首页 / 产品 / 抗体 / 一抗

Rabbit Polyclonal NSE Antibody

  • 中文名: NSE抗体
  • 别    名: ENO2; Gamma-enolase; 2-phospho-D-glycerate hydro-lyase; Enolase 2; Neural enolase; Neuron-specific enolase; NSE
货号: IPDX23499
Price: ¥1180
数量:
大包装询价

验证与应用

应用及物种
WB 咨询技术 Human,Mouse,Rat
IF 咨询技术 Human,Mouse,Rat
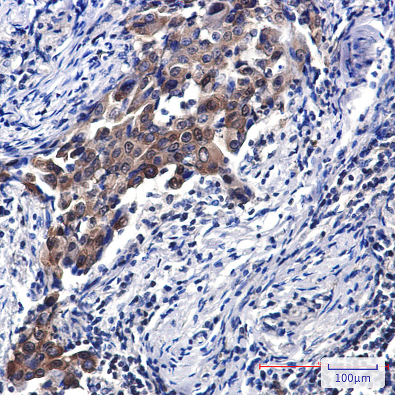
IHC 1/50-1/100 Human,Mouse,Rat
ICC 1/50-1/200 Human,Mouse,Rat
FCM 1/50-1/100 Human,Mouse,Rat
Elisa 咨询技术 Human,Mouse,Rat

产品详情

AliasesENO2; Gamma-enolase; 2-phospho-D-glycerate hydro-lyase; Enolase 2; Neural enolase; Neuron-specific enolase; NSE
Entrez GeneID2026
WB Predicted band sizeCalculated MW: 47 kDa; Observed MW: 47 kDa
Host/IsotypeRabbit IgG
Antibody TypePrimary antibody
StorageStore at 4°C short term. Aliquot and store at -20°C long term. Avoid freeze/thaw cycles.
Species ReactivityHuman,Mouse,Rat
ImmunogenA synthetic peptide of human NSE
FormulationPurified antibody in TBS with 0.05% sodium azide,0.05%BSA and 50% glycerol.

+ +

参考文献

以下是关于NSE(神经元特异性烯醇化酶)抗体的3篇参考文献及其摘要概括:

---

1. **文献名称**:*Neuron-specific enolase as a biomarker: a review of its clinical applications*

**作者**:Isgrò, M. A., Bottoni, P., & Scatena, R.

**摘要**:该综述总结了NSE作为生物标志物在多种疾病中的应用,包括小细胞肺癌、神经母细胞瘤和脑损伤的诊断与预后评估,并讨论了其检测中抗体的特异性问题及临床意义。

---

2. **文献名称**:*Development and validation of a highly sensitive ELISA for detection of neuron-specific enolase in human serum*

**作者**:Haque, A., Polcyn, R., & Matzelle, D.

**摘要**:研究开发了一种基于NSE抗体的高灵敏度ELISA检测方法,用于定量人血清中的NSE水平,验证了其在神经内分泌肿瘤诊断中的可靠性,并对比了与其他检测技术的性能差异。

---

3. **文献名称**:*Cross-reactivity of anti-NSE antibodies in non-neuronal tissues: implications for cancer diagnostics*

**作者**:Riley, K. J., & Liotta, L. A.

**摘要**:探讨了商用NSE抗体在非神经元组织(如肺、肾)中的交叉反应性,提示某些肿瘤检测可能出现假阳性结果,强调选择高特异性抗体的必要性。

---

4. **文献名称**:*NSE levels in cerebrospinal fluid predict outcomes after traumatic brain injury*

**作者**:Bohmer, A. E., et al.

**摘要**:通过检测脑脊液中的NSE水平(使用单克隆抗体技术),发现其浓度与创伤性脑损伤患者的神经功能恢复显著相关,支持NSE作为预后评估工具的价值。

---

这些文献涵盖了NSE抗体的临床应用、检测技术优化、特异性问题及预后评估,提供多角度的研究参考。

背景信息

Neuron-specific enolase (NSE) antibody is a critical tool in biomedical research and clinical diagnostics, primarily targeting the gamma subunit of the enolase enzyme, which is highly expressed in neurons and neuroendocrine cells. NSE, a glycolytic enzyme, catalyzes the conversion of 2-phosphoglycerate to phosphoenolpyruvate. Its neuron-specific isoform is predominantly found in cytoplasmic regions of central and peripheral neurons, as well as in cells of neuroendocrine origin, such as those in the adrenal medulla and pancreatic islets.

Clinically, NSE serves as a biomarker for neuroendocrine tumors, particularly small cell lung cancer (SCLC) and neuroblastoma. Elevated serum NSE levels correlate with tumor burden, progression, and treatment response. NSE antibodies enable precise detection of this protein in tissue samples (via immunohistochemistry) or blood (via immunoassays), aiding diagnosis and monitoring. Additionally, NSE is associated with neuronal damage; increased levels are observed in cerebrovascular accidents, traumatic brain injury, and neurodegenerative conditions, reflecting its release from injured neurons.

Despite its utility, NSE testing has limitations. Cross-reactivity with non-neuronal enolase isoforms may cause false positives, and hemolyzed samples can artificially elevate readings due to erythrocyte enolase. Research continues to optimize antibody specificity and explore NSE's role in non-neuroendocrine cancers and neurological disorders. As a dual-purpose biomarker in oncology and neurology, NSE antibodies remain pivotal in advancing both diagnostic accuracy and mechanistic studies of disease pathways.

客户数据及评论

折叠内容

大包装询价

×