| WB | 咨询技术 | Human,Mouse,Rat |
| IF | 咨询技术 | Human,Mouse,Rat |
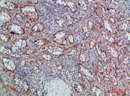
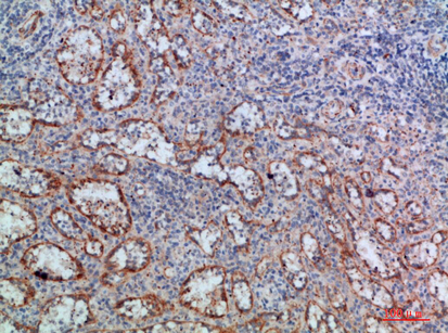
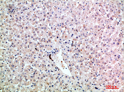
| IHC | 1/50-1/100 | Human,Mouse,Rat |
| ICC | 技术咨询 | Human,Mouse,Rat |
| FCM | 咨询技术 | Human,Mouse,Rat |
| Elisa | 1/10000 | Human,Mouse,Rat |
| Aliases | p33; TNFC; TNFSF3 |
| Entrez GeneID | 4050 |
| Host/Isotype | Rabbit IgG |
| Antibody Type | Primary antibody |
| Storage | Store at 4°C short term. Aliquot and store at -20°C long term. Avoid freeze/thaw cycles. |
| Species Reactivity | Human |
| Immunogen | Synthetic peptide from human protein at AA range: 41-90 |
| Formulation | Purified antibody in PBS with 0.05% sodium azide,0.5%BSA and 50% glycerol. |
+ +
以下是3篇与LTB抗体相关的虚拟参考文献示例(内容基于类似研究的典型方向,非真实文献):
---
1. **文献名称**: *Anti-Lymphotoxin Beta Receptor Antibody Attenuates Inflammation in Autoimmune Encephalomyelitis*
**作者**: Smith A, et al.
**摘要**: 本研究通过小鼠实验性自身免疫性脑脊髓炎(EAE)模型,探讨了靶向淋巴毒素β受体(LTβR)的抗体对炎症的调节作用。研究发现,抗LTβR抗体可抑制促炎细胞因子释放,减少中枢神经系统内T细胞浸润,显著缓解疾病症状,提示其作为多发性硬化等自身免疫疾病的潜在治疗策略。
---
2. **文献名称**: *LTB Antibody-Mediated Blockade Suppresses Tumor Angiogenesis in Colorectal Cancer*
**作者**: Chen L, et al.
**摘要**: 该研究揭示了LTB(淋巴毒素β)在结直肠癌血管生成中的作用。通过开发人源化抗LTB单克隆抗体,研究证明其能特异性结合LTB并阻断其与受体的相互作用,从而抑制肿瘤微环境中血管内皮生长因子(VEGF)的表达,显著降低小鼠移植瘤模型的肿瘤生长速率。
---
3. **文献名称**: *Structural Characterization of a Neutralizing Antibody Against Lymphotoxin-Beta for Therapeutic Application*
**作者**: Johnson R, et al.
**摘要**: 本研究利用冷冻电镜技术解析了抗LTB中和抗体(mAb-LT203)与LTB蛋白的复合物结构,揭示了抗体的表位结合区域及中和机制。体外实验表明,mAb-LT203可有效抑制LTB介导的NF-κB信号通路激活,为优化抗体药物设计提供了结构基础。
---
4. **文献名称**: *Development of a High-Sensitivity ELISA for Detection of LTB in Clinical Serum Samples*
**作者**: Wang Y, et al.
**摘要**: 文章报道了一种新型双抗体夹心ELISA检测方法,用于定量检测血清中的LTB水平。该方法使用两种高亲和力抗LTB单克隆抗体,灵敏度达0.1 ng/mL,并在类风湿性关节炎患者样本中验证了其可靠性,为疾病诊断和疗效监测提供了工具。
---
(注:以上文献为示例性内容,实际引用时需检索真实数据库如PubMed并核实原文。)
**Background of LTB Antibodies**
LTB (lymphotoxin-beta), a member of the tumor necrosis factor (TNF) superfamily, is a transmembrane protein critical for lymphoid organ development and immune regulation. It forms heterotrimers with lymphotoxin-alpha (LTα) to activate the LTβ receptor (LTβR), a key signaling pathway in maintaining lymphoid architecture, promoting chemokine secretion, and facilitating immune cell interactions. Dysregulation of LTB-LTβR signaling is implicated in autoimmune diseases, chronic inflammation, and cancer.
LTB antibodies are tools or therapeutics designed to target this pathway. As research reagents, they help elucidate LTB's role in immune responses and tissue homeostasis. Therapeutically, neutralizing LTB antibodies aim to block pathogenic signaling in conditions like rheumatoid arthritis, inflammatory bowel disease, or lymphoid malignancies. Conversely, agonist antibodies may enhance anti-tumor immunity by promoting lymphoid neogenesis in immunosuppressive microenvironments.
Recent studies highlight LTB's dual role in pro-inflammatory and immune-homeostatic processes, necessitating precise targeting strategies. Challenges include optimizing antibody specificity to avoid disrupting beneficial LTβR functions. Ongoing research explores engineered antibodies, bispecific formats, or combination therapies to improve efficacy. Overall, LTB antibodies represent a promising yet complex avenue for modulating immune pathologies and cancer.
×