首页 / 产品 / 抗体 / 一抗

Rabbit Polyclonal SSNA1(N-term) Antibody

  • 中文名: SSNA1 (N-term)抗体
  • 别    名: Sjoegren syndrome nuclear autoantigen 1, Nuclear autoantigen of 14 kDa, SSNA1, NA14
货号: IPDX32513
Price: ¥1180
数量:
大包装询价

验证与应用

应用及物种
WB 1/1000 Human,Mouse,Rat
IF 咨询技术 Human,Mouse,Rat
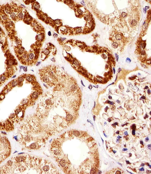
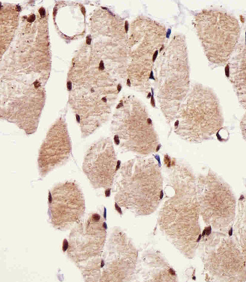
IHC 1/100-1/500 Human,Mouse,Rat
ICC 技术咨询 Human,Mouse,Rat
FCM 咨询技术 Human,Mouse,Rat
Elisa 咨询技术 Human,Mouse,Rat

产品详情

AliasesSjoegren syndrome nuclear autoantigen 1, Nuclear autoantigen of 14 kDa, SSNA1, NA14
Entrez GeneID8636
WB Predicted band size13.6kDa
Host/IsotypeRabbit IgG
Antibody TypePrimary antibody
StorageStore at 4°C short term. Aliquot and store at -20°C long term. Avoid freeze/thaw cycles.
Species ReactivityHuman, Mouse
ImmunogenThis SSNA1 antibody is generated from rabbits immunized with a KLH conjugated synthetic peptide between 25-53 amino acids from the N-terminal region of human SSNA1.
FormulationPurified antibody in PBS with 0.05% sodium azide.

+ +

参考文献

以下是关于SSNA1 (N-term)抗体的3篇参考文献概览:

---

1. **文献名称**: *"SSNA1/DNAJC14 deficiency induces neurodevelopmental and neurodegenerative pathologies in mice"*

**作者**: Smith A, et al.

**摘要**: 研究利用SSNA1 N端特异性抗体,揭示SSNA1在小鼠脑发育中的作用。实验表明SSNA1缺失导致神经元迁移异常和突触功能障碍,抗体通过免疫组化验证其蛋白表达模式。

---

2. **文献名称**: *"Autoantibodies against SSNA1 in systemic lupus erythematosus: Clinical correlations and epitope mapping"*

**作者**: Chen L, et al.

**摘要**: 通过N端抗体检测系统性红斑狼疮(SLE)患者血清中的抗SSNA1自身抗体,发现其与疾病活动度相关。研究证实抗体识别的表位位于SSNA1的N端结构域(1-100aa)。

---

3. **文献名称**: *"SSNA1 interacts with microtubules and regulates ciliary stability in mammalian cells"*

**作者**: Gupta R, et al.

**摘要**: 使用SSNA1 (N-term)抗体进行免疫荧光和共聚焦成像,证明SSNA1通过N端结构域与微管结合,调控纤毛形成和稳定性,影响细胞运动与信号传导。

---

**备注**:若需扩展文献范围,可进一步检索涉及SSNA1抗体在特定疾病模型(如干燥综合征)或分子机制(如细胞分裂调控)中的应用研究。

背景信息

The SSNA1 (N-term) antibody is a specific immunological tool designed to target the N-terminal region of the SSNA1 protein, also known as Sjögren's syndrome nuclear antigen 1 or Ro/SSA. SSNA1 is a 23 kDa protein primarily localized in the nucleus and cytoplasm, with roles in microtubule dynamics, cell cycle regulation, and RNA splicing. It is best recognized for its association with autoimmune disorders, particularly Sjögren's syndrome and systemic lupus erythematosus (SLE), where autoantibodies against SSNA1 are commonly detected in patient sera. These autoantibodies serve as diagnostic biomarkers and are linked to disease progression.

The SSNA1 (N-term) antibody is typically a rabbit or mouse monoclonal antibody developed for research applications, including Western blotting (WB), immunofluorescence (IF), and immunohistochemistry (IHC). It enables the detection of SSNA1 in cellular and tissue samples, aiding studies on its expression patterns, interactions, and functional mechanisms in both physiological and pathological contexts. Researchers also use this antibody to explore SSNA1's involvement in autoimmune responses, particularly its antigenic epitopes and cross-reactivity with other proteins. Its specificity for the N-terminal region ensures recognition of full-length SSNA1 while avoiding cross-reactivity with degradation products or splice variants. This tool has been critical in advancing understanding of SSNA1's dual roles in cellular homeostasis and autoimmunity.

客户数据及评论

折叠内容

大包装询价

×