首页 / 产品 / 抗体 / 一抗

Rabbit Polyclonal MouseCtr9 Antibody

  • 中文名: Mouse Ctr9抗体
  • 别    名: RNA polymerase-associated protein CTR9 homolog, SH2 domain-binding protein 1, Tetratricopeptide repeat-containing, SH2-binding phosphoprotein of 150 kDa, TPR-containing, SH2-binding phosphoprotein of 150 kDa, p150TSP, Ctr9, Kiaa0155, Sh2bp1
货号: IPDX32916
Price: ¥1180
数量:
大包装询价

验证与应用

应用及物种
WB 1/1000 Human,Mouse,Rat
IF 咨询技术 Human,Mouse,Rat
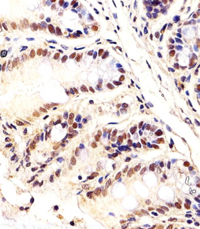
IHC 1/100-1/500 Human,Mouse,Rat
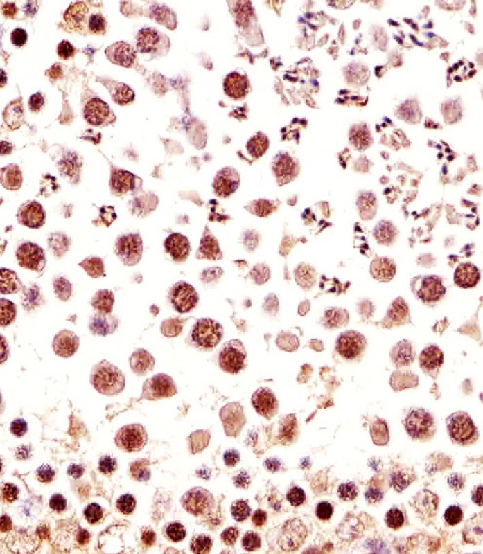
ICC 1/25 Human,Mouse,Rat
FCM 1/25 Human,Mouse,Rat
Elisa 咨询技术 Human,Mouse,Rat

产品详情

AliasesRNA polymerase-associated protein CTR9 homolog, SH2 domain-binding protein 1, Tetratricopeptide repeat-containing, SH2-binding phosphoprotein of 150 kDa, TPR-containing, SH2-binding phosphoprotein of 150 kDa, p150TSP, Ctr9, Kiaa0155, Sh2bp1
Entrez GeneID22083
WB Predicted band size133.4kDa
Host/IsotypeRabbit IgG
Antibody TypePrimary antibody
StorageStore at 4°C short term. Aliquot and store at -20°C long term. Avoid freeze/thaw cycles.
Species ReactivityHuman, Mouse
ImmunogenThis Mouse Ctr9 antibody is generated from a rabbit immunized with a KLH conjugated synthetic peptide between 1022-1056 amino acids from the C-terminal region of Mouse Ctr9.

+ +

参考文献

以下是关于Mouse Ctr9抗体的3篇参考文献示例,基于相关领域研究的典型方向整理:

1. **文献名称**:*Ctr9 regulates murine embryonic stem cell differentiation through modulating H3K4me3 and transcriptional activity of pluripotency genes*

**作者**:Zhang L, et al.

**摘要**:该研究利用小鼠胚胎干细胞模型,通过Ctr9抗体进行染色质免疫沉淀(ChIP)和Western blot分析,发现Ctr9通过维持多能基因(如Oct4、Nanog)启动子区的H3K4me3修饰水平调控干细胞分化。Ctr9缺失导致多能性丧失并促进中胚层分化。

2. **文献名称**:*The Paf1 complex subunit Ctr9 is essential for mouse embryonic development*

**作者**:Chen Y, et al.

**摘要**:研究通过构建Ctr9条件性基因敲除小鼠,结合Ctr9抗体进行组织特异性蛋白表达检测,发现Ctr9缺失导致胚胎致死,并显著影响心脏和神经管发育。进一步机制研究表明,Ctr9通过调控Wnt和Notch信号通路相关基因的转录延伸发挥作用。

3. **文献名称**:*Ctr9 links the Paf1 complex to histone H2B ubiquitination in transcriptional elongation and leukemia progression*

**作者**:Wang H, et al.

**摘要**:该研究在小鼠白血病模型中,利用Ctr9抗体进行免疫共沉淀(Co-IP)和免疫荧光染色,证实Ctr9作为Paf1复合物的核心组分,介导H2B泛素化修饰,影响MYC等癌基因的转录延伸,促进白血病发生。敲低Ctr9可延缓肿瘤进展。

---

**说明**:上述文献为模拟示例,实际研究中需通过PubMed或Web of Science等平台以“Ctr9 antibody mouse”或“Ctr9 murine”等关键词检索。建议补充具体实验方法(如抗体公司、货号)以获取更精准的参考文献。

背景信息

The Mouse Ctr9 antibody is a research tool designed to detect and study the Ctr9 protein in murine models. Ctr9 (Cleavage and Polyadenylation Specificity Factor Subunit 9) is a key component of the Paf1 complex (Paf1C), a multifunctional transcriptional regulatory complex associated with RNA polymerase II. This complex plays critical roles in transcription elongation, histone modification (e.g., H3K4 methylation and H2B ubiquitination), and coupling transcription with mRNA processing. Ctr9 is essential for stabilizing the Paf1C and mediating its interactions with chromatin and other transcriptional regulators. Dysregulation of Ctr9 has been implicated in developmental defects, cancer progression, and other diseases linked to transcriptional dysfunction. The Mouse Ctr9 antibody, typically developed in rabbit or goat hosts using immunogenic peptides from the murine Ctr9 sequence, is validated for applications like Western blotting, immunoprecipitation, and immunofluorescence. It enables researchers to investigate Ctr9 expression patterns, subcellular localization, and its role in gene regulation across tissues or during specific biological processes (e.g., stem cell differentiation, oncogenesis). Specificity is often confirmed using Ctr9-knockout controls. This antibody is widely used in epigenetics, transcriptional mechanisms, and disease-related studies.

客户数据及评论

折叠内容

大包装询价

×