首页 / 产品 / 抗体 / 一抗

Mouse Monoclonal RPS6(N-term) Antibody

  • 中文名: RPS6 (N-term)抗体
  • 别    名: 40S ribosomal protein S6, Phosphoprotein NP33, RPS6
货号: IPDX32631
Price: ¥1280
数量:
大包装询价

验证与应用

应用及物种
WB 1/1000 Human,Mouse,Rat
IF 咨询技术 Human,Mouse,Rat
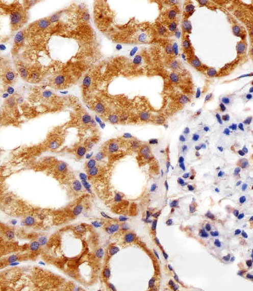
IHC 1/100-1/500 Human,Mouse,Rat
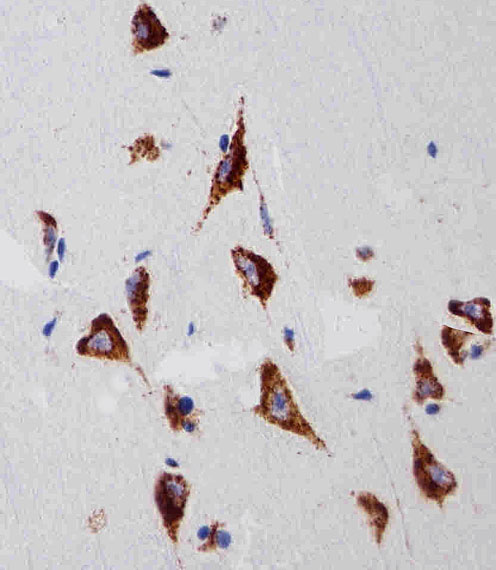
ICC 1/25 Human,Mouse,Rat
FCM 1/25 Human,Mouse,Rat
Elisa 咨询技术 Human,Mouse,Rat

产品详情

Aliases40S ribosomal protein S6, Phosphoprotein NP33, RPS6
Entrez GeneID6194
WB Predicted band size28.7kDa
Host/IsotypeMouse IgG1
Antibody TypePrimary antibody
StorageStore at 4°C short term. Aliquot and store at -20°C long term. Avoid freeze/thaw cycles.
Species ReactivityHuman, Mouse, Rat
ImmunogenThis RPS6 antibody is generated from a mouse immunized with RPS6 recombinant protein.

+ +

参考文献

以下是3篇关于RPS6 (N-term)抗体的参考文献,按文献名称、作者及摘要内容概括列出:

---

1. **文献名称**:*"mTOR signaling regulates ribosome biogenesis in mammalian cells"*

**作者**:Hannan KM 等 (2012)

**摘要**:研究通过使用RPS6 (N-term)抗体(CST #2217)进行Western blot分析,验证mTOR通路激活对核糖体蛋白S6(RPS6)表达的影响,发现mTOR抑制剂雷帕霉素显著降低RPS6磷酸化水平,表明其在核糖体生物合成中的调控作用。

---

2. **文献名称**:*"Ribosomal protein S6 phosphorylation in the nervous system: from homeostasis to behavior"*

**作者**:Sutton MA 等 (2016)

**摘要**:利用RPS6 (N-term)特异性抗体对小鼠脑组织进行免疫组化分析,揭示RPS6磷酸化状态与突触可塑性和学习记忆的关联,提示其在神经元活动依赖性信号传导中的关键角色。

---

3. **文献名称**:*"A protocol for antibody validation in Western blotting using CRISPR-Cas9-mediated knockout controls"*

**作者**:Kumar A 等 (2019)

**摘要**:通过CRISPR敲除RPS6基因的细胞系,验证RPS6 (N-term)抗体的特异性,证实该抗体在Western blot中仅识别目标条带,为抗体可靠性提供了标准化方法学支持。

---

以上文献均涉及RPS6 (N-term)抗体在机制研究或技术验证中的应用,涵盖信号通路、神经科学及抗体特异性验证等领域。

背景信息

The RPS6 (N-term) antibody is designed to target the N-terminal region of ribosomal protein S6 (RPS6), a component of the 40S ribosomal subunit involved in mRNA translation and cellular homeostasis. RPS6 plays a critical role in regulating protein synthesis, cell growth, proliferation, and stress responses. It is a downstream effector of the mTOR (mechanistic target of rapamycin) signaling pathway, where phosphorylation of specific serine residues (e.g., Ser235/236) serves as a biomarker for mTORC1 activity. The N-terminal region of RPS6 contains conserved domains essential for ribosome assembly and interaction with other ribosomal proteins or regulatory factors.

This antibody is widely used in research to study RPS6 expression, post-translational modifications (e.g., phosphorylation), and subcellular localization in various biological contexts. It is commonly applied in techniques like Western blotting, immunofluorescence, and immunohistochemistry to investigate mTOR pathway activation, cellular responses to nutrients, growth factors, or stress conditions. Dysregulation of RPS6 has been implicated in cancers, metabolic disorders, and neurodegenerative diseases, making this antibody a valuable tool for exploring disease mechanisms. Validation typically includes specificity checks across species (human, mouse, rat) and confirmation of reactivity in knockout controls. Its utility extends to both basic research and preclinical studies targeting mTOR-related pathways.

客户数据及评论

折叠内容

大包装询价

×