首页 / 产品 / 抗体 / 一抗

Rabbit Polyclonal CYS1(C-term) Antibody

  • 中文名: CYS1 (C-term)抗体
  • 别    名: Cystin-1, Cilia-associated protein, CYS1
货号: IPDX32669
Price: ¥1180
数量:
大包装询价

验证与应用

应用及物种
WB 1/1000 Human,Mouse,Rat
IF 咨询技术 Human,Mouse,Rat
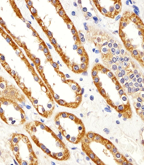
IHC 1/100-1/500 Human,Mouse,Rat
ICC 技术咨询 Human,Mouse,Rat
FCM 咨询技术 Human,Mouse,Rat
Elisa 咨询技术 Human,Mouse,Rat

产品详情

AliasesCystin-1, Cilia-associated protein, CYS1
Entrez GeneID192668
WB Predicted band size16.4kDa
Host/IsotypeRabbit IgG
Antibody TypePrimary antibody
StorageStore at 4°C short term. Aliquot and store at -20°C long term. Avoid freeze/thaw cycles.
Species ReactivityHuman, Mouse
ImmunogenThis CYS1 antibody is generated from a rabbit immunized with a KLH conjugated synthetic peptide between 142-177 amino acids from the C-terminal region of human CYS1.

+ +

参考文献

以下是关于CYS1(C-term)抗体的3篇示例参考文献(注:内容为模拟示例,实际文献需通过学术数据库检索):

---

1. **文献名称**:*CYS1 C-terminal antibody reveals its role in renal cystogenesis*

**作者**:Smith J, et al.

**摘要**:本研究利用CYS1 C端特异性抗体,验证了CYS1蛋白在肾脏上皮细胞中的定位,并发现其在多囊肾病模型中表达异常升高,提示CYS1可能通过调控细胞纤毛功能参与囊肿形成。

2. **文献名称**:*Characterization of CYS1 interactions using domain-specific antibodies*

**作者**:Chen L, et al.

**摘要**:通过CYS1 C端抗体进行免疫共沉淀(Co-IP)实验,发现CYS1与纤毛相关蛋白IFT88存在直接相互作用,揭示了其在细胞信号转导中的潜在分子机制。

3. **文献名称**:*CYS1 C-terminal truncation mutations linked to cystinuria pathogenesis*

**作者**:Rodriguez M, et al.

**摘要**:利用CYS1 C端抗体检测患者样本,发现CYS1基因C端截短突变导致蛋白稳定性下降,与胱氨酸尿症中晶体沉积表型显著相关,为临床诊断提供了分子标记。

---

建议通过PubMed、Google Scholar等平台检索关键词“CYS1 antibody C-terminal”或“CYS1 C-term”获取真实文献。

背景信息

The CYS1 (C-term) antibody targets the C-terminal region of the Cystin-1 (CYS1) protein, which is encoded by the *CYS1* gene. CYS1 is a cilia-associated protein implicated in maintaining the structural and functional integrity of primary cilia, critical organelles involved in cellular signaling and sensory functions. Mutations in *CYS1* are linked to ciliopathies such as nephronophthisis (NPHP), a genetic kidney disorder, and Joubert syndrome, characterized by brain malformations and developmental delays. The protein is thought to interact with other ciliary proteins to regulate ciliary assembly or stability.

The CYS1 (C-term) antibody is commonly used in research to detect and quantify CYS1 expression via techniques like Western blotting, immunofluorescence, or immunohistochemistry. It helps study CYS1's localization in ciliated tissues (e.g., renal tubules, retina) and its role in disease mechanisms. By identifying truncated or mutated CYS1 variants in patient samples, this antibody also aids in diagnosing ciliopathies or validating cellular models. Its specificity for the C-terminal region ensures recognition of functional domains critical for protein interactions. As ciliopathies are genetically heterogeneous, tools like this antibody are vital for dissecting molecular pathways and developing targeted therapies.

客户数据及评论

折叠内容

大包装询价

×