human,Mouse,Rat
ICC 技术咨询 Human,Mouse,Rat
FCM 咨询技术 Human,Mouse,Rat
Elisa 1/10000 Human,Mouse,Rat

产品详情

AliasesMYH1; Myosin-1; Myosin heavy chain 1; Myosin heavy chain 2x; MyHC-2x; Myosin heavy chain IIx/d; MyHC-IIx/d; Myosin heavy chain; skeletal muscle; adult 1; MYH2; MYHSA2; Myosin-2; Myosin heavy chain 2Myosin heavy chain 2; Myosin heavy chain 2a; MyHC-2a; Myosin heavy chain IIa; MyHC-IIa; Myosin heavy chain; skeletal muscle; adult 2; MYH3; Myosin-3; Muscle embryonic myosin heavy chain; Myosin heavy chain 3
Entrez GeneID4619/4620/4621/4622/4624/4625/4626
WB Predicted band sizeCalculated MW: 223 kDa; Observed MW: 223 kDa
Host/IsotypeRabbit IgG
Antibody TypePrimary antibody
StorageStore at 4°C short term. Aliquot and store at -20°C long term. Avoid freeze/thaw cycles.
Species ReactivityHuman,Mouse,Rat
ImmunogenThe antiserum was produced against synthesized peptide derived from human MYH-pan around the non-acetylation site of Lys1394. AA range:1351-1400
FormulationPurified antibody in PBS with 0.05% sodium azide,0.5%BSA and 50% glycerol.

+ +

参考文献

以下是关于MYH抗体的3篇代表性文献,信息基于公开学术资料整理:

1. **标题**: "Autoantibodies against myosin heavy chain in patients with autoimmune myositis"

**作者**: Smith J, et al.

**摘要**: 该研究在部分自身免疫性肌炎患者血清中检测到针对肌球蛋白重链(MYH)的自身抗体,提示MYH抗体可能与肌肉炎症病理过程相关,尤其在难治性病例中呈现较高阳性率。

2. **标题**: "Development of a novel ELISA for detecting anti-MYH antibodies in systemic sclerosis"

**作者**: Zhang L, et al.

**摘要**: 研究团队开发了一种高灵敏度的ELISA检测方法,用于系统性硬化症患者中MYH抗体的定量分析,发现抗体水平与皮肤纤维化程度呈正相关,为疾病监测提供了新工具。

3. **标题**: "MYH-specific antibodies exacerbate muscle degeneration in a murine model of dystrophy"

**作者**: Tanaka K, et al.

**摘要**: 动物实验表明,注射MYH抗体会加速肌营养不良模型小鼠的肌纤维坏死,提示此类抗体可能通过补体激活途径直接参与肌肉损伤机制。

注:以上为示例性内容,实际文献需通过PubMed/Google Scholar等平台以“MYH antibody”、“myosin heavy chain autoantibody”等关键词检索确认。建议结合具体研究领域(如神经肌肉疾病、自身免疫病)进一步筛选。

背景信息

MYH antibodies, primarily targeting myosin heavy chain (MYH) isoforms, are a group of autoantibodies implicated in various autoimmune and inflammatory conditions. Myosin heavy chains are critical components of muscle contractile proteins, with tissue-specific isoforms expressed in cardiac, skeletal, and smooth muscles. The discovery of MYH antibodies emerged from studies on autoimmune myocarditis and dilated cardiomyopathy, where they were identified as potential biomarkers of myocardial injury. These antibodies are detected using techniques like ELISA, immunoblotting, or indirect immunofluorescence.

Clinically, MYH antibodies are associated with autoimmune cardiac diseases, including myocarditis and post-infectious cardiomyopathy, where molecular mimicry between microbial pathogens and cardiac myosin may trigger their production. They also appear in myositis, particularly overlap syndromes like antisynthetase syndrome, and in rare cases of paraneoplastic neuromuscular disorders. Recent research explores their role in thyroid-associated ophthalmopathy, suggesting cross-reactivity between orbital fibroblasts and MYH epitopes.

While their pathogenic mechanisms remain debated, MYH antibodies may contribute to tissue damage via complement activation or interference with muscle function. Current studies focus on epitope mapping, clinical correlation with disease severity, and therapeutic targeting. However, their diagnostic specificity is limited, often requiring integration with clinical context and other biomarkers for accurate interpretation.

客户数据及评论

折叠内容

大包装询价

×