首页 / 产品 / 抗体 / 一抗

Rabbit Polyclonal HNRNPC Antibody

  • 中文名: HNRNPC抗体
  • 别    名: Heterogeneous nuclear ribonucleoproteins C1/C2, hnRNP C1/C2, HNRNPC, HNRPC
货号: IPDX30837
Price: ¥1180
数量:
大包装询价

验证与应用

应用及物种
WB 1/1000 Human,Mouse,Rat
IF 咨询技术 Human,Mouse,Rat
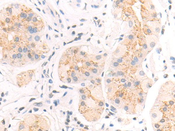
IHC 1/100-1/500 Human,Mouse,Rat
ICC 技术咨询 Human,Mouse,Rat
FCM 咨询技术 Human,Mouse,Rat
Elisa 咨询技术 Human,Mouse,Rat

产品详情

AliasesALDH5; ALDHX
Host/IsotypeRabbit IgG
Antibody TypePrimary antibody
StorageStore at 4°C short term. Aliquot and store at -20°C long term. Avoid freeze/thaw cycles.
Species ReactivityHuman
ImmunogenSynthetic peptide of human ALDH1B1
FormulationPurified antibody in PBS with 0.05% sodium azide and 50% glycerol.

+ +

客户数据及评论

折叠内容

大包装询价

×