| WB | 1/1000 | Human,Mouse,Rat | 
| IF | 咨询技术 | Human,Mouse,Rat | 
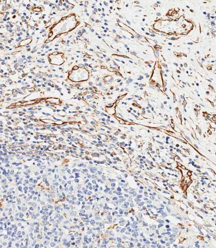
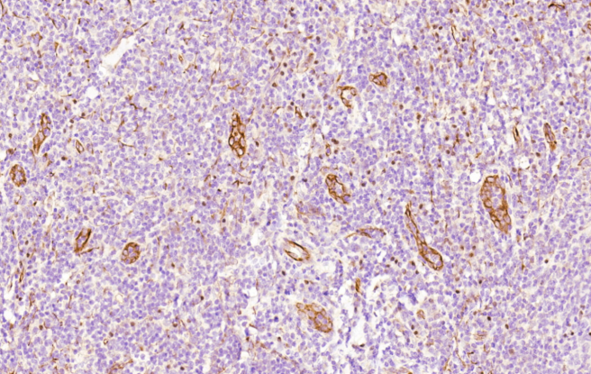
| IHC | 1/1000 | Human,Mouse,Rat | 
| ICC | 技术咨询 | Human,Mouse,Rat | 
| FCM | 咨询技术 | Human,Mouse,Rat | 
| Elisa | 咨询技术 | Human,Mouse,Rat | 
| Aliases | Hematopoietic progenitor cell antigen CD34, CD34, CD34 | 
| Entrez GeneID | 947 | 
| WB Predicted band size | 40.7kDa | 
| Host/Isotype | Mouse IgG1 | 
| Antibody Type | Primary antibody | 
| Storage | Store at 4°C short term. Aliquot and store at -20°C long term. Avoid freeze/thaw cycles. | 
| Species Reactivity | Human | 
| Immunogen | This CD34 antibody is generated from mice immunized with a KLH conjugated synthetic peptide between 185-214 amino acids from the Central region of human CD34. | 
| Formulation | Purified antibody in TBS with 0.05% sodium azide. | 
+ +
以下是3篇关于CD34抗体的经典文献概览:
---
1. **文献名称**: "Antigenic analysis of hematopoiesis. III. A hematopoietic progenitor cell surface antigen defined by a monoclonal antibody raised against KG-1a cells"
**作者**: Civin CI 等 (1984)
**摘要**: 首次描述CD34单克隆抗体的开发及其在识别人类造血祖细胞中的应用,为干细胞分选奠定基础。
---
2. **文献名称**: "Comparative Analysis of the CD34+ and CD34- Human Bone Marrow-Derived Mesenchymal Stem Cell Subsets"
**作者**: Sidney LE 等 (2014)
**摘要**: 对比CD34+与CD34-间充质干细胞的功能差异,指出抗体选择对实验结果的影响,提示需注意抗体特异性差异。
---
3. **文献名称**: "Monoclonal antibody QBEND/10 recognizes CD34 in paraffin sections"
**作者**: Nakamura Y 等 (1995)
**摘要**: 验证QBEND/10克隆的CD34抗体在石蜡切片中的有效性,证明其在血管肿瘤病理诊断中的实用价值。
---
*注:以上文献可在PubMed/Web of Science通过标题或DOI检索获取全文。需注意不同CD34抗体克隆号(如QBEND10、HPCA-1)的检测特异性差异。*
CD34 antibody targets the CD34 antigen, a cell surface glycoprotein functioning as a cell adhesion molecule involved in cell-cell interactions. Primarily expressed on hematopoietic stem/progenitor cells (HSPCs), vascular endothelial progenitor cells, and certain stromal cells, CD34 serves as a key marker for identifying and isolating these populations in research and clinical settings. Discovered in the late 1980s, CD34 antibodies are widely used in flow cytometry, immunohistochemistry, and immunomagnetic cell sorting to enrich HSPCs for bone marrow transplantation, characterize leukemia subtypes, and study vascular biology.
Structurally, CD34 belongs to the sialomucin family, with multiple epitopes recognized by different antibody clones (e.g., QBEnd/10. Class III). While its exact biological role remains unclear, CD34 is implicated in cell migration, differentiation, and modulation of hematopoietic microenvironment signaling. Clinically, CD34 expression is a diagnostic marker for vascular tumors (e.g., angiosarcoma) and gastrointestinal stromal tumors (GISTs). In regenerative medicine, CD34⁺ cells are explored for tissue repair potential.
Despite its utility, CD34’s transient expression in certain lineages and variable detection across species and tissue types necessitate careful experimental validation. Ongoing research aims to clarify its functional mechanisms and therapeutic applications.
×