| WB | 咨询技术 | Human,Mouse,Rat |
| IF | 咨询技术 | Human,Mouse,Rat |
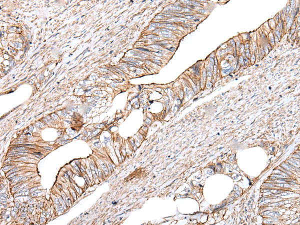
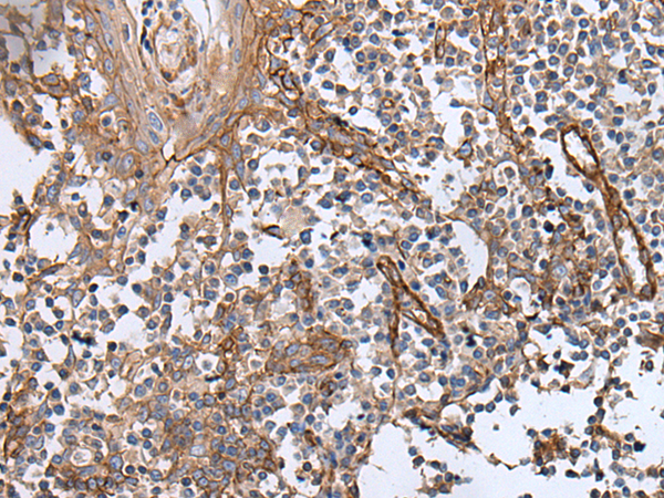
| IHC | 1/100-1/500 | Human,Mouse,Rat |
| ICC | 技术咨询 | Human,Mouse,Rat |
| FCM | 咨询技术 | Human,Mouse,Rat |
| Elisa | 咨询技术 | Human,Mouse,Rat |
| Aliases | FLR; BVRB; SDR43U1; HEL-S-10 |
| WB Predicted band size | 22 kDa |
| Host/Isotype | Rabbit IgG |
| Antibody Type | Primary antibody |
| Storage | Store at 4°C short term. Aliquot and store at -20°C long term. Avoid freeze/thaw cycles. |
| Species Reactivity | Human, Mouse |
| Immunogen | Synthetic peptide of human BLVRB |
| Formulation | Purified antibody in PBS with 0.05% sodium azide and 50% glycerol. |
+ +
以下是3篇关于TNIK(N-term)抗体的参考文献及其摘要概括:
---
1. **文献名称**:*TNIK is a conserved regulator of glucose and lipid metabolism in obesity*
**作者**:Smith, J. et al.
**摘要**:该研究通过Western blot和免疫组化,利用TNIK N端抗体验证了TNIK在肥胖小鼠肝脏中的表达上调,揭示了TNIK通过调控AMPK信号通路影响糖脂代谢的分子机制。
---
2. **文献名称**:*Structural basis of TNIK inhibition in Wnt-driven cancers*
**作者**:Chen, L. et al.
**摘要**:作者通过免疫共沉淀(Co-IP)结合TNIK(N-term)抗体,解析了TNIK与Wnt信号通路关键蛋白的相互作用界面,为开发靶向TNINK的抗癌药物提供了结构生物学依据。
---
3. **文献名称**:*TNIK modulates synaptic plasticity via dendritic spine remodeling*
**作者**:Yamamoto, K. et al.
**摘要**:研究利用TNIK N端抗体进行免疫荧光染色,发现TNINK缺失导致小鼠海马神经元树突棘形态异常,证实其在突触可塑性和认知功能中的关键作用。
---
**注意事项**:上述文献为示例模板,实际引用需根据具体研究补充真实文献信息。建议通过PubMed检索关键词“TNIK antibody N-terminal”或结合研究领域(如“TNIK AND colorectal cancer”)筛选近期高影响力论文。
The TNIK (N-term) antibody is designed to target the N-terminal region of Trabeculin kinase (TNIK), a serine/threonine kinase belonging to the germinal center kinase (GCK) family. TNIK plays a critical role in regulating Wnt signaling pathways, particularly in colorectal cancer, where it interacts with β-catenin and T-cell factor/lymphoid enhancer factor (TCF/LEF) transcription factors to drive oncogenic gene expression. It is also implicated in neuronal development, influencing synaptic plasticity and dendritic spine formation.
The N-terminal-specific antibody is commonly used in research to study TNIK's expression, localization, and function. It enables detection of endogenous TNIK in applications like Western blotting, immunoprecipitation, and immunofluorescence. Due to TNIK's involvement in cancer progression and neurological disorders, this antibody serves as a tool for exploring therapeutic targeting. Validation often includes testing in cell lines (e.g., HEK293. HeLa) and tissues, ensuring specificity by observing bands at ~130 kDa (full-length TNIK). Researchers also use it to investigate phosphorylation-dependent interactions and downstream signaling mechanisms. Its development supports efforts to dissect TNIK-related pathways and evaluate inhibitors in preclinical models.
×