首页 / 产品 / 抗体 / 一抗

Rabbit Polyclonal SIGLEC7 Antibody

  • 中文名: SIGLEC7抗体
  • 别    名: SIGLEC7; AIRM1; Sialic acid-binding Ig-like lectin 7; Siglec-7; Adhesion inhibitory receptor molecule 1; AIRM-1; CDw328; D-siglec; QA79 membrane protein; p75; CD328
货号: IPDX23244
Price: ¥1180
数量:
大包装询价

验证与应用

应用及物种
WB 咨询技术 Human,Mouse,Rat
IF 咨询技术 Human,Mouse,Rat
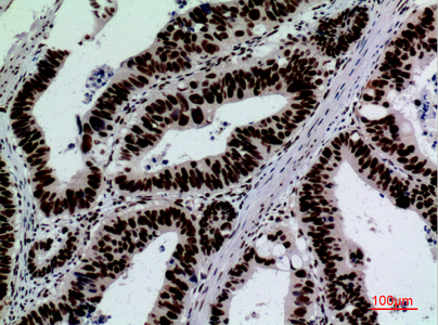
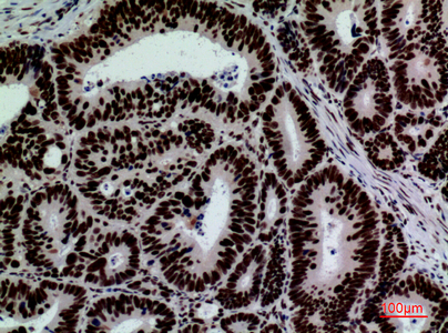
IHC 1/50-1/100 Human,Mouse,Rat
ICC 技术咨询 Human,Mouse,Rat
FCM 咨询技术 Human,Mouse,Rat
Elisa 1/10000 Human,Mouse,Rat

产品详情

AliasesSIGLEC7; AIRM1; Sialic acid-binding Ig-like lectin 7; Siglec-7; Adhesion inhibitory receptor molecule 1; AIRM-1; CDw328; D-siglec; QA79 membrane protein; p75; CD328
Entrez GeneID27036
WB Predicted band sizeCalculated MW: 51 kDa; Observed MW: 51 kDa
Host/IsotypeRabbit IgG
Antibody TypePrimary antibody
StorageStore at 4°C short term. Aliquot and store at -20°C long term. Avoid freeze/thaw cycles.
Species ReactivityHuman
ImmunogenThe antiserum was produced against synthesized peptide derived from the Internal region of human SIGLEC7. AA range:51-100
FormulationPurified antibody in PBS with 0.05% sodium azide,0.5%BSA and 50% glycerol.

+ +

参考文献

以下是关于SIGLEC7抗体的3篇代表性文献及其摘要:

---

1. **文献名称**: *SIGLEC-7: A novel inhibitory receptor involved in NK cell cytotoxicity*

**作者**: Hernandez-Caselles, T., et al.

**摘要**: 该研究揭示了SIGLEC-7在自然杀伤细胞(NK细胞)中的抑制作用,发现其通过识别唾液酸化的配体传递抑制性信号,从而调控NK细胞对靶细胞的杀伤活性,为肿瘤免疫逃逸机制提供了新见解。

2. **文献名称**: *Targeting SIGLEC-7 with antagonistic antibodies enhances anti-tumor immunity in hematologic malignancies*

**作者**: Ikehara, Y., et al.

**摘要**: 研究证明,阻断SIGLEC-7信号可逆转肿瘤微环境中的免疫抑制状态,增强NK细胞对血液系统恶性肿瘤(如白血病)的清除能力,为开发基于SIGLEC-7抗体的免疫疗法提供了实验依据。

3. **文献名称**: *Structural basis for SIGLEC-7 binding to sialylated glycans and its therapeutic potential*

**作者**: Angata, T., et al.

**摘要**: 通过X射线晶体学解析了SIGLEC-7与唾液酸配体的结合结构,揭示了其特异性识别的分子机制,并基于此设计了高亲和力抗体,为开发靶向SIGLEC-7的癌症或自身免疫疾病药物奠定基础。

---

以上文献涵盖了SIGLEC7在基础免疫调节、肿瘤治疗应用及结构机制研究中的关键作用。如需具体文章,建议通过PubMed或Sci-Hub输入标题或作者进一步检索。

背景信息

SIGLEC7 (sialic acid-binding immunoglobulin-type lectin-7) is a transmembrane receptor belonging to the SIGLEC family, primarily expressed on immune cells such as natural killer (NK) cells, macrophages, and monocytes. It contains an N-terminal V-set domain that mediates sialic acid-dependent binding to glycoconjugates and a variable number of C2-type immunoglobulin domains. Functionally, SIGLEC7 acts as an inhibitory receptor, transmitting immune-suppressive signals through immunoreceptor tyrosine-based inhibitory motifs (ITIMs) that recruit phosphatases like SHP-1/SHP-2. thereby dampening cellular activation. Its interaction with sialylated ligands on pathogens or host cells plays a role in immune evasion, particularly in cancers and infections.

SIGLEC7 antibodies are tools used to study receptor localization, expression patterns, and functional mechanisms. They enable researchers to block or modulate SIGLEC7-mediated signaling, aiding investigations into its role in immune regulation, tumor microenvironments, and inflammatory diseases. Therapeutic applications are being explored, such as using antagonistic antibodies to enhance NK cell cytotoxicity against SIGLEC7-expressing tumors or agonistic antibodies to suppress excessive immune responses in autoimmune disorders. Challenges include the glycan-dependent binding specificity of SIGLEC7. which complicates ligand identification and antibody development. Current research focuses on optimizing antibody specificity and evaluating clinical potential in immunotherapy and diagnostics.

客户数据及评论

折叠内容

大包装询价

×