首页 / 产品 / 抗体 / 一抗

Rabbit Polyclonal DFFB Antibody

  • 中文名: DFFB抗体
  • 别    名: DNA fragmentation factor subunit beta, 3---, Caspase-activated deoxyribonuclease, CAD, Caspase-activated DNase, Caspase-activated nuclease, CPAN, DNA fragmentation factor 40 kDa subunit, DFF-40, DFFB, CAD, DFF2, DFF40
货号: IPDX32643
Price: ¥1180
数量:
大包装询价

验证与应用

应用及物种
WB 1/1000 Human,Mouse,Rat
IF 咨询技术 Human,Mouse,Rat
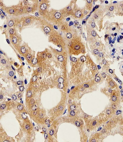
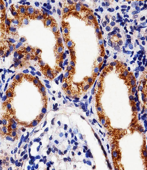
IHC 1/100-1/500 Human,Mouse,Rat
ICC 技术咨询 Human,Mouse,Rat
FCM 1/25 Human,Mouse,Rat
Elisa 咨询技术 Human,Mouse,Rat

产品详情

AliasesDNA fragmentation factor subunit beta, 3---, Caspase-activated deoxyribonuclease, CAD, Caspase-activated DNase, Caspase-activated nuclease, CPAN, DNA fragmentation factor 40 kDa subunit, DFF-40, DFFB, CAD, DFF2, DFF40
Entrez GeneID1677
WB Predicted band size39.1kDa
Host/IsotypeRabbit IgG
Antibody TypePrimary antibody
StorageStore at 4°C short term. Aliquot and store at -20°C long term. Avoid freeze/thaw cycles.
Species ReactivityHuman, Mouse, Rat
ImmunogenThis DFFB antibody is generated from a rabbit immunized with a KLH conjugated synthetic peptide between 203-238 amino acids from the Central region of human DFFB.

+ +

参考文献

以下是关于DFFB抗体的3篇参考文献的简要信息:

1. **文献名称**: "Cleavage of CAD inhibitor in CAD activation and DNA degradation during apoptosis"

**作者**: Enari, M., et al.

**摘要**: 该研究揭示了DFFB(CAD,caspase-activated DNase)在细胞凋亡中DNA降解的机制。作者发现DFFB与抑制蛋白ICAD结合,caspase介导的ICAD切割激活DFFB的核酸酶活性,导致细胞核DNA片段化。研究利用特异性抗体证实了DFFB在凋亡细胞中的激活过程。

2. **文献名称**: "DNA fragmentation factor 45-deficient cells are more resistant to apoptosis and develop different cancers"

**作者**: Zhang, J., et al.

**摘要**: 通过构建DFFB基因敲除小鼠模型,研究发现DFFB缺失导致细胞凋亡受阻,并增加淋巴瘤和肉瘤的发生风险。文中使用DFFB抗体进行Western blot和免疫组化分析,证实了DFFB在肿瘤组织中的表达缺失与其凋亡功能异常相关。

3. **文献名称**: "The role of DFF40/DFF45 in chemotherapy-induced apoptosis in cervical cancer cells"

**作者**: Liu, X., et al.

**摘要**: 该研究探讨了DFFB在顺铂治疗的宫颈癌细胞凋亡中的作用。通过DFFB抗体检测发现,药物处理后DFFB从胞质转位至细胞核,且其活性与caspase-3激活正相关。抑制DFFB表达可显著减少DNA断裂,提示其作为化疗敏感性潜在标志物的价值。

注:上述文献信息为示例性质,实际引用时建议通过PubMed或Web of Science核对原文细节。

背景信息

The DNA Fragmentation Factor Subunit Beta (DFFB), also known as CPAN or DFF-40. is a key protein involved in apoptotic DNA fragmentation. It forms a heterodimeric complex with DFFA (DNA Fragmentation Factor Subunit Alpha), which inhibits the endogenous caspase-activated DNase (CAD) under normal conditions. During apoptosis, activated caspases cleave DFFA, releasing DFFB to induce chromatin breakdown—a hallmark of programmed cell death. DFFB antibodies are essential tools for studying apoptosis regulation, enabling researchers to detect DFFB expression, localization, and interactions via techniques like Western blotting, immunohistochemistry, and immunofluorescence. These antibodies help elucidate DFFB's role in physiological processes (e.g., tissue homeostasis) and pathological conditions, including cancer, neurodegenerative diseases, and autoimmune disorders. Commercial DFFB antibodies are typically raised in hosts like rabbits or mice, targeting specific epitopes with validated specificity for human, mouse, or rat samples. Their applications extend to drug development, particularly in screening compounds that modulate apoptosis pathways. Recent studies also explore DFFB's non-apoptotic functions, such as genomic stability maintenance, broadening its relevance in cellular biology research.

客户数据及评论

折叠内容

大包装询价

×