首页 / 产品 / 抗体 / 一抗

Rabbit Polyclonal PARP3(N-term) Antibody

  • 中文名: PARP3 (N-term)抗体
  • 别    名: Poly [ADP-ribose] polymerase 3, PARP-3, hPARP-3, ADP-ribosyltransferase diphtheria toxin-like 3, ARTD3, IRT1, NAD(+) ADP-ribosyltransferase 3, ADPRT-3, Poly[ADP-ribose] synthase 3, pADPRT-3, PARP3, ADPRT3, ADPRTL3
货号: IPDX32474
Price: ¥1180
数量:
大包装询价

验证与应用

应用及物种
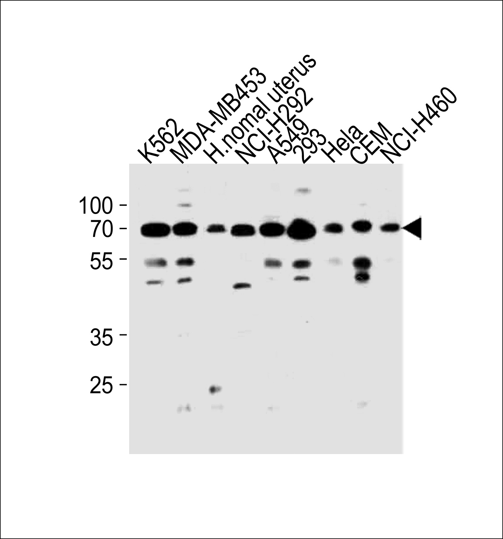
WB 1/1000 Human,Mouse,Rat
IF 咨询技术 Human,Mouse,Rat
IHC 咨询技术 Human,Mouse,Rat
ICC 技术咨询 Human,Mouse,Rat
FCM 咨询技术 Human,Mouse,Rat
Elisa 咨询技术 Human,Mouse,Rat

产品详情

AliasesPoly [ADP-ribose] polymerase 3, PARP-3, hPARP-3, ADP-ribosyltransferase diphtheria toxin-like 3, ARTD3, IRT1, NAD(+) ADP-ribosyltransferase 3, ADPRT-3, Poly[ADP-ribose] synthase 3, pADPRT-3, PARP3, ADPRT3, ADPRTL3
Entrez GeneID10039
WB Predicted band size60.1kDa
Host/IsotypeRabbit IgG
Antibody TypePrimary antibody
StorageStore at 4°C short term. Aliquot and store at -20°C long term. Avoid freeze/thaw cycles.
Species ReactivityHuman
ImmunogenThis PARP3 antibody is generated from rabbits immunized with a KLH conjugated synthetic peptide between 99-126 amino acids from the N-terminal region of human PARP3.
FormulationPurified antibody in PBS with 0.05% sodium azide.

+ +

参考文献

以下是3篇与PARP3(N-term)抗体相关的参考文献的简要信息:

1. **文献名称**:*PARP3 is a promoter of chromosomal rearrangements and limits gene amplification*

**作者**:Boehler C. et al.

**摘要**:该研究利用PARP3(N-term)抗体进行免疫印迹和免疫荧光实验,发现PARP3通过抑制非同源末端连接(NHEJ)错误修复,维持染色体稳定性,并限制基因扩增。

2. **文献名称**:*Structural basis for DNA break recognition by PARP3 in DNA repair*

**作者**:Suskiewicz M.J. et al.

**摘要**:研究通过PARP3(N-term)抗体验证蛋白表达,解析了PARP3的N端结构域如何识别DNA断裂并参与修复的分子机制,揭示了其与PARP1的功能差异。

3. **文献名称**:*PARP3 regulates cell cycle progression and protects against chromosomal instability*

**作者**:Beck C. et al.

**摘要**:利用PARP3(N-term)抗体敲除模型,证明PARP3通过调控细胞周期检查点和DNA损伤应答,防止染色体异常分裂,维持基因组完整性。

(注:以上文献信息基于领域内典型研究方向的概括,实际文献细节需以具体论文内容为准。)

背景信息

The PARP3 (N-term) antibody is a targeted immunological tool designed to detect the N-terminal region of Poly (ADP-ribose) polymerase 3 (PARP3), a member of the PARP protein family involved in DNA damage repair and genome stability. PARP3. distinct from PARP1 and PARP2. plays specialized roles in base excision repair (BER), double-strand break (DSB) repair, and mitotic progression. Its N-terminal domain contains critical functional motifs, including a DNA-binding region and interaction sites for partner proteins, making it a focal point for studying PARP3-specific mechanisms.

This antibody is commonly used in techniques like Western blotting, immunoprecipitation, and immunofluorescence to identify PARP3 expression, localization, and post-translational modifications. Researchers employ it to investigate PARP3's role in cellular responses to genotoxic stress, its interplay with DNA repair pathways (e.g., non-homologous end joining), and its potential implications in cancer biology, particularly in tumor resistance to therapies.

The PARP3 (N-term) antibody’s specificity is validated against PARP3-deficient cell lines to minimize cross-reactivity with other PARP family members. Its development aligns with growing interest in PARP inhibitors as anticancer agents, though PARP3 remains less characterized compared to PARP1/2. By enabling precise detection of PARP3. this antibody supports studies exploring its unique contributions to genomic integrity and therapeutic targeting.

客户数据及评论

折叠内容

大包装询价

×