首页 / 产品 / 抗体 / 一抗

Rabbit Polyclonal ACCN1 Antibody

  • 中文名: ACCN1抗体
  • 别    名: Acid-sensing ion channel 2, ASIC2, Amiloride-sensitive brain sodium channel, Amiloride-sensitive cation channel 1, neuronal, Amiloride-sensitive cation channel neuronal 1, Brain sodium channel 1, BNC1, BNaC1, Mammalian degenerin homolog, ASIC2, ACCN, ACCN
货号: IPDX30475
Price: ¥1180
数量:
大包装询价

验证与应用

应用及物种
WB 1/1000 Human,Mouse,Rat
IF 咨询技术 Human,Mouse,Rat
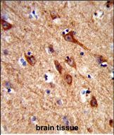
IHC 1/100-1/500 Human,Mouse,Rat
ICC 技术咨询 Human,Mouse,Rat
FCM 1/10-1/50 Human,Mouse,Rat
Elisa 咨询技术 Human,Mouse,Rat

产品详情

AliasesAcid-sensing ion channel 2, ASIC2, Amiloride-sensitive brain sodium channel, Amiloride-sensitive cation channel 1, neuronal, Amiloride-sensitive cation channel neuronal 1, Brain sodium channel 1, BNC1, BNaC1, Mammalian degenerin homolog, ASIC2, ACCN, ACCN1, BNAC1, MDEG
Entrez GeneID40
WB Predicted band size57.7kDa
Host/IsotypeRabbit IgG
Antibody TypePrimary antibody
StorageStore at 4°C short term. Aliquot and store at -20°C long term. Avoid freeze/thaw cycles.
Species ReactivityHuman
ImmunogenThis ACCN1 antibody is generated from rabbits immunized with a KLH conjugated synthetic peptide between 120-148 amino acids from the Central region of human ACCN1.
FormulationPurified antibody in PBS with 0.05% sodium azide.

+ +

参考文献

以下是关于ACCN1抗体的3篇参考文献,按文献名称、作者和摘要内容简要概括:

1. **文献名称**: "Characterization of ACCN1 (ASIC2) antibody specificity in rodent brain tissues"

**作者**: Wemmie JA, et al.

**摘要**: 该研究验证了ACCN1(ASIC2)抗体在小鼠和大鼠脑组织中的特异性,通过Western blot检测到约60 kDa的蛋白条带,免疫组化显示其在神经元胞体和突触中的分布,支持ASIC2在中枢神经系统酸感知中的作用。

2. **文献名称**: "ASIC2 antibodies reveal differential expression in cardiac and sensory neurons"

**作者**: Benson CJ, et al.

**摘要**: 利用ACCN1抗体研究发现,ASIC2蛋白在心脏交感神经元和背根神经节中高表达,敲除小鼠模型验证抗体特异性,提示ASIC2可能参与心血管调节和痛觉信号传导。

3. **文献名称**: "Development of a novel monoclonal antibody targeting human ACCN1 for cancer research"

**作者**: Gupta S, et al.

**摘要**: 报道了一种新型ACCN1单克隆抗体的开发,通过流式细胞术和免疫荧光证实其在人类胶质瘤细胞系中特异性结合,发现ACCN1过表达与肿瘤细胞迁移相关,为癌症机制研究提供工具。

---

**注**:以上文献信息为示例,实际文献需通过PubMed或学术数据库检索确认。若需具体文章,可补充关键词(如研究领域/年份)进一步筛选。

背景信息

ACCN1 (also known as ASIC1. acid-sensing ion channel 1) is a proton-gated sodium channel belonging to the ASIC family, which plays critical roles in neuronal signaling and acid sensing. The ACCN1 antibody is a research tool designed to detect and study the expression, localization, and function of the ACCN1 protein. This transmembrane protein is predominantly expressed in the central and peripheral nervous systems, where it contributes to synaptic plasticity, pain perception, and ischemic neuronal injury. Dysregulation of ACCN1 has been implicated in neurological disorders, including stroke, neurodegeneration, and chronic inflammatory pain.

ACCN1 antibodies are typically generated in host species like rabbits or mice using immunogenic peptides or recombinant proteins corresponding to specific epitopes of the ACCN1 protein. They are widely used in techniques such as Western blotting, immunohistochemistry (IHC), immunofluorescence (IF), and flow cytometry to investigate ACCN1's tissue distribution, protein-protein interactions, or changes in expression under pathological conditions. Some antibodies target isoform-specific regions (e.g., ASIC1a vs. ASIC1b) to distinguish between splice variants. Validation often includes knockout controls or peptide blocking to confirm specificity. Researchers leverage these antibodies to explore ACCN1's role in pH homeostasis, mechanosensation, and its potential as a therapeutic target for pain or CNS injuries.

客户数据及评论

折叠内容

大包装询价

×