首页 / 产品 / 抗体 / 一抗

Rabbit Polyclonal CMTM8 Antibody

  • 中文名: CMTM8抗体
  • 别    名: CMTM8; CKLFSF8; CKLF-like MARVEL transmembrane domain-containing protein 8; Chemokine-like factor superfamily member 8
货号: IPDX23260
Price: ¥1180
数量:
大包装询价

验证与应用

应用及物种
WB 咨询技术 Human,Mouse,Rat
IF 咨询技术 Human,Mouse,Rat
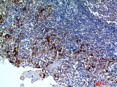
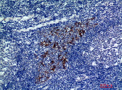
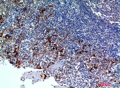
IHC 1/50-1/100 Human,Mouse,Rat
ICC 技术咨询 Human,Mouse,Rat
FCM 咨询技术 Human,Mouse,Rat
Elisa 1/10000 Human,Mouse,Rat

产品详情

AliasesCMTM8; CKLFSF8; CKLF-like MARVEL transmembrane domain-containing protein 8; Chemokine-like factor superfamily member 8
Entrez GeneID152189
WB Predicted band sizeCalculated MW: 20 kDa; Observed MW: 20 kDa
Host/IsotypeRabbit IgG
Antibody TypePrimary antibody
StorageStore at 4°C short term. Aliquot and store at -20°C long term. Avoid freeze/thaw cycles.
Species ReactivityHuman
ImmunogenThe antiserum was produced against synthesized peptide derived from the Internal region of human CMTM8. AA range:101-150
FormulationPurified antibody in PBS with 0.05% sodium azide,0.5%BSA and 50% glycerol.

+ +

参考文献

1. **文献名称**:CMTM8 inhibits cancer metastasis and induces epithelial-mesenchymal transition via Wnt/β-catenin signaling

**作者**:Li Y, et al.

**摘要**:该研究利用CMTM8特异性抗体证实其在多种癌细胞系中的表达下调,并通过调控Wnt/β-catenin通路抑制肿瘤转移,同时促进上皮-间质转化(EMT)的逆转。

2. **文献名称**:CMTM8 is a subunit of the ILT4 receptor complex and regulates tumor-associated immunosuppression

**作者**:Wang L, et al.

**摘要**:研究通过免疫共沉淀(使用CMTM8抗体)发现CMTM8与免疫抑制受体ILT4结合,介导肿瘤微环境中T细胞功能抑制,提示其作为免疫治疗潜在靶点。

3. **文献名称**:Loss of CMTM8 drives EGFR-TKI resistance in lung cancer by activating PI3K/AKT signaling

**作者**:Zhang H, et al.

**摘要**:通过免疫组化(CMTM8抗体)分析肺癌样本,发现CMTM8低表达与EGFR-TKI耐药相关,机制涉及PI3K/AKT通路异常激活,靶向CMTM8可逆转耐药性。

4. **文献名称**:CMTM8 interacts with PD-L1 and regulates its stability via ubiquitination in gastric cancer

**作者**:Chen X, et al.

**摘要**:研究利用CMTM8抗体进行Western blot和免疫荧光实验,揭示CMTM8与PD-L1结合并通过泛素化降解调控其稳定性,影响肿瘤免疫逃逸和患者预后。

背景信息

CMTM8 (CKLF-like MARVEL transmembrane domain-containing protein 8) is a member of the chemokine-like factor (CKLF) superfamily, characterized by a conserved MARVEL domain implicated in membrane association and protein interactions. It plays roles in cellular processes such as receptor trafficking, signal transduction, and immune regulation. CMTM8 is notably involved in downregulating epidermal growth factor receptor (EGFR) by promoting its endocytosis and lysosomal degradation, thereby modulating cell proliferation, migration, and tumor suppression. Dysregulation of CMTM8 has been linked to cancer progression, with reduced expression observed in malignancies like non-small cell lung cancer and gastric cancer, correlating with poor prognosis.

Antibodies targeting CMTM8 are essential tools for studying its expression, localization, and functional mechanisms. They are widely used in techniques such as Western blotting, immunohistochemistry, and immunofluorescence to investigate CMTM8's tissue distribution, interaction partners, and regulatory pathways. Research utilizing CMTM8 antibodies has highlighted its tumor-suppressive potential, including its ability to inhibit PI3K-AKT and ERK signaling cascades. These antibodies also aid in exploring therapeutic strategies, such as restoring CMTM8 expression to counteract EGFR-driven oncogenesis. As a biomarker, CMTM8 expression levels assessed via specific antibodies may hold diagnostic or prognostic value in cancer management.

客户数据及评论

折叠内容

大包装询价

×