首页 / 产品 / 抗体 / 一抗

Rabbit Polyclonal SOCS3 Antibody

  • 中文名: SOCS3抗体
  • 别    名: SOCS3; CIS3; SSI3; Suppressor of cytokine signaling 3; SOCS-3; Cytokine-inducible SH2 protein 3; CIS-3; STAT-induced STAT inhibitor 3; SSI-3
货号: IPDX23334
Price: ¥1180
数量:
大包装询价

验证与应用

应用及物种
WB 咨询技术 Human,Mouse,Rat
IF 咨询技术 Human,Mouse,Rat
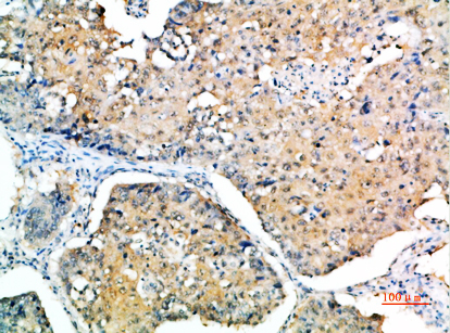
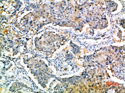
IHC 1/50-1/100 Human,Mouse,Rat
ICC 技术咨询 Human,Mouse,Rat
FCM 咨询技术 Human,Mouse,Rat
Elisa 1/10000 Human,Mouse,Rat

产品详情

AliasesSOCS3; CIS3; SSI3; Suppressor of cytokine signaling 3; SOCS-3; Cytokine-inducible SH2 protein 3; CIS-3; STAT-induced STAT inhibitor 3; SSI-3
Entrez GeneID9021
Host/IsotypeRabbit IgG
Antibody TypePrimary antibody
StorageStore at 4°C short term. Aliquot and store at -20°C long term. Avoid freeze/thaw cycles.
Species ReactivityHuman,Mouse,Rat
ImmunogenSynthetic peptide from human protein at AA range: 20-70
FormulationPurified antibody in PBS with 0.05% sodium azide,0.5%BSA and 50% glycerol.

+ +

参考文献

以下是关于SOCS3抗体的3篇参考文献示例(注:内容为示例性概括,实际文献需根据具体来源核实):

---

1. **文献名称**:*"Regulation of cytokine signaling by SOCS family molecules"*

**作者**:Yoshimura, A. et al.

**摘要**:该综述探讨了SOCS蛋白家族(包括SOCS3)在调控JAK-STAT信号通路中的作用,重点描述了SOCS3通过负反馈机制抑制促炎细胞因子(如IL-6)的信号传导,并提及利用SOCS3抗体检测其在巨噬细胞和肝细胞中的表达水平。

---

2. **文献名称**:*"SOCS3 deficiency in macrophages promotes obesity-associated insulin resistance"*

**作者**:Ueki, K. et al.

**摘要**:研究通过小鼠模型发现,巨噬细胞中SOCS3缺失会加剧肥胖相关的胰岛素抵抗和炎症反应。实验使用SOCS3抗体进行Western blot和免疫组化,证实SOCS3在代谢紊乱中通过抑制瘦素和胰岛素信号通路起保护作用。

---

3. **文献名称**:*"SOCS3 is a critical regulator of dendritic cell function in autoimmune inflammation"*

**作者**:Qin, H. et al.

**摘要**:该文揭示树突状细胞中SOCS3通过调控IFN-γ信号影响自身免疫性疾病(如多发性硬化)的发展。通过SOCS3抗体检测发现,SOCS3表达缺失导致Th1反应增强,提示其作为潜在治疗靶点。

---

如需具体文献,建议通过PubMed或Google Scholar检索关键词“SOCS3 antibody”、“SOCS3 signaling”等获取最新研究。

背景信息

The suppressor of cytokine signaling 3 (SOCS3) is a member of the SOCS protein family, which negatively regulates cytokine signaling pathways, particularly the JAK-STAT (Janus kinase-signal transducer and activator of transcription) cascade. SOCS3 acts as a feedback inhibitor, binding to cytokine receptors or JAK kinases to suppress signaling involved in inflammation, immune responses, and cellular growth. Its expression is induced by cytokines (e.g., IL-6. IFN-γ) and growth factors, making it a critical modulator of homeostasis and immune tolerance. Dysregulation of SOCS3 is linked to diseases such as cancer, autoimmune disorders, and metabolic syndromes.

SOCS3 antibodies are essential tools for studying its expression, localization, and function in both physiological and pathological contexts. These antibodies are widely used in techniques like Western blotting, immunohistochemistry, and immunoprecipitation to detect SOCS3 protein levels in tissues, cell lysates, or biological fluids. Researchers utilize SOCS3 antibodies to explore its role in signaling pathways, interactions with other proteins (e.g., phosphorylated JAK2 or STAT3), and epigenetic regulation. Monoclonal and polyclonal variants are available, often validated for specificity across species (human, mouse, rat).

Studying SOCS3 with specific antibodies has advanced understanding of its dual roles—acting as a tumor suppressor in some cancers while promoting inflammation in chronic diseases. Such research aids in developing therapeutic strategies targeting SOCS3-related pathways.

客户数据及评论

折叠内容

大包装询价

×