首页 / 产品 / 抗体 / 一抗

Rabbit Polyclonal VAMP8(N-term) Antibody

  • 中文名: VAMP8 (N-term)抗体
  • 别    名: Vesicle-associated membrane protein 8, VAMP-8, Endobrevin, EDB, VAMP8
货号: IPDX32545
Price: ¥1180
数量:
大包装询价

验证与应用

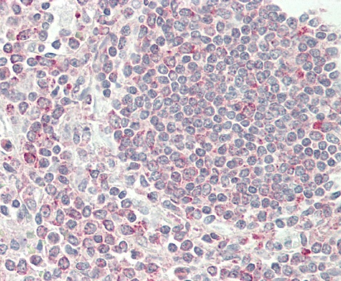
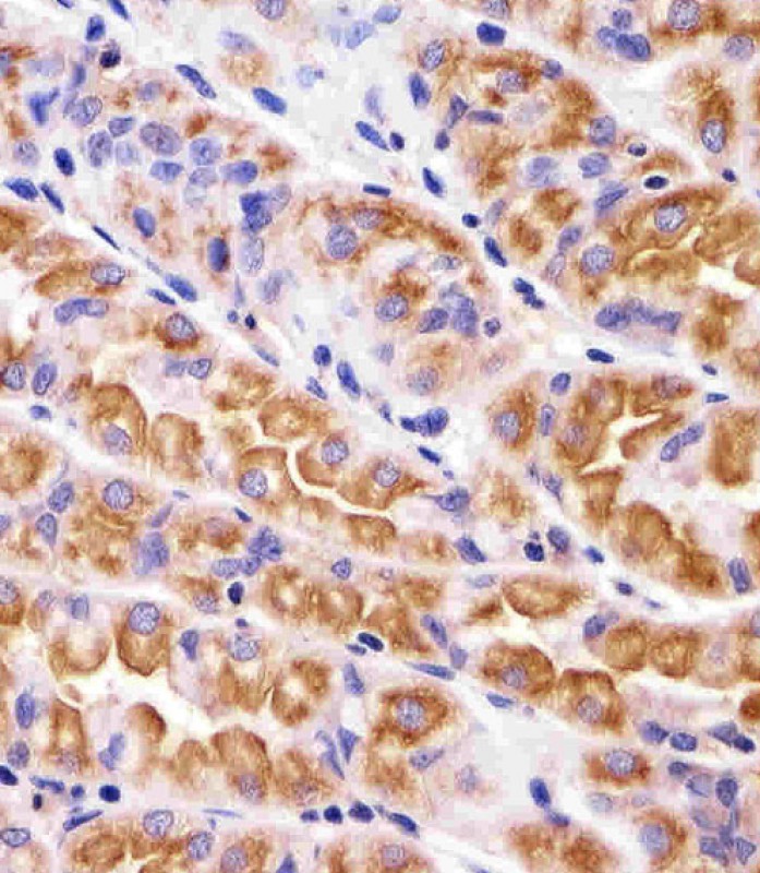
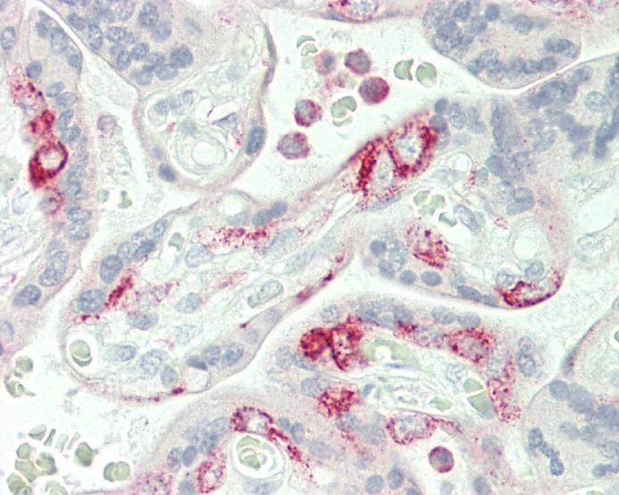
应用及物种
WB 1/1000 Human,Mouse,Rat
IF 咨询技术 Human,Mouse,Rat
IHC 1/100-1/500 Human,Mouse,Rat
ICC 技术咨询 Human,Mouse,Rat
FCM 咨询技术 Human,Mouse,Rat
Elisa 咨询技术 Human,Mouse,Rat

