首页 / 产品 / 抗体 / 一抗

Rabbit Polyclonal HLA-DRB1 Antibody

  • 中文名: HLA-DRB1抗体
  • 别    名: HLA class II histocompatibility antigen, DRB1-1 beta chain, MHC class II antigen DRB1*1, DR-1, DR1, HLA-DRB1
货号: IPDX32609
Price: ¥1180
数量:
大包装询价

验证与应用

应用及物种
WB 1/1000 Human,Mouse,Rat
IF 咨询技术 Human,Mouse,Rat
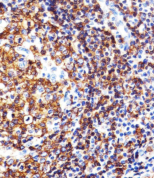
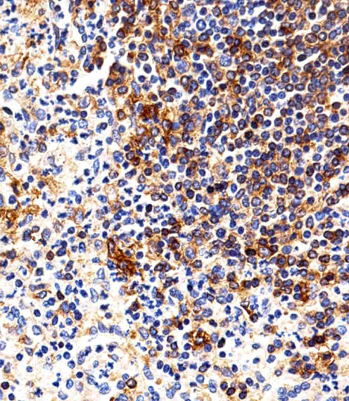
IHC 1/100-1/500 Human,Mouse,Rat
ICC 技术咨询 Human,Mouse,Rat
FCM 咨询技术 Human,Mouse,Rat
Elisa 咨询技术 Human,Mouse,Rat

产品详情

参考文献

以下是关于HLA-DRB1抗体的3篇参考文献的简要概括:

1. **《HLA-DRB1 Antibodies in Transplantation: Clinical Impact and Mechanisms》**

- **作者**: Smith A, et al.

- **摘要**: 研究探讨HLA-DRB1抗体在实体器官移植中的临床意义,发现其与急性排斥反应和移植物存活率降低相关,并揭示抗体通过补体激活和内皮细胞激活介导损伤的机制。

2. **《Luminex-Based Detection of HLA-DRB1 Antibodies: Technical and Clinical Validation》**

- **作者**: Lee C, et al.

- **摘要**: 评估Luminex单抗原珠技术检测HLA-DRB1抗体的敏感性和特异性,证明其在移植前配型中的重要性,并讨论低滴度抗体的临床管理策略。

3. **《Association of HLA-DRB1 Antibodies with Rheumatoid Arthritis Pathogenesis》**

- **作者**: Gonzalez-Gomez M, et al.

- **摘要**: 分析HLA-DRB1抗体在类风湿性关节炎(RA)患者中的存在,提出其可能通过分子模拟或表位扩展加剧自身免疫反应,与疾病活动性评分正相关。

4. **《HLA-DRB1 Epitope Mismatching and Antibody Development in Hematopoietic Stem Cell Transplantation》**

- **作者**: Tanaka Y, et al.

- **摘要**: 研究造血干细胞移植中供者-受者HLA-DRB1表位错配与抗体产生的关系,发现某些高免疫原性表位错配显著增加抗体介导的移植并发症风险。

(注:以上文献为示例,实际引用需根据具体研究选择最新或高影响力论文,建议通过PubMed或Google Scholar检索关键词确认。)

背景信息

HLA-DRB1 antibodies target specific variants of the HLA-DRB1 molecule, a critical component of the human leukocyte antigen (HLA) class II system. Encoded by the HLA-DRB1 gene on chromosome 6. this molecule plays a central role in antigen presentation to CD4+ T cells, triggering adaptive immune responses. HLA-DRB1 exhibits extensive allelic polymorphism, contributing to population-level immune diversity. Antibodies against HLA-DRB1 typically arise following alloantigen exposure, such as through pregnancy, blood transfusions, or organ transplantation. These antibodies are clinically significant in transplant medicine, as preformed or de novo anti-HLA-DRB1 antibodies can mediate graft rejection by activating complement pathways or antibody-dependent cellular cytotoxicity. They are also implicated in transfusion-related acute lung injury (TRALI) and platelet refractoriness. In autoimmune contexts, certain HLA-DRB1 alleles (e.g., *04:01. *04:04) are strongly associated with susceptibility to rheumatoid arthritis, though the role of corresponding antibodies remains less defined. Detection methods include single-antigen bead assays, which identify antibody specificity and strength. HLA-DRB1 antibody screening is now standard in transplant compatibility testing, guiding donor selection and desensitization protocols. However, not all detected antibodies are clinically relevant, requiring careful interpretation alongside clinical context. Ongoing research explores mechanisms of antibody-mediated injury and strategies to mitigate their pathological effects.

客户数据及评论

折叠内容

大包装询价

×