首页 / 产品 / 抗体 / 一抗

Rabbit Polyclonal Synapsin1 Antibody

  • 中文名: Synapsin 1抗体
  • 别    名: SYN1; Synapsin-1; Brain protein 4.1; Synapsin I
货号: IPDX23589
Price: ¥1180
数量:
大包装询价

验证与应用

应用及物种
WB 咨询技术 Human,Mouse,Rat
IF 咨询技术 Human,Mouse,Rat
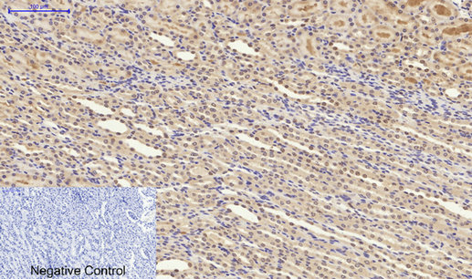
IHC 1/50-1/100 Human,Mouse,Rat
ICC 1/50-1/200 Human,Mouse,Rat
FCM 咨询技术 Human,Mouse,Rat
Elisa 1/10000 Human,Mouse,Rat

产品详情

AliasesSYN1; Synapsin-1; Brain protein 4.1; Synapsin I
Entrez GeneID6853
WB Predicted band sizeCalculated MW: 74 kDa; Observed MW: 74 kDa
Host/IsotypeRabbit IgG
Antibody TypePrimary antibody
StorageStore at 4°C short term. Aliquot and store at -20°C long term. Avoid freeze/thaw cycles.
Species ReactivityHuman,Mouse,Rat
ImmunogenThe antiserum was produced against synthesized peptide derived from human Synapsin. AA range:3-52
FormulationPurified antibody in PBS with 0.05% sodium azide,0.5%BSA and 50% glycerol.

+ +

参考文献

以下是3篇与 **Synapsin 1抗体** 相关的文献摘要信息:

---

1. **文献名称**:*Synapsin I: a major synaptic phosphoprotein regulating neurotransmitter release*

**作者**:P. Greengard 等

**摘要**:该研究阐明了Synapsin 1在突触囊泡调控中的作用,表明其通过磷酸化调节神经递质释放。文中使用特异性抗体验证了Synapsin 1在神经元中的定位及其与囊泡的相互作用。

---

2. **文献名称**:*Differential expression of synapsin I and II in rodent and primate brains*

**作者**:H. H. Bähler 等

**摘要**:通过免疫组织化学和Western blot技术,利用Synapsin 1抗体比较了啮齿类与灵长类动物脑中Synapsin的分布差异,揭示其在不同物种中的表达特异性及功能保守性。

---

3. **文献名称**:*Synapsin 1 depletion reduces resilience to epileptic seizures*

**作者**:M. Ketzef 等

**摘要**:研究通过敲除小鼠模型结合Synapsin 1抗体检测,发现Synapsin 1缺失会降低突触囊泡储备,增加癫痫易感性,提示其在维持突触稳态中的关键作用。

---

4. **文献名称**:*Validation of commercial antibodies for selective protein labeling in synaptic studies*

**作者**:L. M. O’Connor 等

**摘要**:系统评估了多种Synapsin 1抗体的特异性(包括Sigma、Abcam等品牌),通过免疫荧光和质谱分析确认其在不同实验条件(如固定、冷冻切片)下的可靠性。

---

以上文献覆盖了Synapsin 1的分子机制、物种差异、病理关联及抗体验证等方面,适用于神经科学实验设计与方法参考。

背景信息

Synapsin 1 is a neuron-specific phosphoprotein primarily associated with synaptic vesicles in presynaptic terminals. It belongs to the synapsin family (Synapsin I, II, III) and plays a critical role in regulating neurotransmitter release and synaptic plasticity by tethering synaptic vesicles to the cytoskeleton. Encoded by the SYN1 gene, Synapsin 1 undergoes activity-dependent phosphorylation, modulating its interaction with vesicles and cytoskeletal components. Antibodies targeting Synapsin 1 are widely used as markers for presynaptic terminals in neuroscience research, aiding in the visualization and quantification of synaptic density in brain tissues. These antibodies are essential tools in studying synaptic development, neurodegenerative diseases (e.g., Alzheimer’s, Parkinson’s), and neurodevelopmental disorders (e.g., autism, epilepsy). Commonly generated in hosts like rabbits or mice, Synapsin 1 antibodies are validated for applications such as Western blotting, immunohistochemistry, and immunofluorescence. Specificity is confirmed via knockout controls or peptide blocking assays. Epitope regions often include conserved domains, such as the N-terminal ATP-binding site or central phosphorylation motifs. Dysregulation of Synapsin 1 has been linked to synaptic dysfunction, making its antibody a key reagent for exploring mechanisms underlying synaptic transmission, neuronal connectivity, and disease pathology. Its expression pattern also helps distinguish neuronal subpopulations and map synaptic networks in diverse experimental models.

客户数据及评论

折叠内容

大包装询价

×