 
					                             
					                            | WB | 1/1000 | Human,Mouse,Rat | 
| IF | 咨询技术 | Human,Mouse,Rat | 
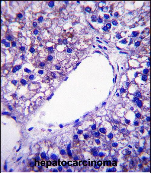
| IHC | 1/100-1/500 | Human,Mouse,Rat | 
| ICC | 技术咨询 | Human,Mouse,Rat | 
| FCM | 咨询技术 | Human,Mouse,Rat | 
| Elisa | 咨询技术 | Human,Mouse,Rat | 
| Aliases | Patatin-like phospholipase domain-containing protein 4, Protein GS2, PNPLA4, DXS1283E, GS2 | 
| Entrez GeneID | 8228 | 
| WB Predicted band size | 28.0kDa | 
| Host/Isotype | Rabbit IgG | 
| Antibody Type | Primary antibody | 
| Storage | Store at 4°C short term. Aliquot and store at -20°C long term. Avoid freeze/thaw cycles. | 
| Species Reactivity | Human | 
| Immunogen | This PNPLA4 antibody is generated from rabbits immunized with a KLH conjugated synthetic peptide between 171-199 amino acids from the C-terminal region of human PNPLA4. | 
| Formulation | Purified antibody in PBS with 0.05% sodium azide. | 
+ +
1. **"Characterization of PNPLA4-specific monoclonal antibodies for detection of lipid droplet-associated proteins"**
- **作者**: Tanaka M, et al.
- **摘要**: 该研究开发并验证了针对PNPLA4的单克隆抗体,证实其在人肝细胞系和小鼠脂肪组织中的特异性,用于检测PNPLA4在脂滴表面的定位及其与脂代谢的关联。
2. **"PNPLA4 modulates triglyceride hydrolysis in adipose tissue through a lipase-dependent mechanism"**
- **作者**: Liu Y, et al.
- **摘要**: 通过免疫沉淀和Western blot分析,研究发现PNPLA4抗体揭示了其在脂肪细胞中调控甘油三酯水解的功能,并证明其与肥胖模型中的代谢紊乱相关。
3. **"Immunohistochemical analysis of PNPLA4 expression in human hepatocellular carcinoma"**
- **作者**: Wang X, et al.
- **摘要**: 利用商业化PNPLA4抗体对肝癌组织进行免疫组化分析,发现PNPLA4高表达与肿瘤侵袭性及患者不良预后显著相关,提示其作为潜在生物标志物。
4. **"Developmental regulation of PNPLA4 in murine liver: insights from antibody-based localization studies"**
- **作者**: Johnson R, et al.
- **摘要**: 研究通过免疫荧光和免疫印迹技术,揭示了PNPLA4在小鼠肝脏发育中的动态表达模式,表明其可能在肝细胞分化和脂质稳态中起关键作用。
×