产品详情

AliasesVesicle-associated membrane protein 8, VAMP-8, Endobrevin, EDB, VAMP8
Entrez GeneID8673
WB Predicted band size11.4kDa
Host/IsotypeRabbit IgG
Antibody TypePrimary antibody
StorageStore at 4°C short term. Aliquot and store at -20°C long term. Avoid freeze/thaw cycles.
Species ReactivityHuman, Mouse, Rat
ImmunogenThis VAMP8 antibody is generated from rabbits immunized with a KLH conjugated synthetic peptide between 1-30 amino acids from the N-terminal region of human VAMP8.
FormulationPurified antibody in PBS with 0.05% sodium azide.

+ +

参考文献

以下是关于VAMP8 (N-term)抗体的3篇参考文献的简要概括:

---

1. **文献名称**:*VAMP8 is a vesicle SNARE that regulates fusion of recycling endosomes during cytokinesis*

**作者**:Goss JW, Toomre DK.

**摘要**:该研究利用VAMP8 (N-term)抗体进行免疫荧光和Western blot分析,发现VAMP8在细胞分裂过程中调控循环内体的膜融合。抗体特异性通过siRNA敲降实验验证,表明其在定位VAMP8亚细胞分布中的关键作用。

---

2. **文献名称**:*Role of VAMP8 in the secretion of inflammatory mediators from macrophages*

**作者**:Tamura Y, et al.

**摘要**:研究通过VAMP8 (N-term)抗体检测巨噬细胞中VAMP8的表达,发现其调控炎性细胞因子(如TNF-α)的分泌。抗体用于免疫沉淀实验,证实VAMP8与SNARE复合体相互作用,参与溶酶体相关分泌途径。

---

3. **文献名称**:*VAMP8-dependent fusion of secretory granules with the plasma membrane in pancreatic β-cells*

**作者**:Zhu D, et al.

**摘要**:该研究使用VAMP8 (N-term)抗体进行免疫印迹和共聚焦显微镜分析,揭示VAMP8在胰岛β细胞中调控胰岛素分泌颗粒与质膜的融合。抗体特异性通过基因敲除小鼠模型验证,支持VAMP8在胞吐作用中的必要性。

---

这些文献展示了VAMP8 (N-term)抗体在细胞生物学研究中的广泛应用,包括蛋白定位、功能验证及分子机制解析。如需更多文献或具体细节,可进一步检索PubMed或抗体供应商(如CST、Abcam)的引用列表。

背景信息

The VAMP8 (N-term) antibody is designed to target the N-terminal region of Vesicle-Associated Membrane Protein 8 (VAMP8), a member of the SNARE (Soluble NSF Attachment Protein Receptor) protein family involved in intracellular membrane fusion events. VAMP8. also known as endobrevin, is a R-SNARE protein primarily localized to endosomal and lysosomal compartments, where it mediates vesicle docking and fusion by forming complexes with Q-SNAREs like syntaxin and SNAP-25/23 homologs. Its N-terminal domain plays a critical role in regulating interactions with other SNARE proteins and accessory factors.

This antibody is widely used to study VAMP8’s function in secretory pathways, including exocytosis of secretory granules, lysosome-related organelles, and platelet α-granules. It is also employed in research on autophagy, where VAMP8 participates in autophagosome-lysosome fusion, and in endocytic recycling. The N-terminal specificity of the antibody ensures recognition of the full-length, unprocessed form of VAMP8. distinguishing it from proteolytic fragments or isoforms.

Validated in applications like Western blotting, immunofluorescence, and immunohistochemistry, the VAMP8 (N-term) antibody aids in elucidating mechanisms underlying vesicle trafficking defects linked to neurological disorders, immune dysregulation, and cancer. Its specificity is confirmed through knockout controls or peptide-blocking assays, ensuring reliable detection of endogenous VAMP8 across human, mouse, and rat models.

客户数据及评论

折叠内容

大包装询价

×