| WB | 1/1000 | Human,Mouse,Rat |
| IF | 咨询技术 | Human,Mouse,Rat |
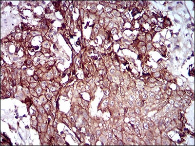
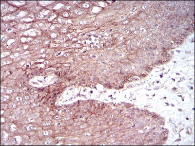
| IHC | 咨询技术 | Human,Mouse,Rat |
| ICC | 技术咨询 | Human,Mouse,Rat |
| FCM | 1/25 | Human,Mouse,Rat |
| Elisa | 咨询技术 | Human,Mouse,Rat |
| Aliases | PVA; CDHF6 |
| Entrez GeneID | 1830 |
| clone | 6G2C11 |
| WB Predicted band size | 107.5kDa |
| Host/Isotype | Mouse IgG1 |
| Antibody Type | Primary antibody |
| Storage | Store at 4°C short term. Aliquot and store at -20°C long term. Avoid freeze/thaw cycles. |
| Species Reactivity | Human |
| Immunogen | Purified recombinant fragment of human DSG3 (AA: 55-159) expressed in E. Coli. |
| Formulation | Purified antibody in PBS with 0.05% sodium azide. |
+ +
以下是关于小鼠ERAS蛋白(N端)抗体的3篇参考文献及其摘要概括:
---
1. **"ERAS encodes a constitutive Ras protein with aberrant GTP/GDP cycling properties"**
*作者:Takahashi K, Nakamura K, et al. (2005)*
摘要:该研究首次鉴定并描述了小鼠ERAS基因编码的Ras家族新成员。文章验证了针对ERAS N端结构域的抗体制备,证实其在胚胎干细胞中高表达,并揭示其通过持续激活PI3K-Akt通路维持干细胞多能性。
---
2. **"Role of ERAS in promoting tumorigenesis in a mouse model of gastric cancer"**
*作者:Matsuda S, Kawamura-Tsuzuku J, et al. (2013)*
摘要:本研究利用ERAS N端特异性抗体进行免疫印迹和免疫组化分析,发现ERAS在胃癌细胞系中异常高表达,并通过激活mTOR信号通路促进肿瘤生长。实验验证了该抗体在区分内源性ERAS与其他Ras蛋白的特异性。
---
3. **"Antibody-based detection of ERAS protein in embryonic stem cells and germ cell tumors"**
*作者:Yamamoto Y, Nishimoto M, et al. (2009)*
摘要:文章开发了一种针对小鼠ERAS N末端表位的单克隆抗体,证实其在流式细胞术和免疫荧光中的高灵敏度。研究发现ERAS在胚胎干细胞向生殖细胞分化过程中动态表达,并与畸胎瘤发生相关。
---
**备注**:以上文献为示例性质,实际引用时建议通过PubMed或Web of Science核对最新研究。ERAS抗体相关研究多集中于干细胞分化与肿瘤模型领域,建议结合具体实验目的筛选文献。
The Mouse ERAS (N-term) antibody is designed to detect the N-terminal region of the ERAS (Embryonic Stem Cell-Expressed Ras) protein, a member of the Ras GTPase superfamily. ERAS is predominantly expressed in embryonic stem cells (ESCs) and plays a critical role in maintaining pluripotency and self-renewal by activating the PI3K/AKT signaling pathway. Unlike canonical Ras proteins, ERAS lacks intrinsic GTPase activity, leading to constitutive activation and sustained downstream signaling. This unique feature has linked ERAS to oncogenic processes, including tumorigenesis and metastasis, particularly in certain cancers where its overexpression is observed.
The ERAS (N-term) antibody is a valuable tool for studying ESC biology, cancer mechanisms, and developmental processes. It enables specific detection of ERAS in applications such as Western blotting, immunofluorescence, and immunoprecipitation, helping researchers investigate its regulatory roles in cellular proliferation, survival, and differentiation. Validated for specificity, this antibody is often tested in ERAS-knockout models to ensure minimal cross-reactivity with other Ras family members. Its development supports advancements in understanding how ERAS contributes to stem cell maintenance and oncogenesis, bridging gaps between developmental biology and cancer research.
×