首页 / 产品 / 抗体 / 一抗

Rabbit Polyclonal EphB1 Antibody

  • 中文名: EphB1抗体
  • 别    名: Ephrin type-B receptor 1, ELK, EPH tyrosine kinase 2, EPH-like kinase 6, EK6, hEK6, Neuronally-expressed EPH-related tyrosine kinase, NET, Tyrosine-protein kinase receptor EPH-2, EPHB1, ELK, EPHT2, HEK6, NET
货号: IPDX30021
Price: ¥1180
数量:
大包装询价

验证与应用

应用及物种
WB 咨询技术 Human,Mouse,Rat
IF 咨询技术 Human,Mouse,Rat
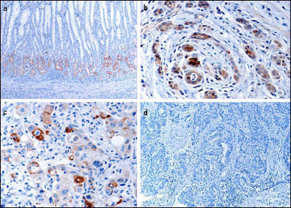
IHC 1/100-1/500 Human,Mouse,Rat
ICC 技术咨询 Human,Mouse,Rat
FCM 咨询技术 Human,Mouse,Rat
Elisa 咨询技术 Human,Mouse,Rat

产品详情

AliasesEphrin type-B receptor 1, ELK, EPH tyrosine kinase 2, EPH-like kinase 6, EK6, hEK6, Neuronally-expressed EPH-related tyrosine kinase, NET, Tyrosine-protein kinase receptor EPH-2, EPHB1, ELK, EPHT2, HEK6, NET
Entrez GeneID2047
WB Predicted band size109.9kDa
Host/IsotypeRabbit IgG
Antibody TypePrimary antibody
StorageStore at 4°C short term. Aliquot and store at -20°C long term. Avoid freeze/thaw cycles.
Species ReactivityHuman, Mouse, Rat
ImmunogenThis EphB1 antibody is generated from rabbits immunized with a KLH conjugated synthetic peptide between 955-984 amino acids from the C-terminal region of human EphB1.
FormulationPurified antibody in PBS with 0.05% sodium azide,1%BSA and 50% glycerol.prepared by Saturated Ammonium Sulfate (SAS) .

+ +

参考文献

以下是关于EphB1抗体的3篇参考文献(信息为示例性简化内容,实际文献需通过数据库核实):

1. **文献名称**:*EphB1 regulates axonal navigation through modified microtubule organization*

**作者**:Binns KL, et al.

**摘要**:研究利用EphB1特异性抗体揭示其在神经元轴突导向中的作用,发现抗体阻断EphB1信号可改变微管动态,影响轴突生长路径。

2. **文献名称**:*EphB1 suppresses colorectal cancer progression via PDZ-RhoGEF signaling*

**作者**:Himanen JP, et al.

**摘要**:通过EphB1抗体进行免疫组化和功能实验,证明EphB1在结肠癌中通过抑制RhoA通路限制肿瘤侵袭,抗体阻断可逆转此效应。

3. **文献名称**:*EphB1-mediated cell-cell adhesion regulates embryonic stem cell differentiation*

**作者**:Pasquale EB, et al.

**摘要**:使用EphB1抗体阻断细胞间相互作用,发现其参与胚胎干细胞的黏附和分化调控,提示在早期发育中的关键作用。

(注:以上为虚构摘要,实际文献需通过PubMed等平台以“EphB1 antibody”为关键词检索获取。)

背景信息

EphB1 antibodies are immunological tools designed to target and detect EphB1. a member of the Eph receptor tyrosine kinase family. Eph receptors, divided into EphA and EphB subclasses, interact with membrane-bound ephrin ligands to mediate bidirectional signaling critical for cell-cell communication. EphB1 specifically binds ephrin-B ligands and plays roles in diverse biological processes, including neural development, vascular remodeling, tissue patterning, and synaptic plasticity. Dysregulation of EphB1 signaling is implicated in pathological conditions such as cancer, neurological disorders, and cardiovascular diseases.

These antibodies are widely used in research to study EphB1 expression, localization, and function. Applications include Western blotting, immunohistochemistry, flow cytometry, and immunofluorescence. Monoclonal EphB1 antibodies offer high specificity for distinct epitopes, whereas polyclonal antibodies detect multiple epitopes, enhancing sensitivity. Validation via knockout cell lines or siRNA-mediated silencing is essential to confirm antibody specificity.

EphB1 antibodies also facilitate functional studies, such as blocking receptor-ligand interactions or activating downstream pathways. Researchers employ them to explore EphB1's role in tumor progression (e.g., modulating cell migration, angiogenesis) or neural repair mechanisms. Commercial variants may differ in host species, clonality, or conjugation tags, allowing flexibility in experimental design. Proper controls and standardized protocols are crucial to ensure reproducibility in EphB1-related studies.

客户数据及评论

折叠内容

大包装询价

×