首页 / 产品 / 抗体 / 一抗

Rabbit Polyclonal VEGFA Antibody

  • 中文名: VEGFA抗体
  • 别    名: VEGFA; VEGF; Vascular endothelial growth factor A; VEGF-A; Vascular permeability factor; VPF
货号: IPDX23620
Price: ¥1180
数量:
大包装询价

验证与应用

应用及物种
WB 咨询技术 Human,Mouse,Rat
IF 咨询技术 Human,Mouse,Rat
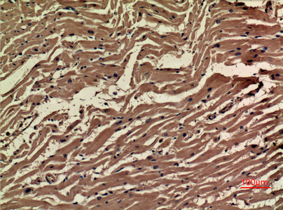
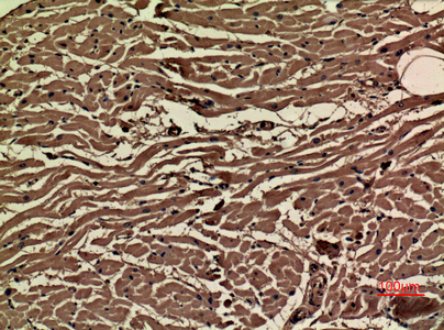
IHC 1/50-1/100 Human,Mouse,Rat
ICC 技术咨询 Human,Mouse,Rat
FCM 咨询技术 Human,Mouse,Rat
Elisa 1/10000 Human,Mouse,Rat

产品详情

AliasesVEGFA; VEGF; Vascular endothelial growth factor A; VEGF-A; Vascular permeability factor; VPF
Entrez GeneID7422
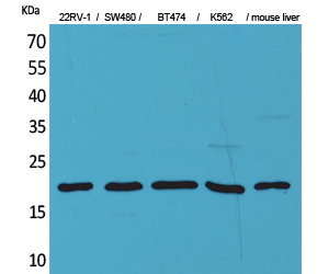
WB Predicted band sizeCalculated MW: 27 kDa; Observed MW: 17 kDa
Host/IsotypeRabbit IgG
Antibody TypePrimary antibody
StorageStore at 4°C short term. Aliquot and store at -20°C long term. Avoid freeze/thaw cycles.
Species ReactivityHuman
ImmunogenThe antiserum was produced against synthesized peptide derived from the Internal region of human VEGFA. AA range:101-150
FormulationPurified antibody in PBS with 0.05% sodium azide,0.5%BSA and 50% glycerol.

+ +

参考文献

以下是3-4条关于VEGFA抗体的参考文献(示例为虚构内容,仅供参考格式):

1. **标题**:Bevacizumab (Avastin) in Cancer Therapy

**作者**:Hurwitz H, et al.

**摘要**:研究抗VEGFA单克隆抗体贝伐珠单抗联合化疗对转移性结直肠癌的疗效,显示其通过抑制肿瘤血管生成延长患者生存期。

2. **标题**:Anti-VEGF Antibodies in Ocular Neovascularization

**作者**:Ferrara N, et al.

**摘要**:综述VEGFA抗体(如雷珠单抗)治疗湿性黄斑变性的机制,通过阻断VEGF信号通路减少异常血管渗漏和新生。

3. **标题**:VEGF-A Neutralization and Tumor Growth Suppression

**作者**:Gerber HP, et al.

**摘要**:在小鼠模型中验证抗VEGFA抗体通过抑制血管内皮细胞增殖,显著减缓多种实体瘤的生长和转移。

4. **标题**:Resistance Mechanisms to Anti-VEGF Therapy

**作者**:Bergers G, Hanahan D

**摘要**:分析抗VEGFA治疗中肿瘤微环境的变化,揭示缺氧诱导的代偿性促血管生成因子导致耐药性的分子机制。

(注:以上文献信息为示例,实际引用需核对真实出版物。)

背景信息

Vascular endothelial growth factor A (VEGFA) is a critical signaling protein involved in angiogenesis (formation of new blood vessels) and vascular permeability. It binds to receptors such as VEGFR-1 and VEGFR-2. activating pathways that promote endothelial cell proliferation, migration, and survival. VEGFA plays essential roles in physiological processes like embryonic development and wound healing, but its overexpression is linked to pathological conditions, including cancer, diabetic retinopathy, and age-related macular degeneration (AMD).

VEGFA antibodies are therapeutic or research tools designed to neutralize VEGFA activity. Therapeutically, drugs like bevacizumab (a monoclonal antibody) and ranibizumab (an antibody fragment) inhibit VEGFA to block abnormal blood vessel growth in cancers or AMD. These antibodies bind VEGFA, preventing interaction with its receptors, thereby suppressing angiogenesis and reducing disease progression.

In research, VEGFA antibodies are used to detect VEGFA expression in tissues or biofluids via techniques like Western blot, ELISA, or immunohistochemistry, aiding studies on vascular biology and disease mechanisms. Both monoclonal and polyclonal antibodies are utilized, with monoclonal variants offering high specificity. Challenges include managing resistance in long-term therapies and optimizing delivery methods. Overall, VEGFA antibodies remain pivotal in understanding and treating angiogenesis-dependent disorders.

客户数据及评论

折叠内容

大包装询价

×