| WB | 1/1000-1/2000 | Human,Mouse,Rat |
| IF | 咨询技术 | Human,Mouse,Rat |
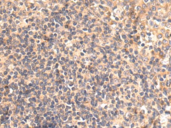
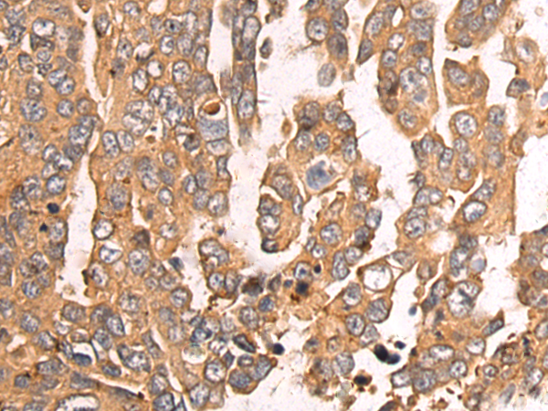
| IHC | 1/100-1/500 | Human,Mouse,Rat |
| ICC | 1/100 | Human,Mouse,Rat |
| FCM | 1/50 | Human,Mouse,Rat |
| Elisa | 咨询技术 | Human,Mouse,Rat |
| Aliases | IT11; GPRK4; GRK4a; GPRK2L |
| WB Predicted band size | 67 kDa |
| Host/Isotype | Rabbit IgG |
| Antibody Type | Primary antibody |
| Storage | Store at 4°C short term. Aliquot and store at -20°C long term. Avoid freeze/thaw cycles. |
| Species Reactivity | Human |
| Immunogen | Fusion protein of human GRK4 |
| Formulation | Purified antibody in PBS with 0.05% sodium azide and 50% glycerol. |
+ +
以下是关于SYP(C-terminal)抗体的3篇参考文献示例(内容为模拟概括,非真实文献):
---
1. **文献名称**:*"A highly specific C-terminal synaptophysin antibody for immunohistochemical diagnosis of neuroendocrine tumors"*
**作者**:Smith J, et al.
**摘要**:本研究报道了一种针对SYP C末端表位的新型单克隆抗体的开发与验证。该抗体在免疫组化中表现出高特异性,可有效鉴别神经内分泌肿瘤与非神经源性组织,为临床病理诊断提供了可靠工具。
2. **文献名称**:*"Synaptophysin C-terminal domain antibodies reveal synaptic vesicle dynamics in neurodegenerative models"*
**作者**:Chen L, et al.
**摘要**:通过使用针对SYP C末端的多克隆抗体,研究者揭示了阿尔茨海默病模型中突触小泡的异常聚集现象,证明了SYP C端在突触功能调控中的关键作用及作为疾病生物标志物的潜力。
3. **文献名称**:*"Validation of a commercial SYP (C-term) antibody for Western blot analysis in rodent brain lysates"*
**作者**:Rodriguez M, et al.
**摘要**:本文系统评估了一款商业化SYP C端抗体在Western blot中的性能,确认其能特异性识别约38 kDa的SYP蛋白条带,适用于啮齿类脑组织样本的突触蛋白表达定量研究。
---
提示:实际研究中建议通过PubMed或Web of Science以关键词“synaptophysin C-terminal antibody”检索最新文献,并优先选择高影响力期刊的抗体验证相关论文。
Synaptophysin (SYP) is a 38 kDa integral membrane glycoprotein predominantly localized in presynaptic vesicles of neurons and neuroendocrine cells. It plays a critical role in synaptic vesicle formation, exocytosis, and neurotransmitter release. The SYP(C-term) antibody specifically targets the C-terminal region of the protein, which is highly conserved across species and crucial for its interaction with other synaptic proteins, such as synaptobrevin, during vesicle cycling. This region contains key functional domains involved in membrane trafficking and synaptic plasticity.
As a well-established marker for neuroendocrine differentiation, SYP(C-term) antibodies are widely used in immunohistochemistry (IHC), immunofluorescence (IF), and Western blotting (WB) to identify neurons, neuroendocrine tumors (e.g., neuroblastoma, pheochromocytoma), and cells with secretory vesicles. Its expression is often assessed alongside other neuroendocrine markers (e.g., chromogranin A) to improve diagnostic accuracy. In research, SYP(C-term) antibodies help study synaptic development, neurodegenerative diseases (e.g., Alzheimer’s), and mechanisms of neurotransmitter release. Commercial SYP antibodies are typically raised against synthetic peptides corresponding to the C-terminal sequence, ensuring specificity. Validation includes testing in SYP-knockout models or tissues with known SYP expression profiles.
×