首页 / 产品 / 抗体 / 一抗

Mouse Monoclonal FABP4 Antibody

  • 中文名: FABP4抗体
  • 别    名: Fatty acid-binding protein, adipocyte, Adipocyte lipid-binding protein, ALBP, Adipocyte-type fatty acid-binding protein, A-FABP, AFABP, Fatty acid-binding protein 4, FABP4
货号: IPDX32531
Price: ¥1280
数量:
大包装询价

验证与应用

应用及物种
WB 1/1000 Human,Mouse,Rat
IF 咨询技术 Human,Mouse,Rat
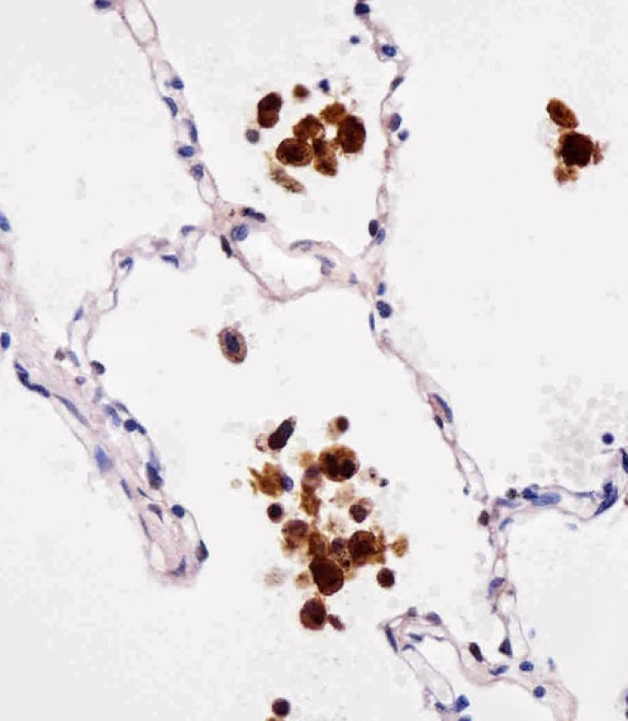
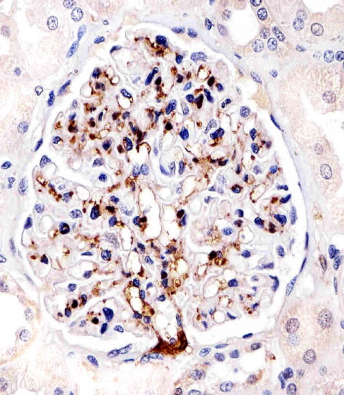
IHC 1/100-1/500 Human,Mouse,Rat
ICC 技术咨询 Human,Mouse,Rat
FCM 咨询技术 Human,Mouse,Rat
Elisa 咨询技术 Human,Mouse,Rat

产品详情

AliasesFatty acid-binding protein, adipocyte, Adipocyte lipid-binding protein, ALBP, Adipocyte-type fatty acid-binding protein, A-FABP, AFABP, Fatty acid-binding protein 4, FABP4
Entrez GeneID2167
WB Predicted band size14.7kDa
Host/IsotypeMouse IgG1
Antibody TypePrimary antibody
StorageStore at 4°C short term. Aliquot and store at -20°C long term. Avoid freeze/thaw cycles.
Species ReactivityHuman, Mouse
ImmunogenPurified His-tagged FABP4 protein was used to produced this monoclonal antibody.
FormulationPurified antibody in TBS with 0.05% sodium azide.

+ +

参考文献

1. **"Fatty acid-binding protein 4 (FABP4): Pathophysiological insights and potent clinical biomarker of metabolic and cardiovascular diseases"**

*Authors: M. Furuhashi, G. Hotamisligil*

摘要:该综述探讨了FABP4在代谢综合征和心血管疾病中的生物学功能,强调了FABP4抗体在检测组织及循环中FABP4水平的关键作用,及其作为疾病生物标志物的潜力。

2. **"FABP4 is a novel marker of obesity-induced adipose inflammation and insulin resistance"**

*Authors: S. Cao, Y. Li, H. Xu*

摘要:研究利用FABP4特异性抗体通过Western blot和免疫组化分析,发现FABP4在肥胖小鼠脂肪组织中的高表达与炎症及胰岛素抵抗相关,提示其作为治疗靶点的可能性。

3. **"Antibody-based inhibition of FABP4 suppresses tumor growth in preclinical models"**

*Authors: K. K. Lee, J. M. Park, T. Kim*

摘要:该研究开发了针对FABP4的中和抗体,证明其在体外和体内实验中抑制肿瘤细胞增殖,并通过阻断FABP4的脂质信号通路抑制癌症进展。

4. **"FABP4 regulates macrophage inflammatory responses via NF-κB pathway in atherosclerosis"**

*Authors: R. Zhang, L. Wang, Q. Chen*

摘要:通过FABP4抗体介导的基因敲低实验,揭示了FABP4通过激活巨噬细胞NF-κB通路促进动脉粥样硬化炎症,为抗炎治疗提供了新方向。

背景信息

Fatty acid-binding protein 4 (FABP4), also known as adipocyte FABP (A-FABP) or aP2. is a lipid chaperone protein primarily expressed in adipocytes and macrophages. It plays a critical role in lipid metabolism, inflammation, and cellular signaling by facilitating the transport of fatty acids and regulating their intracellular distribution. FABP4 has been implicated in metabolic disorders such as obesity, insulin resistance, and atherosclerosis, as well as in cancer progression and cardiovascular diseases. Its expression is often linked to pathological states involving lipid dysregulation and chronic inflammation.

FABP4 antibodies are essential tools for detecting and quantifying this protein in research and diagnostic applications. These antibodies are widely used in techniques like Western blotting, immunohistochemistry (IHC), and enzyme-linked immunosorbent assays (ELISA) to study FABP4 expression patterns in tissues, cellular localization, and secretion mechanisms. Recent studies have highlighted extracellular FABP4 as a potential biomarker for metabolic syndrome and cardiovascular risk. Researchers also utilize FABP4 antibodies to explore therapeutic strategies, including antibody-based inhibition of FABP4 activity to mitigate metabolic dysfunction. Validation of these antibodies for specificity and cross-reactivity is crucial, given the structural homology among FABP family members. Ongoing research continues to uncover FABP4's roles in disease pathophysiology, solidifying its status as a target for diagnostic and therapeutic development.

客户数据及评论

折叠内容

大包装询价

×