首页 / 产品 / 抗体 / 一抗

Rabbit Polyclonal AlkalinePhosphatase(ALPI) Antibody

  • 中文名: Alkaline Phosphatase (ALPI)抗体
  • 别    名: Intestinal-type alkaline phosphatase, IAP, Intestinal alkaline phosphatase, ALPI
货号: IPDX32789
Price: ¥1180
数量:
大包装询价

验证与应用

应用及物种
WB 1/1000 Human,Mouse,Rat
IF 咨询技术 Human,Mouse,Rat
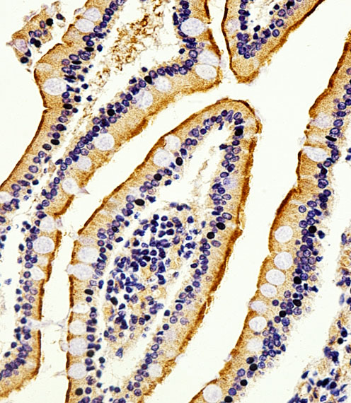
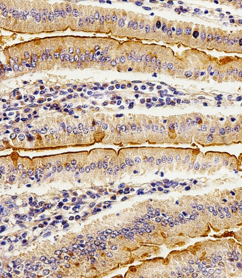
IHC 1/100 Human,Mouse,Rat
ICC 1/100 Human,Mouse,Rat
FCM 咨询技术 Human,Mouse,Rat
Elisa 咨询技术 Human,Mouse,Rat

产品详情

AliasesIntestinal-type alkaline phosphatase, IAP, Intestinal alkaline phosphatase, ALPI
Entrez GeneID248
WB Predicted band size56.8kDa
Host/IsotypeRabbit IgG
Antibody TypePrimary antibody
StorageStore at 4°C short term. Aliquot and store at -20°C long term. Avoid freeze/thaw cycles.
Species ReactivityHuman
ImmunogenThis Alkaline Phosphatase (ALPI) antibody is generated from rabbits immunized with a KLH conjugated synthetic peptide between 274-304 amino acids from the Central region of human Alkaline Phosphatase (ALPI).
FormulationPurified antibody in PBS with 0.05% sodium azide.

+ +

参考文献

以下是关于**Alkaline Phosphatase (ALPI)**抗体的3篇参考文献及其摘要概括:

1. **文献名称**:*Intestinal alkaline phosphatase prevents antibiotic-induced susceptibility to enteric pathogens*

**作者**:Camilo J. et al.

**摘要**:研究通过使用特异性抗ALPI抗体,验证肠道碱性磷酸酶(ALPI)在维持肠道屏障功能中的作用,发现ALPI可通过调控脂多糖(LPS)去磷酸化抑制抗生素导致的肠道致病菌易感性。

2. **文献名称**:*Role of intestinal alkaline phosphatase in innate immunity via pathogen recognition*

**作者**:Malo M.S. et al.

**摘要**:该文献开发了一种针对ALPI的单克隆抗体,证明ALPI通过识别细菌表面分子(如鞭毛蛋白)激活固有免疫反应,并在小鼠模型中证实其抗炎作用。

3. **文献名称**:*Alkaline phosphatase ALPI as a biomarker for colorectal cancer progression*

**作者**:Zhang Y. et al.

**摘要**:研究利用ALPI特异性抗体检测结直肠癌组织,发现ALPI表达水平与肿瘤侵袭性和患者预后显著相关,提示其作为潜在诊断标志物的价值。

4. **文献名称**:*Anti-inflammatory effects of exogenous intestinal alkaline phosphatase in sepsis*

**作者**:Petersen C.P. et al.

**摘要**:通过抗ALPI抗体阻断实验,验证外源性ALPI通过降低循环内毒素水平减轻脓毒症炎症反应,为ALPI抗体在治疗中的应用提供依据。

以上研究均聚焦于ALPI抗体的功能性应用,涵盖肠道屏障保护、免疫调控、疾病诊断及治疗潜力。

背景信息

Alkaline Phosphatase (ALPI), also known as intestinal alkaline phosphatase, is a tissue-nonspecific isoenzyme primarily expressed in the intestinal epithelium. It plays a critical role in detoxifying bacterial lipopolysaccharides (LPS), regulating gut microbiota, and maintaining intestinal barrier integrity. ALPI is involved in phosphate metabolism, lipid absorption, and inflammation modulation, making it a key player in gut homeostasis and innate immunity.

Antibodies targeting ALPI are widely used in research to study its expression, localization, and function in health and disease. They are essential tools for detecting ALPI via techniques like immunohistochemistry (IHC), Western blot, and immunofluorescence (IF). These antibodies help investigate ALPI's role in conditions such as inflammatory bowel disease (IBD), sepsis, obesity, and colorectal cancer, where its activity is often dysregulated. Additionally, ALPI antibodies contribute to exploring therapeutic strategies, including enzyme replacement or modulation, to address gut barrier dysfunction or metabolic disorders. Commercially available ALPI antibodies are typically validated for specificity against human or model organism antigens, though cross-reactivity varies. Understanding ALPI's regulatory mechanisms and interactions with gut pathogens or commensals remains a focus, driving the continued development and application of ALPI-targeted reagents in biomedical research.

客户数据及评论

折叠内容

大包装询价

×